基本內容
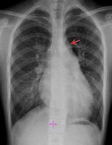
漏斗征是先心"動脈導管未閉"較為特異的徵象,表現為主動脈結下方的動脈壁向外膨隆,其下方降主動脈在與肺動脈段相交處驟然內收,主要是由於導管附著處主動脈壁的局部漏斗形膨出所致。

漏斗征是先心"動脈導管未閉"較為特異的徵象,表現為主動脈結下方的動脈壁向外膨隆,其下方降主動脈在與肺動脈段相交處驟然內收,主要是由於導管附著處主動脈壁的局部漏斗形膨出所致。
漏斗征是先心"動脈導管未閉"較為特異的徵象,表現為主動脈結下方的動脈壁向外膨隆,其下方降主動脈在與肺動脈段相交處驟然內收,主要是由於導管附著處主動脈壁的局部漏斗形膨出所致。
骨盆入口平面各徑線值正常,但中骨盆和出口平面均狹窄,骨盆兩側向內傾斜似漏斗狀,故稱漏斗型骨盆。 其坐骨棘間徑
漏斗骨盆的鑑別診斷漏斗胸畸形的原理尚未明確,大多數人認為漏斗胸是由於下胸部肋軟骨及肋骨發育、生長過度擠壓胸骨移位,使其代償性向內凹陷形成漏斗胸。 ...
概述 病因 檢查 診斷 治療及疑難重症,如先天性心臟病、漏斗胸、雞胸、食管閉鎖、食道狹窄、肺囊腫、膈疝...心臟病及先天性漏斗胸的基礎及臨床研究方面有較深的造詣。具有精湛的手術操作技巧,能獨立或協作完成心胸外科的各種大型手術。醫生榮譽潘征夏榮獲2003年...
醫生簡介 醫生榮譽 專業方向與開放的右室漏斗部之間的正常連線提示肺動脈閉鎖是一種原發的獨立的病理改變...流出道梗阻時,將導致不同程度的隔壁束肥厚,甚至右室小梁部和漏斗部閉合...葉附著區域。超過三尖瓣的附著點,向心尖延伸的部分為右心室小梁部。漏斗部...
流行病學 病因 發病機制 臨床表現 併發症,部分病例亦無需手術矯治,少數可存活至接近正常壽限。有手術指征的先心病,若...。處理對有手術治療指征的病例,要適時進行手術矯治。手術的最好時機根據條件...
簡介 病因 分類 診斷 預後愈響而高峰後移。肺動脈瓣區第二心音減輕而分裂。漏斗部狹窄時,雜音的最響處...)而搏動明顯,但肺門血管搏動弱,右心室增大。漏斗部型狹窄和肺動脈型狹窄的病人...(包括經食管探測)示瓣膜增厚向肺動脈內呈圓頂狀凸出,肺動脈總乾擴張;漏斗部型...
臨床表現 實驗檢查 病理說明 診斷說明 治療說明%,不一致的占11%。右心室雙出口主要是圓錐部(漏斗部)畸形。漏斗部(流出道...的資料中,前後位漏斗部伴大動脈關係正常的占54%,主動脈位於右側並列的占...。在右心室雙出口中,漏斗部呈並列位的約占26%,肺動脈幾乎均自鄰近室間隔的內側...
疾病介紹 發病原因 發病機制 疾病症狀 疾病鑑別終止妊娠的指征是什麼? 158 496 過期妊娠患者引產的時機如何? 158 497 過期妊娠剖宮產指征是什麼? 158 498 過期兒預後如何...的處理原則是什麼? 162 509 前置胎盤期待治療的指征有哪些? 162...
基本信息 推薦語 內容提要 目錄