疾病描述
主要的傳播途徑是經性交直接傳播,有不潔的性生活史、多個性伴侶者最易感染;其次是通過污染的衣物、器械間接傳播。
症狀體徵
潛伏期表現
會陰濕疣潛伏期為3周-8個月,平均3個月。患者以年輕婦女居多。病變以性交時容易受損傷的部位多見,如舟狀窩附近、大小陰唇,肛門周圍、陰道前庭、尿道口,也可累及陰道和宮頸。臨床症狀常不明顯,部分患者有外陰瘙癢、燒灼痛或性交後疼痛。典型體徵是初起為微小散在的乳頭狀疣,柔軟,其上有細小的指樣突起,或為小而尖的丘疹,質稍硬,孤立、散在或呈簇狀,粉色或白色。病灶逐漸增大、增多,互相融合成雞冠狀或菜花狀,頂端可有角化或感染潰爛。宮頸病變多為扁平狀,肉眼難以發現,常需陰道鏡及醋酸試驗協助發現。
相關表現
尖銳濕疣損害察覺在尿道內,病人可有尿道不適感現象,可發覺溢尿、肉眼血尿,有分泌物自尿道排除,尿道堵塞感,排尿不暢或有排尿困難。
在尖銳濕疣發生髮展過程中絕大部份患者無任何不適感,如不發現瘙癢、疼痛等自覺病症。有極少數患者局部可有輕度瘙癢、刺痛。
損害發生在口腔或咽喉部者可有進食困難、吞咽困難、聲音嘶啞,嚴重者可因尖銳濕疣損害堵塞氣管誘發窒息而死亡,特別在嬰幼兒尖銳濕疣患者中容易發生。
此外,尖銳濕疣發生在尿道內還可發現尿頻、尿急、尿痛、尿流曲線改變等。若尿道內病變嚴重累及膀胱者可發生雙側輸尿管阻塞而帶來腎積水、腎感染、腎功能不全,損害波及盆腔者可帶來腸梗阻、下肢水腫。
通常尖銳濕疣發病部位多濕潤,局一些泌物會增加,細菌等感染機會也會增加。若發生細菌感染則可浮現局部紅腫、疼痛,也可發生糜爛、潰瘍、壞死、滲液或顯然膿性液等。
疾病病因
尖銳濕疣是由人乳頭瘤病毒感染引起的鱗狀上皮增生性疣狀病變。HPV有多種亞型,與生殖道尖銳濕疣有關的主要有HPV6、11、16、18型。國內外報導外陰尖銳濕疣的發病率明顯升高,已成為常見的女性性傳播疾躺。HPV主要感染鱗狀上皮,外陰尖銳濕疣約50%—70%同時伴有陰道、宮頸的尖銳濕疣,且易與多種性傳播疾病如淋病奈氏苗、滴蟲、白念珠菌、衣原體、梅毒螺鏇體等並存。溫暖、潮濕的外陰皮膚易於HPV的生長;妊娠、糖尿病、影響細胞免疫功能的全身疾病時,尖銳濕疣生長迅速,且不易控制。少部分患者的尖銳濕疣可自行消退,但機制不明。HPV除可引起生殖道的尖銳濕疣外,還可能與生殖遭腫瘤的癌前病變有關.尤其是HPVl6、18型與外陰癌、宮頸癌的關係更為密切。
疾病危害
尖銳濕疣對患者身體帶來的危害:在感染了尖銳濕疣以後,患者的病變部位會出現潰瘍、出血等症狀,如果治療不及時,病情會不斷的發展,疾病越來越嚴重,而越來越多,將會引起患者的局部異物和不適感發生。尖銳濕疣的發病部位主要是在包皮內、尿道、陰唇、陰道內、肛周等,但是這些部容易受感染,導致病變部位的潰瘍、化膿、出血、疼痛和腫脹。
女性在患上假性尖銳濕疣後,小陰唇裡面是對稱的、條索形指狀的丘疹,分布的非常的深厚,也有像魚子形狀的丘疹。假性尖銳濕疣發病後沒有任何非常難受的現象,所以不需要治療,而且也不具備傳染性。
尖銳濕疣的傳播途徑廣泛,稍不注意就有可能傳染給他人,造成危害加重,尖銳濕疣通過直接接觸或被污染的物品的間接接觸,可以導致眼結膜的乳頭狀瘤和口腔黏膜的乳頭狀瘤。大家如果患上尖銳濕疣,將會出現非生殖器部位的乳頭狀瘤等症狀。
