定義
肺結節病然而,在瑞典黑人很少。其發病率亦為64/10萬。本病好發於10-40歲,20-30歲達高峰。女性多於男性。
肺結節病曾被稱為肉樣瘤,是原因不明的變態反應疾病。病理改變為非千酪性肉芽腫,可侵犯全身各器官,但較多的累及淋巴結、肺、肝、脾及皮膚等,好發於20-40歲女性。肺結節病曾被稱為肉樣瘤,是原因不明的變態反應疾病。病理改變為非千酪性肉芽腫,可侵犯全身各器官,但較多的累及淋巴結、肺、肝、脾及皮膚等,目錄
資料詳情
肺結節病是一種非千略樣壞死的上皮肉芽腫病變。腸以上病例授及肺部,尤其是肺門和縱隔琳巴結cs3)。因此須和中心型肺癌鑑別。肺結節病較肺痛發病年齡輕。症狀緩和輕橄,病期長,反覆發作並有自愈的可能,一般不咯血。臨床症狀和X線改變程度極不一致,即腳部X線肺門區腫塊很大。患者症狀不明顯。結節病是全身性疾病。因此除肺內改變外可能有多處淺表淋巴結腫大。皮膚和關節周圍出現結節狀突起和紅斑。病變爪及肝膽、眼和骨砧等器官時表現相應的症狀。
隨病程的發展,肺實質內出現纖維性變以後,肺門琳巴結反而停止發展成逐漸縮小。診斷結節病的比較有效的方法是結節病皮膚試臉(Kveim試臉)C341,但組織液來渾困難,臨床套用受到一定的限制。實驗室檢查單核細胞和啥酸細胞增加,血鈣、Y球蛋白增高也有助於和肺盛的鑑別。如能得到體表或縱隔受侵淋巴結做病理檢查,則可確定診斷,肺隔離症。
肺隔離症是肺的先天性崎形。血液供應來自主動脈的異常分枝。與肺瘟不同,絕大多數病人年齡在40歲以下,無症狀或僅有輕徽的呼吸道症狀,少數病變如和支氣管相通可有肺內感染或咯血症狀。X線檢查病變多位於左肺下葉後段,邊緣清楚、光滑。斷層片可顯示一個成多個凹腔。如果見列有血管影和主動脈相連則是重要的診斷依據。選擇性腳腹主動脈造影可見到來自主動脈的異常分枝。
臨床表現
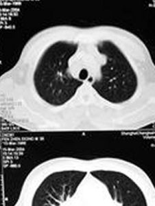
胸內結節病 肺門、縱隔淋巴結及肺實質受累最為常見約占90%以上,故胸片是發現胸內結節病的主要手段。胸內結節病以呼吸道症狀為主,表現為咳嗽、咳痰、胸悶、痰血、氣胸、胸腔積液等。
(1)肺門、縱隔淋巴結腫大,腫大的淋巴結境界清楚,典型者呈馬鈴薯形。
(2)肺內改變:早期為肺泡炎表現,胸片上呈腺泡結節小斑片狀陰影,以兩側肺門為中心向外擴散,結節影小者可呈毛玻璃樣改變。中期則有肺間質浸潤,表現為肺紋理增厚、粗亂以及網狀結節狀陰影。晚期除有結節樣改變外,尚有肺間質纖維化,病變甚者可見肺大皰。
(3)支氣管病變:結節病活動期,纖維支氣管鏡檢查,可見各葉段支氣管黏膜有瀰漫性小結節,黏膜活檢可見到類上皮細胞肉芽腫。疾病晚期,由於支氣管壁的破壞、肺間質纖維化或肉芽腫的阻塞,少數患者可發生支氣管狹窄。
(4)胸膜病變:約10%左右的患者可發生胸腔積液。
(5)呼吸功能:肺結節病早期肺功能大多正常,有氣道狹窄或廣泛支氣管黏膜肉芽腫病變者,可表現為阻塞性通氣功能障礙,晚期則為限制性通氣功能障礙,且多伴有彌散功能障礙。
形成過程
肺泡炎的形成,與長期吸入有害氣體,灰塵,矽粉,毒氣,煙霧,煤灰,石灰粉等空氣污染形成氣體等等。。 導致肺泡即細支氣管肺野的毛細血管梗阻,稱為肺梗阻。特使肺部的代謝功能受損,而形成肺泡炎。
