功能
右腦儲存的信息量和左腦基本相同
左腦和右腦在形態和結構上是基本相同的,神經細胞數量和突觸接觸點的數量至少在數量級上也是一致的。沒有任何科學實驗顯示右腦和左腦在信息儲存功能上存在巨大的差別,“右腦儲存的信息是左腦的10萬倍”這種言論基本上可以說純屬是無稽之談。
左右腦分工明確是誤區
流傳很廣的“左右腦分工明確”的說法其實可以稱為是對腦科學理解的三大誤區之一。(另兩個誤區是“人的大腦利用率只有不到十分之一”和“腦細胞不能再生”。)
這個傳聞可能是由20世紀60年代“裂腦”實驗引申出來的。當時在治療某些癲癇患者的時候採取了把連線左右腦的胼胝體割裂的方式,從而導致患者左右腦的信息交流中斷。後來這些患者做了一些實驗,通過實驗結果人們引發出左右腦功能上差異的猜想。而在本世紀初,通過核磁共振掃瞄器對人腦的掃描的實驗發現,其實左右腦的功能劃分並非是嚴格的一刀切。人們發現,其實在完成語言,邏輯思維等任務的時候左右腦都會參與,而左腦對細節更加關注,右腦則更看重大局。所以說,其實左右腦的差別,是 處理問題方式上的差別, 而非其功能本身的差別。另外,2013年一篇概括了63篇學術文章,72項試驗的關於創造性的綜述中明確指出, 沒有任何證據顯示創造性與右腦有著什麼特殊關係。
科學界研究表明:研究稱 左右腦分工之說是誤傳。
猶他大學的科學家在分析1000多個大腦後揭穿了一個誤傳,他們沒有找到人們在使用左右腦上有傾向性的證據,因為所有研究對象在整個實驗過程中都平等使用整個大腦。
按傳統印象,你會認為,邏輯性強、有條理和善於分析的人左腦占優勢,而富創造力和藝術型的人右腦占優勢。但這被證明是誤解。
研究報告的主要作者、猶他大學負責功能性磁共振成像神經外科映射服務研究的傑夫·安德森博士說,有一種誤解是,與分析能力相關的一切都限於一側大腦,而與創造力相關的一切都限於另一側。實際上,使人類能夠 既進行創造性又進行分析性思維的是所有腦區域之間的聯繫。
安德森的研究小組研究了年齡在7至29歲之間的研究對象在休息時的大腦掃描結果。他們研究了7000個腦區域的活動和這些區域內部和之間的神經聯繫。他們發現,平均來說,大腦兩側的神經網路和連線基本是一樣的。
安德森博士還說, 偏好使用某一大腦區域而非其他區域來完成某些功能的現象的確存在。科學家稱之為 偏側優勢。例如,對大多數慣用右手的人來說,左腦參與語言(右腦同時也參與)。但這 並不意味著,偉大的作家或者演說家使用左腦比右腦多,或者一側大腦的神經元更多。
研究報告的第一作者、研究生賈里德·尼爾森說:“我們完全沒有看到某些人整個左腦網路聯繫更緊密或者整個右腦網路聯繫更緊密的模式。”
NPTN基因表達
特定基因變異會影響到大腦皮質的厚度,進而對智力造成影響。研究人員對小鼠和人類大腦細胞中的NPTN基因進行了研究。結果發現,NPTN基因在左腦和右腦的活動並不相同, 右腦的 皮質厚度和 NPTN表達情況均要高於左腦,這種非對稱差異使得左腦對NPTN變異的影響更為敏感。研究人員認為,左腦特定區域中NPTN基因功能的退化會導致某些特定的智力差異。
英國倫敦國王學院精神病學研究所的希爾文·德斯威瑞斯博士表示,最新確認的基因變異與突觸可塑性有關,這有助於科學家理解在某些智力障礙形式中,神經層面上到底發生了什麼。她指出,人的智力會受到許多基因以及環境因素的影響,而新確定的基因變異對智力的影響只是很微小的一部分,因而並不能代表“智力基因”的全部,但這一發現仍有助於探明包括精神分裂症、孤獨症等在內的與認知能力受損有關的精神疾病的發病機制。
並不存在優勢右腦
神經學家研究發現, 並不存在優勢右腦或者優勢左腦的情況, 某一側大腦並不能主導或影響個體人格特點。
在兩年的時間裡,研究人員分析了1011個7歲到29歲之間的人在休息時的腦核磁共振成像,並對大腦活動和不同的大腦區域進行了監測和對比。研究結果表明,沒有任何證據表明人們更傾向於使用右腦或者左腦。
研究負責人傑夫安德森博士說:“可以肯定的說,某些大腦功能確實由某一側大腦負責。如左腦傾向於組織語言,而右腦更多的用於控制注意力。但並不存在左腦或者右腦更占優勢的情況。起決定作用的是 大腦活動的多種連線方式。”
心靈感應是虛構