孕婦感染尖銳濕疣的危害更是嚴重,如果女性患上尖銳濕疣,那么尖銳濕疣將會傳染嬰兒,患生殖道疣的孕婦,在分娩時,通過產道的嬰兒可能被傳染,引起嬰幼兒的咬吸道疣。
尖銳濕疣會對患者造成的最嚴重的危害:癌變,HPV16、18型及39型號感染後,患者如果沒有及時的接受治療,病情發展嚴重的話還有導致癌變的可能性。
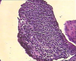
診斷檢查
典型病例,肉眼可作出診斷。外陰有尖銳濕疣者,應仔細檢查陰道及宮頸以免漏診。對體徵不典型者,則需進行輔助檢查以確診。主要輔助檢查有以下幾種。
1.細胞學檢查
可見到挖空細胞,表現為中層細胞核大,有時可見到雙核,核深染,核周有大空泡,雖然挖空細胞的特異性較高,但挖空細胞的檢出率較低。
2.陰道鏡檢查
陰道鏡檢查對發現宮頸病變頗有幫助。典型病灶表現為每個乳頭狀突起的半透明表皮下都有中央血管袢。宮頸塗以3%醋酸後,可見移行區內外鱗狀上皮呈白色斑塊,襄面隆起不平或為小乳頭指樣突起,有中央毛細血管,也可表現為點狀血管呈花壇狀或呈細小鑲嵌排列。
3.病理組織學檢查
尖銳濕疣鏡下呈外向性生長,增生的乳頭小而密集,表層細胞有角化不全或過度角化;棘細胞層高度增生,有挖空細胞出現,為HPV感染的特徵性改變;基底細胞增生,真皮水腫,毛細血管擴張,周圍有慢性炎細胞浸潤。
4.聚合酶鏈反應(PCR)
PCR方法簡便、快速、敏感性高,特異性強。可檢測極微量HPVDNA,不僅可確診是否為HPV感染,且能確定HPV類型。注意取新鮮病變表面的刮取物或病變組織以提高陽性率。
5.核酸DNA探針雜交
以原位雜交套用較多。原位雜交是直接在組織切片或細胞塗片上進行雜交反應,通過光鏡檢查。此法有助於對組織學可疑病變的鑑別。
治療方案
尚無根除HPV方法,治療原則為去除外生疣體,改善症狀和體徵。
局部藥物治療
用藥前,局部塗以1%的丁卡因行表面麻醉以減輕疼痛。
①33%~50%三氯醋酸外塗,每周1次,一般1-3次後病灶可消退。三氯醋酸毒性小,對周圍正常皮膚無損害,病變修復後不形成瘢痕,可用於陰道及宮頸病變。
②1%酞丁安膏塗擦,每日3-5次,4-6周可望痊癒,刺激性小,被廣泛套用。
③10%-25%足葉草脂塗於病灶,本藥具有細胞毒性,能抑制細胞分裂的M期,刺激性大,注意不要塗及正常皮膚,不能用於陰道及宮頸病變,塗藥後2-4小時洗去,每周1次,可連用3-4次。
④5%氟尿嘧啶軟膏外用,每日1次,10~14日為1療程,一般套用1-2個療程。
物理或手術治療
物理治療有微波、雷射、冷凍。微波是在疣體基底部凝固,因其為接觸性治療,可適用於任何部位尖銳濕疣。雷射適用於任何部位疣及難治療、體積大、多發疣。冷凍適用於疣體較小及病灶較局限者。巨型尖銳濕疣可用微波刀或手術切除。3.干擾素干擾素具有抗病毒、抗增殖及調節免疫作用。可表現為限制HPV病毒的複製;減慢病變部位中細胞的分裂速度;增強宿主對感染HPV的防禦反應。常用基因工程重組干擾素(YIFN)a-2a,劑量100萬u,隔日肌注1次,連續3-4周為一療程,也可採用病灶基底部局部注射。干擾素一般不單獨使用,多作為輔助用藥。對反覆發作的頑固性尖銳濕疣應及時取活檢排除惡變。
