介紹
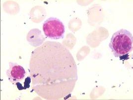
巨紅細胞:直徑12μm以上,中央淡染區
消失,染色深,主要由葉酸、維生素B12
缺乏引起
形態特點
經Wright染色後,原巨幼細胞的胞漿呈深藍色,無顆粒,核周圍有一染色較淺的圈;核圓形,染成紫色,最顯著的特點是染色質呈顆粒狀,彼此隔開,隔開處比較透亮,有時在核的周邊有彼此分開的染色質小塊,形成所謂“鐘面”的狀態;核仁較大,藍色。當細胞逐漸成熟,染色質保持其顆粒狀結構,不易形成深染的固縮塊狀物。
引發原因
有時巨幼細胞貧血較輕,巨幼細胞的形態往往不很典型,稱為類巨幼細胞。絕大多數巨幼細胞貧血是由 葉酸、維生素B12缺乏引起的。這是因為維生素B12及葉酸是形成DNA過程中的重要輔酶,一旦缺乏,DNA合成則受阻.致核分裂時間延長,但RNA的合成相對較多,造成核漿發育不平衡,胞核停留於網狀結構,不能固縮、胞體增大。但也有一小部分是例外,如 抗代謝藥物引起的巨幼細胞增生、 紅白血病和 紅血病、 鐵粒幼細胞貧血的巨幼細胞增多、遺傳性乳清酸尿等。不管是哪一種原因引起的,巨幼細胞的形態都是相同的。經過適當的治療,這些巨幼細胞都能很快變成正常的幼稚紅細胞。
另外,因為這種巨幼細胞的形成是DNA合成缺陷的結果,身體多種組織細胞皆受DNA合成缺陷的影響,只是以造血組織最嚴重,特別是紅系細胞。因而粒系細胞和巨核細胞也都有形態上的改變和成熟細胞數量的減少;外周血中,粒細胞和血小板也減少,中、晚幼和桿狀核粒細胞胞體增大,分葉核粒細胞核分葉過多。

