流行病學
暴發性痤瘡1959年由Burns首先描述,當時使用名稱是菌血症性集簇性痤瘡。1971年Kelly等認為患者在急性發熱期可形成潰瘍性損害,伴關節疼痛稱急性發熱性潰瘍性聚合型痤瘡(acute febrile ulcerative acne conglobata)。亦有人將該病稱為系統性痤瘡(system acne),發熱性潰瘍性痤瘡 (febrile ulcerative acne),日本學者將 acne fulminans一詞譯為電擊性痤瘡。1975年,Pieving等將該病命名為AF。該病至今全世界僅報導100例左右1977年有人報告13例AF患者均為13歲左右的白種人有人報告24例患者中1 例為女性,年齡在13~20歲之間。
暴發性痤瘡病因
該病的確切病因尚不十分清楚。有人認為是丙酸痤瘡桿菌的Ⅲ型或Ⅳ型變態反應。由於患者毛囊內正常寄生菌可使免疫障礙免疫複合物增多,補體降低,,γ-球蛋白增高,而出現發熱、關節痛、骨病變等症狀。也有人報告AF患者與過敏體質有關。也有人曾發現患者的末梢血中有0.5%~12%成髓細胞、前髓細胞及髓細胞認為是服用皮質類固醇激素引起
為尋找發熱原因,除外菌血症的存在,常對患者作血液細菌學培養,均為陰性骨髓炎的AF患者骨活檢僅見非特異性炎症,未發現致病菌。皮損處的細菌培養無其他致病菌,多見的是正常寄生菌。
發病機制
確切發病機制尚不十分清楚。有人認為是由於患者毛囊內正常寄生菌可使免疫障礙,免疫複合物增多,補體降低,γ-球蛋白增高,而出現發熱、關節痛、骨病變等症狀也有人認為AF患者與過敏體質有關。
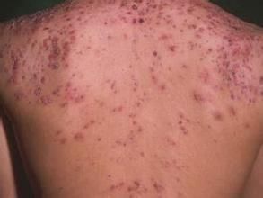
臨床表現
突然發病,皮損以胸背部為主,亦可出現於面頸部。呈痤瘡樣,多發且集簇成片。可見毛囊性炎性丘疹、膿疤,有劇烈的炎症反應,局部疼痛明顯,易形成糜爛潰瘍,愈後留有淺表瘢痕。
發病中常伴有發熱,體溫可高達39℃以 上,抗生素治療無效。可有多發性關節炎患者往往有倦怠食欲不振、肌肉疼痛及頭痛等全身症狀,少數患者有體重減輕,骨髓炎、肝脾腫大、貧血、結節性紅斑、強直性脊柱炎、炎症性疾病(Inflammatory disease),如壞疽性膿皮病及鞏膜炎。
併發症:
少數患者有壞疽性膿皮病及鞏膜炎發生。
診斷
根據發病年齡,突然出現融合傾向的痤瘡樣膿疤,分布於軀幹及面部,丘疹膿疤易形成糜爛、潰瘍留有淺表瘢痕;有發熱及關節痛等全身症狀,抗生素療效不佳皮質類固醇治療有顯著療效。白細胞增加和血沉加快等可確診AF。
鑑別診斷:
1.聚合性痤瘡(聚簇性痤瘡) 該病也好發於軀幹、面部,但發病年齡偏大,病程呈慢性和進行性,皮損以囊腫和結節為主通常無自覺症狀和全身症狀,對抗生素治療較AF好。
2.痘瘡樣痤瘡(壞死痤瘡) 初發為褐紅色毛囊丘疹,以後中央壞死,愈後留有痘瘡樣瘢痕,皮損處無壓痛不伴有全身症狀
檢查
實驗室檢查:
末梢血中白細胞總數增加、中性粒細胞比例增加(95%),血沉加快及C反應蛋白增高尚可見貧血、顯微鏡下血尿、補體降低、γ-球蛋白增多肌酶升高、免疫複合物增加及末梢血中有成髓細胞、前髓細胞及髓細胞。
其它輔助檢查:
組織病理:毛囊壁毛囊內及其周圍可見以中性粒細胞的浸潤,部分囊壁被破壞,多核細胞及組織細胞等細胞浸潤可深達脂肪層,嚴重者可見表皮壞死血管周圍可見中性粒細胞及淋巴細胞浸潤,部分可見角層下膿疤形成表皮內及皮脂腺周圍炎性細胞浸潤等,無血管炎改變。
治療
潑尼松0.5~1mg/(kg·d)逐漸減量,至少用藥2~4個月,對復發者可繼續使用前藥如療效不佳,可並用硫唑嘌呤,並將皮質類固醇減量。
非甾體抗炎止痛劑對AF的發熱、關節和肌內疼痛及骨病有效可聯合套用。有人認為異維A酸治療[0.5~1mg/(kg·d)]有效,但有人認為可加重病情。目前傾向用異維A酸與抗生素皮脂類固醇及非甾體抗炎劑聯合使用,這樣有利於AF的長期治療。該病癒後可在局部留有色素沉著和淺表性瘢痕但預後良好。
有人用多種抗生素、氨苯碸、氯法齊明左鏇咪唑及睪酮治療,療效欠佳。也有人使用抗生素治療無效,但用抗生素後皮損和全身症狀卻慢慢好轉。有人曾用米諾環素0.2mg/d,靜脈滴注治療4天AF皮損和全身症狀反而惡化,改用皮質類固醇2天,皮損和全身症狀好轉。故該藥治療AF具有良好效果。
預後
該病癒後可在局部留有色素沉著和淺表性瘢痕,但預後良好。

