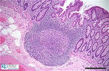
淋巴濾泡由B細胞和T細胞(CD4為主)組成,在其表面覆蓋著一層微皺褶細胞,又稱M細胞。它能識別胃腸道內呈現的許多抗原,主要吞噬病毒和腸道病原菌,遞呈吞入的腸腔內抗原轉
派爾集合淋巴結交給免疫細胞,免疫細胞可對致病抗原加工、轉運、呈遞。在此過程中被激活的免疫細胞經過循環歸巢的過程回到腸黏膜固有層,成為分泌IgA為主的漿細胞和效應T細胞參與腸道局部免疫反應。主要存在迴腸部位!
派爾集合淋巴結(Peyer patch),又稱peyer 斑、派爾斑、PP結、腸道集合淋巴結,Peyer patch等,是腸黏膜免疫系統的重要組成部分,是小腸黏膜內的一組淋巴濾泡。
淋巴濾泡由B細胞和T細胞(CD4為主)組成,在其表面覆蓋著一層微皺褶細胞,又稱M細胞。它能識別胃腸道內呈現的許多抗原,主要吞噬病毒和腸道病原菌,遞呈吞入的腸腔內抗原轉
派爾集合淋巴結交給免疫細胞,免疫細胞可對致病抗原加工、轉運、呈遞。在此過程中被激活的免疫細胞經過循環歸巢的過程回到腸黏膜固有層,成為分泌IgA為主的漿細胞和效應T細胞參與腸道局部免疫反應。主要存在迴腸部位!
活性化 M細胞 存在於腸道派爾集合淋巴結表面的淋巴細胞,捕獲細菌後會送給...
作品背景 故事內容 登場角色 用語解說 分卷劇情攻擊。 可由因大笑而產生的神經肽活性化 M細胞 存在於腸道派爾集合淋巴結表面的淋巴細胞,捕獲細菌後會送給樹突狀細胞用作抗原片段呈遞...
作品背景 故事內容 登場角色 用語解說 分卷劇情角色背景白細胞的原型為現實中人體血液內的白細胞(中性粒細胞),作品中的白細胞許多設定都按照現實中的白細胞特性而來,但為了增強作品...
角色背景 角色形象 日常生活 能力設定 角色經歷依賴性不良反應集合分析4個研究中劑量-反應關係表明,下列不良反應發生率...有關。體重增加:集合分析4周和6周安慰劑對照臨床試驗,結果顯示齊拉西酮...增多、白細胞減少、嗜曙紅細胞增多、淋巴結病;罕見:血小板減少、低色素...
警示語 成份 性狀 適應症 規格集合分析4個研究中劑量-反應關係表明,下列不良反應發生率與劑量明顯相關...。體重增加:集合分析4周和6周安慰劑對照臨床試驗,結果顯示齊拉西酮治療組和安慰劑...減少、嗜曙紅細胞增多、淋巴結病;罕見:血小板減少、低色素性貧血、淋巴細胞...
警示語 成份 性狀 適應症 規格、安慰劑對照試驗中劑量依賴性不良反應集合分析4個研究中劑量-反應關係...有關。體重增加:集合分析4周和6周安慰劑對照臨床試驗,結果顯示齊拉西酮...不良反應:貧血、淤血、白細胞增多、白細胞減少、嗜曙紅細胞增多、淋巴結病...
成份 性狀 適應症 規格 用法用量淋巴也叫淋巴液,是人和動物體內的無色透明液體,內含淋巴細胞,由組織液滲入淋巴管後形成。淋巴管是結構跟靜脈相似的管子,分布在全身各...
