炭基有機肥炭基肥系列採用優質竹製生物炭為主要原料精製而成。竹製生物炭選用3年生高山孟宗竹,在缺氧的情況下,經500-600℃高溫熱解產生的一類難熔的、穩定的、高度芳香化的、富含碳素的固態物質。竹製生物炭富含75%-95%(wt)的碳,其次是灰分,包括鉀、鎂、鈣、矽、錳、鋅等金屬的氧化物和少量揮發分。
竹製生物炭施入土壤中能長期保持穩定的結構以及獨有的多種特性,使其在土壤改良和農業種植上具有巨大的套用價值。
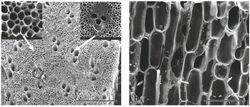
炭基有機肥(1)竹製生物炭具有由洋蔥狀富勒烯(C60)和展開的碳納米管組成的特殊孔隙(如圖1)以及大量的表面含氧基團等特徵,這一特殊結構使其具有良好的吸附性能。竹製生物炭的表面積是木炭的2.5-3倍,吸附能力是木炭的10倍以上。
圖1 竹製生物炭掃描電子顯微鏡圖像。a:竹製生物炭橫切面;b:竹製生物炭縱切面。
(2)竹製生物炭大多呈鹼性,因其灰分中含有很多的鹽基離子,比如鈣、鎂、鉀等,這些鹽基離子可以降低土壤中氫離子及交換性鋁離子的含量,提高酸性土壤pH值。同時,也可增加土壤中礦質養分含量。
(3)竹製生物炭具有多孔結構、比表面積大等特性,可改善土壤持水能力。
(4)竹製生物炭具有高的吸附能力、陽離子交換量(CEC)及化學反應性,其可作為肥料緩釋載體,可延緩肥料養分在土壤中的釋放,提高肥料養分利用率(如氮、磷、鉀)。
(5)竹製生物炭的孔隙結構及貯存水分和養分的作用,使其成為土壤微生物的良好棲息環境,為土壤有益微生物提供保護,特別是菌根真菌,促進有益微生物繁殖及活性。竹製生物炭可作為微生物肥料接種菌的載體,增加接種菌在土壤中存活率。
(6)竹製生物炭具有的吸附性、呈鹼性及表面富含鹼性基團,可以改變土壤中重金屬(鎘、砷、鉻等)的形態,使離子形態的重金屬形成難溶的鹽類。因此具有鈍化重金屬的功能。

