黃體的形成
每個月經周期中卵巢都有一個成熟卵子排出,排卵後,卵泡液流出,卵泡腔內壓下降,卵泡壁塌陷,形成許多皺襞,卵泡壁的卵泡顆粒和內膜細胞向內侵入,周圍有結締組織的卵泡外膜包圍,共同形成黃體。黃體外觀色黃。
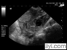
彩超圖示妊娠黃體黃體為排卵後由卵泡迅速轉變成的富有血管的腺體樣結構。如未受精形成的稱月經黃體,如受精則為妊娠黃體。排卵後卵泡壁塌陷,顆粒層向內形成皺襞,伴有卵泡膜內層毛細血管出血,傷口愈後,卵泡腔封閉,腔內充滿漿液性液體及血液,同時基膜崩潰,結締組織和血管隨之長入粒層,在黃體生成素作用下,顆粒細胞和卵泡膜內層細胞分裂增生,細胞成多邊形,胞質內有黃色顆粒和脂滴,呈黃色,故名。黃體細胞以顆粒細胞占多數,細胞大,著色淺,分泌孕酮;泡膜黃體細胞小,大部位於黃體外周,細胞較少,核和質都較黃體細胞深,分泌雌激素。
妊娠黃體形成
妊娠黃體形成排出的卵子受精後,黃體繼續成長為妊娠黃體。黃體產生雌激素和孕激素,以維持妊娠的繼續 。
妊娠黃體在懷孕期有很重要的作用,它能夠控制卵巢減少卵子的排出,進而排除之後的精子進入與卵子結合受精。以保證之前的受精卵正常發育。即便是生育之後也會存在,所以一般情況下,要隔4年才會再次懷孕。
黃體的退化
鏡下黃體黃體存在時間多少,視排出的卵受精與否,若卵子未受精,黃體僅維持二周開始退化,退化時黃體細胞逐漸萎縮變小,周圍結締組織及成纖維細胞侵入黃體,逐漸由結締組織所代替結疤所代替,組織纖維化,外觀色白, 即白體(corpusalbicans);若卵子受精成功並開始妊娠,黃體繼續增長,至妊娠2~3月後慢慢萎縮。
妊娠黃體黃體功能不全
黃體功能不全,指黃體分泌孕激素,促進子宮內膜的生長並維持內膜處於分泌相,當黃體功能不全孕激素分泌減少,可導致胚胎髮育停止,出現流產。

