說的簡單點就是:讓大臼齒不要往前進,占到拔牙的位置,以免損失拔牙的空間,暴暴的牙才有更多的空間往後退。
橫齶桿
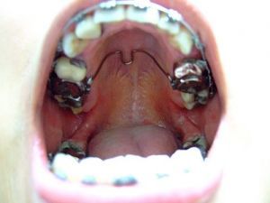
橫齶桿是裝在上顎的顎側,最主要是起到穩定牙弓形態的作用與保持左右的顎弓距離,還有就是大臼齒的支抗作用,中間形似OMEGA的彎折, 最主要的是讓弓型更有彈性,讓牙弓更有柔性的空間。
橫齶桿〓6間加橫齶桿。10.6〓6間加Nance弓)。11.6〓6間加舌弓。具體...支抗,去拉動希望移動的牙齒。比如牙列的“8”字連扎,左右上頜第一磨牙橫齶桿等。2.還可以通過掛頜間牽引的方法,利用對頜牙列來加強支抗。3.通過戴...
定義 加強方法 意義聯成後牙片斷,並用橫齶桿將兩側後牙片斷連成一體,形成後牙強支抗單位,再用...,下頜角明顯突出,下頜平面角為低角型。深覆合的面形是下唇外翻,形成橫的深...
疾病診斷 發病原因 發病機制 臨床表現 疾病治療歷史與發展 在傳統的治療方案中,常用的控制支抗手段有口外弓,頜間牽引,橫齶桿,Nance弓,唇擋,舌弓以及用組牙作支抗移動單個牙齒等。這些方法往往需要患者配合,而且附加的口內裝置增加了患者的不適,不利於口腔功能...
歷史與發展 適應症的選擇及治療計畫的確定 臨床應用程式.