中醫藥治療
【中藥湯治療】
尖銳濕疣是由病毒引起的生殖器、肛門等部位的增生性損害,表現為丘疹樣或菜花狀的贅生物,具有很強的傳染性,多在不潔性接觸後發病。西醫採用藥物外塗或雷射、電灼及手術切除術,部分病例易復發。中醫治療尖銳濕疣,採用本草除疣湯,是由敗醬草、牡蠣粉、夏枯草、赤芍、苡仁、山豆根、木賊、香附等多種中藥組合而成。從濕熱邪毒外侵肝經辨治。
【中成藥】
(1)龍膽瀉肝丸,口服,每次6克,每日3次,溫開水送服。
(2)抗病毒口服液,口服,每次1支(10毫升),每日3次,溫開水送服。
(3)龍膽瀉肝顆粒口服,每次1~2包(4~8克),每日2次,溫開水送服。
【外治法】
用苦參湯外洗,再外撒青黛散。用去疣膏局部外敷。鴉膽子油(鴉膽子仁1份,花生油2份浸泡半個月)點塗患處,每日1~2次。五妙水仙膏點塗疣體,可結合金剛石長車針打磨術。損害較大者宜手術切除,也可採用二氧化碳雷射治療或冷凍治療、微波治療等。[1]
疾病預防
避免不潔性交、多個性伴侶等不良生活習慣。
1.堅決杜絕性亂:尖銳濕疣患者中60%是通過性接觸染病的。家庭中一方從社會上染病,又通過性生活傳染配偶,還有可能通過密切的生活接觸傳給家中其他人,既帶來了生理上的痛苦,又造成家庭不和,背負精神壓力。因此提高性道德,不發生婚外性行為是預防尖銳濕疣發生的重要方面。
2.防止接觸傳染:不使用別人的內衣、泳裝及浴盆;在公共浴池不洗盆塘,提倡淋浴,沐浴後不直接坐在浴池的坐椅上;在公共廁所儘量使用蹲式馬桶;上廁所前用肥皂洗手;不在密度大、消毒不嚴格的游泳池游泳。
3.講究個人衛生:每日清洗外陰、換洗內褲,個人的內褲單獨清洗。即使家庭成員間也應該做到一人一盆,毛巾分用。
4.配偶患病後要禁止性生活。如果配偶僅進行了物理治療,雖然外陰部可見的尖銳濕疣消失了,但患者仍帶有人乳頭瘤病毒,還應該接受口服藥及外洗藥的綜合治療,療後複查。在此期間如果發生性行為,可使用保險套進行防護。
5.孕婦患尖銳濕疣後為了避免分娩時感染胎兒,可選擇剖宮產。產後不要與嬰兒同盆而浴。
傳播途徑
直接性接觸傳染
這是主要的傳播途徑。據研究有2/3與尖銳濕疣患者有性接觸的人可發生本病。病期平均在3個半月時傳染性最強,故在性混亂者中最易感染本病。
2、母嬰傳染
嬰幼兒尖銳濕疣或喉乳頭瘤病和兒童的尖銳濕疣,可能是分娩過程中胎兒經過感染HPV的產道或在出生後與母親密切接觸而感染的。
3、間接物體傳染
少數可通過日常生活用品如內褲、浴盆、浴巾傳染。這一傳播途徑是極其少的,只有和患有尖銳濕疣的患者共同生活,共用浴具時才可發生。
安全提示
注意保持外陰清潔,常見於淋病患者
1、避免不潔的性交或濫交,以防感染性病。
2、保持外陰清潔,治療各種容易引起白帶增多的婦科疾病,妊娠期間白帶往往增多,更要注意外陰清潔。
3、不與他人共用浴巾,不在公共浴池或浴盆內沐浴,坐式馬桶圈也可能是傳染源。
4、患者的衣褲均應煮沸消毒,疾病未愈前要進行隔離,並避免性生活。
5、外陰部瘙癢或發生不正常小疙瘩時,應立即到醫院檢查以明確診斷。