肺泡炎形成後,多數病人沒有臨床症狀,偶然有少數病人短暫的咳嗽,而放棄治療,致使炎症繼續發展,病人繼續吸入有害氣體,導致肺泡炎的特別逆轉性改變,稱之為乾絡樣肉芽腫,也稱之為非特異性肺泡炎,實際上就是(肺纖維化)。
此時有一部分病人 仍然沒有症狀,僅有部分病人出現輕微的嗆咳,90%的病人放棄治療,隨著病情的發展,炎症細胞的滲出和侵潤逐漸減少,纖維細胞核膠原破壞,並波及肺泡管核細支氣管,肉芽腫周圍的纖維母細胞形成膠原化,而形成毛玻璃樣栗粒性結節形成,此時即稱為非特異性纖維化,又稱為結節性肺纖維化,致整個肺部疙疙瘩瘩樣的改變,。而且部分地方出現穿空,人們稱為 空洞性肺結核。如繼續發展的情況下即稱為 (蜂窩肺)廣發性或特發性肺纖維化。
診斷詳情
根據“全國肺部感染和肺部瀰漫性疾病學術會議”制定結節病臨床診斷標準為:
①胸片顯示雙側肺門及縱隔對稱性淋巴結腫大‘偶見單側肺門淋巴結腫大)。伴或不伴有肺區域網路狀、結節狀、片狀陰影,必要時參考肺部CT進行分期;
②組織活檢證實或符合結節病(註:取材部位為淺表腫大的淋巴結。縱隔腫大淋巴結,支氣管內膜結節。前斜角肌脂肪墊淋巴結。肝穿刺或肺活檢等)Kveim試驗陽性反應。
④血行血管緊張素轉換酶(SACE)活性升高(接受激素治療或無活動性的結節病患者可在正常範圍);@5IuPPD試驗或5Iu結核菌素試臉為陰性或弱陽性反應。
⑥高血鈣,高尿鈣症,鹼性磷酸酶增高。血漿免疫球蛋自增高,支氣管肺泡灌洗液中下淋巴細胞及其亞群的檢查結果可作為診斷結節病活動性的參考。有條件的單位可作67Ga同位素注射後。套用18FDG-PET顯像。或丫照相,以了解病變侵犯的範圍和程度,只有②或①③條件者。可診斷為結節病。第①條為重要的參考指標。注意綜合診斷。動態現察。肺內結節病的分型:無異常X線所見;I期肺門淋巴結腫大。而肺部無異常。一期肺部瀰漫性病變,同時有肺門淋巴結腫大:一期肺部瀰漫性病變不
伴肺門淋巴結腫大;肺纖維化。若胸內及胸外均受侵犯。則屬於全身多臟器結節病。
提高對肺結節病的認識和診斷符合率。方法:對1990~2007年經病理確診為結節病8例患者的臨床誤診資料作回顧性分析。結果:肺結節病臨床表現不典型,胸部 X線及CT常表現為肺門增大,以雙側肺門腫大為主,易誤診為肺結核或腫瘤。經纖維支氣管鏡活檢或皮膚黏膜、淋巴結活檢可確診。肺結節病多見於青中年人,女性發病率高,臨床症狀不典型,在診斷上要結合臨床表現、胸片以及纖維支氣管鏡檢、皮膚黏膜、淋巴結活檢進行病理檢查。
治療介紹
治療肺結節病,首先要治療肺泡炎,因肺結節病早期是肺泡炎階段,也是肺纖維化的開始階段,而肺泡炎多數病變是 外源性過敏性肺泡炎,開始並沒有什麼臨床症狀,偶有少數人有咽喉發癢,乾咳,以後逐步發展為氣促,胸悶,西部疼痛,少數人有夜晚強汗 ,低燒,乏力,消瘦等症狀。治發展到仰臥時憋氣,再後來發展到上下樓梯勞動時憋氣。或者說只要動就憋氣。這個時也稱作為結節性纖維化,繼續發展,可成為空洞型肺結核,逐步發展為蜂窩肺廣發性特發性肺纖維化)肺泡炎對肺部的殺傷力最強,危害最大。直接破壞肺部通氣功能,造成通氣功能的衰減,最後整個通氣功能喪失作用,而憋氣而亡。因此治療肺泡炎是迫在眉頭,治在必行。

