簡介
降落傘-左室隔離裝置“經皮心室重建術”是針對急性心肌梗死患者易發的心力衰竭的陳舊前壁心肌梗死伴心力衰竭患者的新的治療方法。這類患者常因本身病情危重而無法承受外科手術治療。
“經皮心室重建術”基於國外最新研發的一種新的器械,該器械是一個左(心)室隔離裝置,形似“降落傘”,採用微創介入的方法,經股動脈置入到左室心尖部,將異常收縮的室壁隔離開,從而減少左室容積,改善心力衰竭患者臨床症狀及心功能。
該項技術最早報導於2007年,之後在國外逐漸開展,積累了上百例的經驗,並獲得歐洲CE認證。
技術背景
急性心肌梗死後由於心肌損傷以及隨後的瘢痕化,導致心臟擴大以及心力衰竭的發生,尤其是前壁心肌梗死合併室壁瘤的患者更容易發生心力衰竭,不僅影響患者的生活質量,還造成巨大的家庭和社會的經濟負擔。作為心臟病最終結局之一,心衰的5年生存率甚至比某些惡性腫瘤還低。急性心肌梗死後由於心肌損傷以及隨後的瘢痕化,導致心臟擴大以及心力衰竭,前壁心肌梗死合併室壁瘤的患者更易發生心衰。
“經皮心室重建術”正是針對陳舊前壁心肌梗死伴心衰患者的新治療方法。這項技術的成功套用,將把患者的五年存活率從百分之二三十提高到百分之七八十。
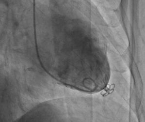
國內病例
術後左室造影北京大學第一醫院心血管內科(以下簡稱“北大醫院心內科”)在科主任霍勇教授的帶領下,於2013年10月9日在國內率先通過微創介入的方法對兩名陳舊前壁心肌梗死合併室壁瘤患者施行了經皮心室重建術,
第一位60歲的男性患者,4年前因為急性前壁心肌梗死,雖然也接受了急診支架治療,但是仍然遺留了室壁瘤。4年來規律服用藥物治療,但仍然不時發生心力衰竭,多家醫院因認為室壁瘤手術治療風險高而止步。
第二位65歲的男性患者,今年3月發生急性前壁心肌梗死,同樣也是接受了急診支架治療,但是依然遺留了室壁瘤,僅今年就因為心力衰竭住院兩次。而由於病情重、手術風險大,諮詢過多家醫院後未採取外科手術治療。
北大醫院心內科經過周密的術前準備,由霍勇教授、洪濤教授分別為兩名患者成功地將“降落傘”-左室隔離裝置放置到患者心室中,減少患者心臟的容積,有效改善心力衰竭的臨床症狀。兩名患者恢復良好。

