病因症狀
原因
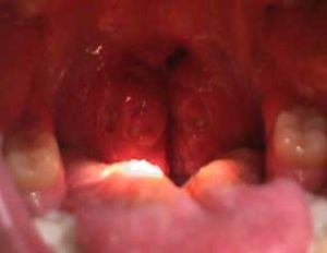
扁桃體肥大 症狀
扁桃體肥大2.鼻部症狀:扁桃體肥大常並發鼻炎、鼻竇炎。患兒有鼻塞、流涕、張口呼吸、流涎、講話時帶閉塞性鼻音、睡眠打鼾等症狀。
3.呼吸道感染症狀:由於炎症不行,分泌物刺激呼吸道黏膜,常引起咽喉、氣管及支氣管炎,故病人可出現咽部不適、聲音改變、咳嗽吐痰、氣喘、低熱等症狀。4.“腺樣體面容”:由於長期張口呼吸,影響孩子面骨發育,上頜骨狹長,硬齶高拱變窄。牙齒外突,牙列不整,咬不良,下頜下垂,唇厚,上唇上翹,下唇懸掛,外眥下拉,鼻唇溝淺平。加有精神萎靡,面部表情呆板、愚鈍,即成所謂“腺樣體面容”。
治療方法
1、藥物治療:傳統藥物治療急性扁桃體炎的方式一般是採用抗菌消炎藥治療,這種局部治療方式的缺點在於只消炎,而不能清除扁桃體陷窩內的細菌,一旦身體抵抗力降低極易反覆發作,日久則形成慢性病灶。2、手術治療:扁桃體具有一定的人體免疫功能,並且手術切除扁桃體具有一定危險性,同時也給患者帶來巨大痛苦和沉重的經濟負擔,一般若不是重病患者,不建議做切除扁桃體手術。
3、中草藥治療:日常生活中以茶為飲品除預防和改善咽喉炎外還能調節人體機理平衡,增強人體抵抗力,極大的降低疾病的復發率。
4、高頻速離技術治療:高頻速離技術[1]治療扁桃體肥大是採用電子線路產生的高頻電能,在精準定位導航系統的指引下,精確直達病灶部位,由手術電刀通過針形或刃形電極,瞬間(0.6~1.2s)將病灶組織切除,形成一個不出血、窄面平坦的切口,完成止血工作,達到治療扁桃體肥大的目的。由於該系統還還配有強大的數位化功率控制的管理功能,能針對患者的具體情況指定不同的治療參數,採取個性化的治療方法,具有全程數位化控制溫度的特點,32位二進制代碼控制溫度可精確到0.05℃。而且該設備的功率由計算機控制,會根據治療區的情況適宜調整,以防止過度凝固和切割。因此,不會破壞正常組織結構,保留了扁桃體原有的免疫力及抗菌功能。該技術治療臨床手術有效率高達98%以上,以超微創,無痛苦,不出血,治療速度快等優勢得到廣大患者的青睞!
1.領先性:該技術以高速度、高安全性著稱,治療時間短,無痛苦,恢復快、不影響工作和學習,適合各個年齡層患者。治療效果明顯高於其他治療。
2.微創性:精細化的操作,完全避免了對正常組織及結構的傷害,不開刀、不住院、不全麻,避免了傳統手術治療的風險,無併發症,安全係數大大增加。
3.徹底性:多套科學設備結合,針對性強,安全有效,有效率高達98%以上。適用於各種病況患者。
4.時效性:一次性治療,治療時間相比傳統治療提高
注意事項
扁桃體肥大2、一般情況下,術後90分鐘就能離開醫院。但由於麻醉藥通常在3~4小時後才完全消退,所以建議不妨多些時間留院觀察;
3、孩子術後前三天最好吃流質,3天后可以恢復正常飲食,3周內最好不要吃太硬的食物。
4、術後7天,扁桃體肥大患兒就可出院,但在兩周內最好不要參與劇烈運動。
家庭護理
1.扁桃腺一般3~10歲時最大,10歲以後逐漸萎縮,因此兒童時期的扁桃體肥大是防治的重點。
2.加強鍛鍊,特別是冬季,要多參與戶外活動,使身體對寒冷的適應能力增強,減少扁桃體發炎的機會。
3.保持口腔清潔,吃東西後要漱口。
4.急性扁桃腺肥大多為細菌感染所致,特別是化膿菌,如鏈球菌、金黃色葡萄球菌等,因此必須使用抗生素,其中青黴素類最有效,根據炎症的輕重程度可選擇口服或靜脈注射。
術後注意
扁桃體肥大2、要嚴格遵守醫生的囑咐。術後2天內進食流質,7天內進食半流質,不要提早吃硬的食物。因術後創面暴露在口腔,硬食物易擦破創面引起出血。
3、要注意休息。2周內不要做較重的體力活動,也不要用力屏氣,以防血管破裂引起出血。另外,經歷了扁桃體切除手術,術後往往感到有些疼痛,有些病人會因此而不敢進食。這時家屬要鼓勵病人進食,以加快癒合過程。
