簡介
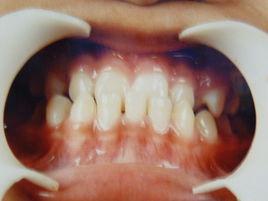
牙齒反合牙齒反合是對牙齒的上下不齊的一種稱謂。通俗的方式講,就是牙齒不齊,也就是平時常說的“地包天”。也被人們稱為"兜齒“,通常表現為下牙包住上牙,不但對咀嚼功能有影響,而且也會因為下巴突出而影響口型的整體美觀。
矯正手術過程
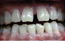
成人地包天手術應在患者成年頜面骨發育定型後,一般在18歲以後進行。手術前首先要做X-線片檢查,了解上下頜的畸形發育情況,通過麗都專家測量,確定反頜畸形是由於下頜發育過度、上頜後縮還是兩種情況都有,以決定手術方案。然後取上下頜咬牙合模型,分析上下頜咬頜關係。手術矯正的方法如下:
1、對因下頜前突導致的反頜畸形,手術主要針對下頜骨,通過特殊的截骨方式截骨後,將下頜骨後退以矯正下頜前突,進而達到矯正反頜畸形的目的。通過將下頜骨截骨後退,不但縮短下頜的長度,而且在後退的同時伴有上頜骨向上鏇轉,下頜角的角度變小,側面看也變得更加美觀。對下巴頦過長者,還需同時將頦骨截骨縮短。
2、對因上頜後縮導致的反頜畸形,則需要行上頜骨截骨前移術,即通過特殊的截骨方式,將上頜骨前移而達到矯正反頜畸形的目的。同時,上頜骨前移後,面中份凹陷也得到明顯改善。個別患者在反頜畸形矯正後,如果鼻部較低,可通過隆鼻手術進一步增加面中份的立體感。
3、同時存在上頜後縮和下頜前突的反頜畸形患者,則需要同時行上頜骨截骨前移和下頜骨截骨後退,必要時還需要頦部截骨整形。
4、手術後上下頜之間用橡皮圈彈力牽引8-12周,維持上下頜骨的位置,鞏固手術效果,然後去除牽引進一步調成咬合關係。
原因
1、乳牙反合有牙齒因素,可能由於牙齒萌出、替換過程中有局部障礙,比如乳尖牙磨耗不足、乳前牙早失等這些因素造成。
2、一些不良習慣造成,比如長期吮指、咬上唇或者是有些孩子由於好奇而模仿周圍有牙齒反合的人。
矯正年齡
地包天矯正的最佳年齡為4-6周歲,由於此時孩子的骨骼彈性較好,不易完全折斷,但易於發生彎曲和變形,有利於地包天矯正手術的進行,糾正頜骨位置,恢復正常的咬合關係。同時地包天矯正的效果最好,也最理想。栗田興稱地包天矯正的最佳年齡是易早不易遲,越早進行地包天牙齒矯正,所需要的時間也越短,效果也最理想。
表現
牙齒反合主要發生在乳牙期或恆牙期,有個別牙反合,也有多數後牙反合。可發生在單側,也可發生在雙側。
治療方法
1、使用固定矯治器。
2、用頦兜及頭帽來進行牙齒反合矯正。
3、咬撬法:將有一定彈性的木條放在患兒需要矯治的上下牙齒之間並咬合,通過木條的槓桿力量,將上牙慢慢推到下牙的外側。

