解釋
心臟照影心臟造影症狀往往是診斷疾病的先導。心臟病亦如此,病人的感覺,也可為醫生提供重要線索。但是,在實際生活中,把某些不相干的症狀,與心臟病聯繫起來,是常有的事情。有不少人以為,心悸就是心臟病。其實,雖有心悸但心臟卻是健康無恙的。因此,把心臟病症狀說清楚,對喚起人們的注意和消除不必要的疑慮是必要的疲勞:是各種心臟病常有的症狀。當心臟病使血液循環不暢,新陳代謝廢物(主要是乳酸)即可積聚在組織內,刺激神經末稍,令人產生疲勞感。疲勞可輕可重,輕的可不在意。
重的可妨礙工作。但心臟病疲勞沒有特殊性,心臟照影它與其它疾病所致的疲勞難以區分疼痛:心肌炎、心包炎、心律失常的病人均可感到胸部疼痛。最常見的是心絞痛。心絞痛往往以勞累、激動、飽餐為誘因突然發作,疼痛部位多在胸部正中,有壓迫、灼熱或擠壓感,甚至是一種瀕臨死亡的窒息感,有的可放散在左肩、背及左上臂內側。疼痛持續時間短,3—5分鐘消失,最長不超過20分鐘。
氣短:氣短是心臟病常見症狀。最顯著特點是勞力性氣短和夜間陣發性呼吸困難。勞力氣短就是氣短與活動有關。心臟病人常說,我上二層樓都心慌、憋氣,受不了;夜間陣發性呼吸困難即夜間睡臥不平,有時從夢中憋醒,端坐且喘息一會兒方可緩解。心悸:病人常感心悸,尤其在活動以後。但心悸在有其它疾病或沒有病時也可發生,故心悸對診斷心臟病意義不大首先要了解心臟病發作的症狀有哪些:胸前壓迫樣疼痛並可能放射到雙臂頸及下頜;心跳不規則、呼吸困難;焦慮恐懼;眩暈;噁心嘔吐;大汗;口唇甲床蒼白或紫紺;皮膚蒼白青紫及意識喪失保持患者鎮靜、舒適、解開頸。
胸、腰部比較緊的衣服。如果患者神志喪失,心臟造影應把他擺成恢復性體位(支撐患者的頭部並使其處於腹臥位,將靠近你這一側的上臂及膝關節屈曲,輕輕地將頭部後仰以保證呼吸道的通暢)。保持患者溫暖,必要時可用毛毯或衣物蓋信其身體。用涼的濕毛巾敷在其前額上。
注意
不要搖晃病人或用冰水潑病人以試圖弄醒他。不要讓他進食及喝在人胚胎髮育時期(懷孕初期2-3個月內),由於心臟及大血管的形成障礙而引起的局部解剖結構異常,或出生後應自動關閉的通道未能閉合(在胎兒屬正常)的心臟,心臟造影稱為
先天性心臟病。除個別小室間隔缺損在5歲前有自愈的機會,絕大多數需手術治療。心臟造影臨床上以心功能不全、紫紺以及發育不良等為主要表現。
類別
心衰:新生兒心衰被視為一種急症,通常大多數是由於患兒有較嚴重的心臟缺損。
其臨床表現是由於肺循環、體循環充血,心輸出量減少所致。患兒面色蒼白,憋氣,呼吸困難和心動過速,心率每分鐘可達160次-190次,血壓常偏低。可聽到奔馬律。肝大,但外周水腫較少見。
紫紺:其產生是由於右向左分流而使動靜脈血混合。
在鼻尖、口唇、指(趾)甲床最明顯。
蹲踞:患有紫紺型先天性心臟病的患兒,特別是
法樂氏四聯症的患兒,常在活動後出現蹲踞體徵,這樣可增加體循環血管阻力從而減少心隔缺損產生的右向左分流,同時也增加靜脈血回流到右心,從而改善肺血流。
杵狀指(趾)和
紅細胞增多症:紫紺型先天性心臟病幾乎都伴杵狀指(趾)和紅細胞增多症心臟造影。杵狀指(趾)的機理尚不清楚,但紅細胞增多症是機體對動脈低血氧的一種生理反應。
影響
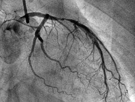
心臟造影就是經過血管插入一隻導管到冠脈部位,然後打入造影劑,然後做拍片或者透視。當然,造影是有一定風險的,但現在積累了很多經驗,風險已經很小了,但還是要患者自己權衡是不是要做。

