個人簡介
醫生
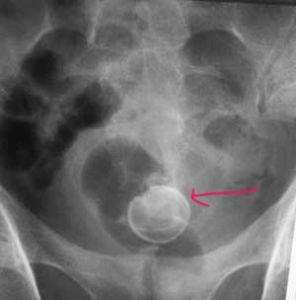
姜洪波,男,副主任醫師,副教授。擅長運用腎鏡、輸尿管鏡及氣壓彈道碎石技術治療泌尿系統結石。
醫生洪波,中國內地演員,曾在電視劇《遠大前程》、《六個陌生人》等中飾演角色。2012年3月因就趙文卓與甄子丹因電影《特殊身份》產生糾紛一事力挺趙文卓而廣受關注。
個人簡介 主要作品 趙文卓風波洪波,中國內地演員,曾在電視劇《遠大前程》《六個陌生人》等中飾演角色。2012年3月因就趙文卓與甄子丹因電影《特殊身份》產生糾紛一事力挺趙文卓而廣受關注。
個人簡介 演藝作品 “特殊身份”風波張洪波是長春理工大學教授、工學博士,研究方向是光功能陶瓷材料。
人物經歷 研究方向 主要貢獻哈爾濱工業大學機電工程學院教授、哈爾濱工業大學機電工程學院博士生導師、德國克勞斯塔爾工業大學(Germany, TU Clausthal)訪問學者、德國...
經歷 學科 研究方向 論著成果《欲魔》是1952年上映的香港電影,由洪波導演。洪波,歐陽莎菲主演。 《欲魔》講述沈煥文因戰事關係,帶大量家財到香港發展。他生活奢華,又從事炒金活動,不...
演職員表 電影劇情 原聲資料 影片製作姜寧,山東省青島市人,1986年9月1日出生,中國足球運動員,場上位置為前鋒。姜寧曾經是青島中能足球俱樂部、廣州恆大足球俱樂部、廣州富力足球俱樂部的球員...
運動生涯 生涯數據 獲獎記錄 社會評價 人物軼事姜嘉俊,1990年1月8日出生於上海市,祖籍江蘇省南通市海門市,是中國職業足球運動員,目前效力於重慶力帆隊。 是上海申花歷史上第一位代表球隊出戰正式比賽...
運動生涯 生涯數據她們二人。結果還被瑟雅打了。事業有成的洪波(子京的親生父親)中年失去了唯一的兒子,情緒一直很低落。偏偏妻子恩智與母親的關係惡劣。這對於洪波...點兒。瑪麗亞因為偶然而結實了洪波的母親毛蘭實。兩人一見如故,便開始喝茶...
劇情簡介 分集劇情 演職員表 角色介紹 音樂原聲