流行病學
流感病毒主要通過空氣飛沫傳播,病人是主要的傳染源,病毒存在於鼻涕、痰、唾液中借咳嗽、噴嚏排出體外。潛伏期末即有傳染性,發病初2~3天傳染性最強而體溫正常後很少帶毒。病因
流感病毒肺炎發病機制
人群對流感病毒普遍易感,感染後免疫亦維持不長。含有流感病毒的飛沫吸入下呼吸道後,病毒神經氨酸酶破壞神經氨酸,糖蛋白受體暴露,並與病毒血凝素結合,病毒吸附於呼吸道纖毛上皮細胞,進而侵入上皮細胞內進行複製,每4~6小時一代,大量呼吸道黏膜上皮細胞受染,引起黏膜上皮退行性改變,包括顆粒形成、空泡形成、細胞腫脹、核固縮等。細胞最終壞死崩解、脫落。病變向下蔓延引起支氣管壁瀰漫性淋巴細胞浸潤充血、水腫,肺間質水腫肺泡內充滿紅細胞、單核細胞、巨噬細胞和纖維素組成的水腫液。I型和II型細胞脫落,透明膜形成呈現漿液性出血性支氣管肺炎改變。肺臟充血、水腫並發細菌感染時,可出現肺葉的實變、膿腫及間質性肺炎等。流感病毒刺激機體可產生體液抗體、局部抗體以及細胞介導的免疫反應。抗感染保護作用主要與血清抗血凝素抗體有關,但IgA分泌型抗體亦起相當重要作用。細胞介導的免疫包括T淋巴細胞增殖、T淋巴細胞細胞毒反應、NK細胞活性,以及干擾素產生,在疾病的早期即可測到。細胞介導免疫反應在疾病康復中起作用。臨床表現
流感病毒肺炎多見於年幼者、孕婦以及65歲以上老人。尤易發生於左心房壓力增高如二尖瓣狹窄者,但亦可發生於正常人,為直接而嚴重的肺部病毒感染。發病開始常有一般的流感症狀,如起病急驟,咳嗽、咽痛伴有發熱、頭痛、肌痛、不適,症狀持續進展,出現高熱不退氣急、發紺、陣咳、咯血痰量常很少,但可帶血。繼發細菌感染常發生於發病2周內,表現為高熱或症狀一度減輕後又復加重。痰轉為膿性,出現細菌性肺炎的症狀、體徵。病原多為肺炎鏈球菌、金黃色葡萄球菌、流感嗜血桿菌等。常見於慢性心肺疾病者、慢性代謝性疾病以及慢性腎病者導致基礎疾病的惡化。體格檢查時雙肺呼吸音低,在病變相應部位可聞及乾濕性囉音,但無實變體徵。
併發症:
繼發細菌性肺炎。
診斷
流感病毒肺炎流感病毒肺炎診斷依賴於流感流行期間發病和典型的臨床表現,痰液等分泌物以及肺組織中分離到流感病毒,並排除細菌性和其他病原體感染如流腦、軍團病、支原體肺炎等則可以確診。流感病毒可用組織細胞培養或卵黃囊培養,從呼吸道分泌物和肺組織中分離到,常需48~72h。用免疫螢光技術及酶聯免疫吸附技術可自早期組織培養或鼻咽部洗液的脫落細胞中檢出病毒抗原,快速且敏感度高,有早期診斷價值。其他檢測方法包括血凝抑制試驗、補體結合試驗,用當前國內代表毒株或當地新分離的病毒株檢測急性期和恢復期血清抗體升高4倍以上有診斷價值繼發細菌性肺炎診斷可由痰、肺組織、胸腔積液血等標本的細菌培養證實。
鑑別診斷:
與支原體肺炎和細菌性肺炎相鑑別。
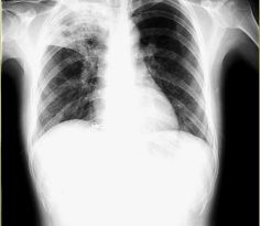
檢查
實驗室檢查:
其他的實驗室檢查無助於特異性診斷血白細胞計數變化大,早期常低,以後可正常或輕度增多。在顯著的病毒或細菌感染時,可發生嚴重的白細胞減少。當白細胞計數超過15×109/L(15000/μl)時,常提示存在繼發細菌感染。
其它輔助檢查:
胸部X線檢查病初可見沿肺門向周邊走向的炎症浸潤,以後出現散在性片狀、絮狀影,常分布於多個肺野,晚期則呈融合改變,多集中於肺野的內中帶,類似肺水腫。
治療
流感病毒肺炎的治療主要是維持肺部的氧合功能,及時提供呼吸和血流動力學支持抗病毒藥如金剛烷胺、金剛乙胺僅用於甲型流感病毒的早期預防及治療,因此類藥物僅阻止流感病毒進入細胞,對已入胞的病毒則無效,故需早期套用才能減輕症狀縮短病程。有關金剛烷胺在流感病毒肺炎治療中可否改善生存、縮短病程尚無肯定意見但臨床醫學家仍建議使用。金剛烷胺每天100~200mg,分兩次服用,療程5~7天,由於其經腎排泄,並有可能引起興奮、眩暈、共濟失調等,故腎功能不全、中樞神經系統疾病及65歲以上者慎用。神經氨酸酶抑制劑套用參見流行性感冒。合併有細菌性感染時宜及早使用合適抗菌藥物對高溫、中毒症狀較重者需給予輸液及物理降溫,其他治療包括臥床休息、多飲水、防治繼發細菌感染及止咳化痰等對症治療。
預後預防
流感病毒預後:
除了5個月的新生兒外,各年齡、性別和職業均易感染原有慢性心肺疾患和高齡者視為高危人群。
預防:
患者應隔離,防治交叉感染。套用減毒活疫苗及滅活疫苗有一定預防作用因每次流感流行的毒株常有變異,疫苗毒株最好儘可能與流行期的毒株接近。金剛烷胺、金剛乙胺預防A型流感有一定效果,早期套用可減少流感病毒肺炎的發生,對B型流感則無效,因此流行早期需確定流行株型別。也可試用中草藥預防。