4、要注意口腔清潔。術後1~2天可以看到創面上有一層白色的膜,不要擔心,這是纖維蛋白膜,屬正常現象。每天用1:5000的呋喃西林液輕輕含漱清潔口腔,維護白膜健康生長,有助於創面早日癒合。 孩子術前8小時不能吃東西,也不能喝水,所以在8小時前讓孩子吃飽。
一般情況下,術後90分鐘就能離開醫院。但由於麻醉藥通常在3~4小時後才完全消退,所以建議不妨多些時間留院觀察;
孩子術後前三天最好吃流質,3天后可以恢復正常飲食,3周內最好不要吃太硬的食物。
術後7天,扁桃體肥大患兒就可出院,但在兩周內最好不要參與劇烈運動。
小兒症狀
1、扁桃體肥大導致孩子經常尿床
扁桃體肥大2、打呼嚕是扁桃體肥大的症狀
總是打呼嚕打呼嚕是扁桃體肥大的一個主要症狀,如果不進行治療,就會使孩子睡覺時出現障礙性呼吸暫停。這些暫停又會使孩子睡覺時身體缺氧。如果身體處於低氧水平,並且持續地由於呼吸不暢而醒來,肯定會讓孩子顯得疲勞和脾氣暴躁。此外,頻繁打呼嚕還會發生更嚴重的後果,出現多動症的幾率比普通孩子高出4倍。這些孩子常常晚上睡不好,早上不願起床,經常表現出注意力不集中等。
3、帶孩子做睡眠監測
通常隨著孩子漸漸長大,扁桃體會自動收縮。但是如果扁桃體一直腫大,並且孩子出現很多睡眠障礙方面的問題,最好還是帶他去醫院耳鼻喉科檢查。通過X線檢測,判斷扁桃體肥大的程度。然後,在醫生指導下做個睡眠監測,或是事先就將孩子的睡眠狀況記錄下來,交給醫生判斷,是用藥治療還是進行手術摘除。
4、扁桃體肥大可增加孩子重量
通常是胖孩一般而言,肥胖的孩子在頸部和胸部的脂肪都比較厚,這些脂肪對氣道會有一定的擠壓,如果再加上肥大的扁桃體,就會讓孩子的呼吸增加一層阻力,導致他晚上睡眠受到嚴重影響。從而使他白天的精神狀態萎靡,不想從事體力運動。最後形成一種惡性循環,使得孩子的體重不斷增加。
5、扁桃體術前注意事項
手術的細節通常孩子術前8小時不能吃東西,也不能喝水,所以在8小時前讓孩子吃飽。一般情況下,術後90分鐘就能離開醫院。但由於麻醉藥通常在3~4小時後才完全消退,所以建議不妨多些時間留院觀察;孩子術後前三天最好吃流質,3天后可以恢復正常飲食,3周內最好不要吃太硬的食物。術後一周,孩子就可回幼稚園,但在兩周內最好不要參與劇烈運動。
手術類型
扁桃體肥大是由於扁桃體長期反覆被炎症刺激而形成,扁桃體肥大一旦到了一定程度會導致患者出現局部及全身的併發症,給患者的健康帶來極大威脅。因此一旦扁桃體肥大的現象,一定要及時治療。扁桃體是咽部最大的淋巴組織,在兒童時期既具有體液免疫作用,產生各種免疫球蛋白,也有一定的細胞免疫作用,一般情況下,對於小孩子的扁桃體肥大能不做手術的就不做手術。但是下面幾種是必須要手術治療的。1、頻繁發作的扁桃體炎。2、扁桃體病變全面影響兒童健康或使兒童中斷學業,以及影響聽力或呼吸時。3、扁桃體炎一年發作四次或四次以上;扁桃體炎兩年內每年發作三次或三次以上。4、扁桃體肥大引起的上呼吸道阻塞,造成嚴重打鼾,吞咽不暢,發音不清。5、有過一次或一次以上扁桃體膿腫。6、扁桃體引起了全身疾病,成為病灶性扁桃體。7、扁桃體反覆發炎引起鼻炎、中耳炎、氣管炎等反覆發作或久治不愈。扁桃體肥大手術還需要注意以下問題:1、扁桃體正在發炎時不宜切除。因為此時孩子發燒,扁桃體充血,手術後傷口容易出血或出現繼發感染。2、女孩子在月經期和月經前期不宜手術,因此時手術出血較多。3、扁桃體手術後要靠扁桃體窩內的血管自行收縮,血液凝固止血。各種原因造成凝血和血管彈性下降都可引起術後出血,因此有造血和凝血系統的疾病如血友病、再生障礙性貧血、白血病、紫癜等,都不宜手術。4、在腎炎、肝炎、風濕病、結核等疾病的活動期時不宜手術。此時手術會加重病情甚至引起嚴重的併發症。

