多極神經元(multipolar neuron)簡介:
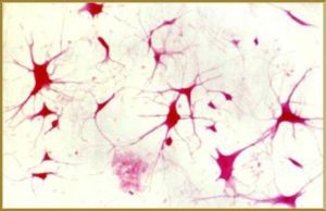
有一個軸突和多個樹突,是人體中數量最多的一種神經元,如脊髓前角運動神經元和大腦皮質的錐體細胞等。
多極神經元詳細介紹
多極神經元又可依軸突的長短和分支情況分為兩型:①高爾基Ⅰ型神經元,其胞體大,軸突長,在行徑途中發出側支,如脊髓前角運動神經元;②高爾基Ⅱ型神經元,其胞體小,軸突短,在胞體附近發出例支,如脊髓后角的小神經元以及大、小腦內的聯合神經元。

多極神經元,有一個軸突和多個樹突,是人體中數量最多的一種神經元,如脊髓前角運動神經元和大腦皮質的錐體細胞等。
有一個軸突和多個樹突,是人體中數量最多的一種神經元,如脊髓前角運動神經元和大腦皮質的錐體細胞等。
多極神經元又可依軸突的長短和分支情況分為兩型:①高爾基Ⅰ型神經元,其胞體大,軸突長,在行徑途中發出側支,如脊髓前角運動神經元;②高爾基Ⅱ型神經元,其胞體小,軸突短,在胞體附近發出例支,如脊髓后角的小神經元以及大、小腦內的聯合神經元。
"研究成果MNC多極腦神經元康復工程,是溫州廣慈醫院在綜合國際國內先進神經內科治療方式、理念,經過10多年的悉心研究
研究成果 權威機構認證神經元(neuron),又名神經細胞(nerve cell),其大小和外觀在中樞神經系統中差異很大。是神經系統的結構與功能單位之一(占了神經系統約10%...
概述 功能 結構 分類 形態學神經元(neuron),又名神經細胞(nerve cell),其大小和外觀在中樞神經系統中差異很大。是神經神經系統的結構與功能單位之一(占了神經系統約1...
概述 功能 結構 分類 形態學神經元,又稱神經組織,是構成神經系統結構和功能的基本單位。神經元是具有長突起的細胞,它由細胞體和細胞突起構成。細胞體位於腦、脊髓和神經節中,細胞突起可延...
說明 神經元分類 細胞結構 組成結構雙極神經元(bipolar neuron)是人體和一些動物體內的神經細胞,並定義為雙過程或類似胳膊擴展。能伸出到細胞體的兩側。與所有神經元一樣,它們也在...
簡介 一般性神經元 理解細胞極性 基本特性 視網膜神經細胞傳出神經元也稱運動神經元(motor neuron)是傳導運動衝動的神經元,多為多極神經元。
傳出神經元概念 傳出神經元補充介紹基本組織人體器官的結構很複雜,但歸納起來都是由上皮組織、結締組織、肌組織和神經組織有機地結合而成。因此,把這四種組織稱為基本組...
上皮組織 結締組織 肌組織 神經組織 相關詞條分為三種:①多極神經元,有一個軸突和多個樹突;②雙極神經元,有兩個突起...多極神經元,胞體主要位於腦、脊髓和植物神經節內,它把神經衝動傳給肌肉或腺體,產生效應。③中間神經元,介於前兩種神經元之間,多為多極神經元。動物越...
神經元和多極神經元三大類。根據神經元的功能,可分為感覺神經元、運動神經元...或周圍的植物神經節內,為多極神經元,它將衝動從中樞傳至肌肉或腺體等效應器...、整合等作用,為多極神經元。2、神經膠質神經膠質neuroglia數目...
概述 基本結構 末梢 系統 病變