正常值
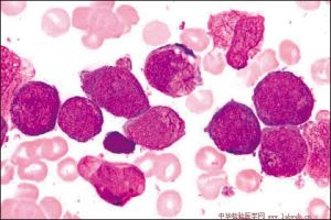
白細胞胞質中出現的紅色細桿狀物質,1個或數個,長約1-6μm。
臨床意義
異常結果:棒狀小體只出現在白血病細胞中故見到棒狀小體對急性白血病的診斷和鑑別診斷有重要意義急性粒細胞白血病時幼稚粒細胞胞質中多見呈粗短棒狀量可較多;急性單核細胞白血病時可出現呈細長棒狀常為1條;急性淋巴細胞白血病時不出現棒狀小體。需要檢查的人群:患有急性白血病而未查出患有那種急性細胞性白血病的患者。
注意事項
不合宜人群:抽血前暴飲暴食,飲酒的人群。檢查前禁忌:一定要配合醫生把姓名寫正確,工整,避免同名或相類似名混淆帶來不便。注意了這些,抽血會更方便、更迅速,能更好地為自己節約診斷時間。檢查時要求:(1) 抽血當天,不要穿袖口過小、過緊的衣服,以避免在抽血時衣袖卷不上來或抽血後衣袖過緊,引起手臂血管血腫。(2) 不同的化驗項目要問清醫生,區別對待。如血糖檢查,餐後血糖,一定要吃飯後再做檢查;餐前血糖,早上檢查前一定不能吃飯;血脂檢查之前,最好不要吃含油脂過高的食物,如排骨湯等;查膽固醇前,少吃或不吃雞蛋。
檢查過程
(1) 末梢採血。(2) 制血膜片:吸取末梢血一滴,加在載玻片右端,取推片從血滴左側接觸血液,輕壓血滴2-3次,使血液沿推片與載玻片之間散開,將推片勻速平穩地向左推進,至血滴推盡為止。血膜應呈舌狀、頭、體、尾清晰可分。(3) 靜置室溫待其自然乾燥,或37℃溫箱保溫促乾。(4) 染色:平置血膜片於染色架上,滴3-5滴瑞氏染液,使其迅速蓋滿血膜,約1分鐘後,加緩衝液5-10滴,用洗耳球對著血片吹氣,使兩液充分混和。靜置染色10分鐘左右,用自來水衝去染液,待乾。(5) 鏡檢:A.先用低倍鏡觀察血片染色情況,白細胞分布等。B.選擇血膜片體尾交界處染色良好的區域,以牆城式推進,有油鏡觀察100個白細胞,分別記錄各種白細胞的百分比。
相關疾病
幼年型粒-單核細胞白血病,低增生性急性白血病,老年急性白血病
相關症狀
發熱伴關節腫痛,發熱伴出血,發熱伴有腹痛、腹瀉、噁心、嘔吐,急性貧血,大小便失禁,持續性發熱,貧血,昏迷,發燒