所謂右腦與心靈感應有關是 謠言,科學已經徹底否認了心靈感應,認為它是一種偽科學和迷信。1988年,美國國家科學院公布了一個結論:“經過了130年對心靈學現象的研究,沒有科學的證據能證實其存在。” 迄今為止,整個科學界也從未發現過客觀存在的心靈感應或任何一種被聲稱的超自然力。 2008年,有研究用先進的功能核磁共振(fMRI)進行檢測,也沒有發現“心靈超能力”的存在。
睪丸激素水平
美國神經學家曾在上世紀80年代提出一種理論,認為 睪丸激素水平偏高會使胎兒左腦發育減慢,而通常左撇子人的 右腦比較發達。維也納大學研究人員分析說,睪丸激素水平高低與孕婦懷孕期間日照時間長短有關。日照時間越長,孕婦體內的睪丸激素水平就越高。但這種分析只是奧地利研究人員的“一家之言”。他們承認,關於左撇子的成因,目前科學界看法不一,還需要今後開展更多方位的研究。
大腦已經全部開發
大腦沒有無用的部分。有謠言“人類的大腦只開發了10%,而沒有開發的在 右腦“。中山大學醫學院神經科學研究中心的蔣斌教授介紹道,這一說法的確切來源並不明確,大多數人認為出自美國的威廉·詹姆斯之口。詹姆斯在自己的著作中說過一句,“普通人只發揮了其潛在智慧型的10%。”但結合上下文,他所指的不單是大腦潛能,而是更為模糊 的“潛在的心智慧型量”,至於10%是怎么算出來的,詹姆斯沒有給出實驗依據,至今也沒有科學家去嚴肅驗證這個數字。另一個疑似來源是,上世紀30年代,神 經外科醫生懷爾德·潘菲爾德在研究中的發現,當他用電流刺激該部分大腦時,大腦皮層毫無反應,這即是被認為“未開發的90%部分”。“當然,隨著現代醫學 發展,如今我們明確知道,這些寂靜的區域 其實有其他功能。”
假設人類大腦真的只開發了10%,那剩下的90%都在沉睡嗎?這也是“10%傳說”最經不起推敲的一點。
“我們的大腦充斥著數以百億計的腦細胞,沒有任何一位嚴肅的神經科學家敢斷言,其中某一區域是無用的。”蔣斌說。據介紹,人腦的大部分能量消耗 主要用於數億神經元之間相互聯繫時的快速放電。正是這樣的神經放電和聯繫產生了大腦高級功能。其他的能量則用於控制其他活動——潛意識活動,例如心跳;有 意識的活動,例如開車。
“儘管任何時候大腦的所有區域都不會同時放電,但成像技術表明,大腦和身體肌肉一樣,大部分都是24小時持續活動的。”即使是在睡眠中,某些腦 區(例如控制高級思考和自我認知能力的額皮質,或者幫助人類感知四周的體感區域)都是活躍的,這也是為什麼小孩子經常因為尿床而夢見自己泡在水中。
顯而易見的是,即使是最簡單的行為也會涉及大腦多個部分。比如說,早上起床倒水喝,我們需要走到桌子前,拿起水壺,把水倒進杯子裡,再發出喝水 指令,這些都涉及到如下腦區——枕葉、頂葉、運動感知和感覺運動皮層、基底神經節、小腦和額葉。短短數秒內,一場神經活動的大風暴已經席捲了整個大腦。
但從掃描圖像上看,無論我們從事何種認知操作任務,大腦都只有一小部分閃亮區域被激活,對此,蔣斌認為這容易導致一種誤解——“無論我們進行何 種認知活動,認知系統的很多功能模組都必須協同工作才能完成任務,我們在掃描圖像上看到的閃亮區域,是某項活動的主要負責區域, 大腦的其他區域必定也會參與進來,只是 激活水平不需要主負責區域那么高而已。”打個比方,就像你坐在椅子上,腳部沒有動,但絕不能說你的腳沒有工作,至少腳中的血液仍然在不捨晝夜 地流動著,支撐著生命繼續。
還有一項鐵證:人腦大小是不斷變化的,猿人時期的大腦大概只有三四百克,而現在是一千三四百克。如果不是生活中需要,大腦是不會無端端發展到這么大的。這說明:對於人類整體來說, 只有大腦不夠用,不會有用不完的大腦。
日本自然科學研究機構生理學研究所的科研小組近日在美國科學雜誌上發表論文,稱已證實了人在正常識別他人容貌時,大腦中只有相關區域處於興奮狀態,而與識別容貌無關的區域則處於抑制狀態。該研究有望為治療無法分辨他人面孔的“臉盲症”鋪路。
據科研小組成員松吉介紹,人在識別容貌時, 右腦顳葉中有幾立方毫米的狹小範圍的神經細胞十分活躍。
神經學傳統觀念
神經學傳統觀念認為:大腦左半球占 優勢,是高度發達的半球,具有說、寫、讀、計算以及邏輯思維等功能;而大腦右半球是相對低級的半球,不具有語言功能,只有空間、形狀、色彩等功能。斯佩里採用臨床觀察、動物實驗、神經心理測驗等多種手段,發現大腦右半球也有語言功能、自我意識和社會意識, 兩個半球都具有高級意識功能。斯佩里的“裂腦人”(連線大腦兩半球的胼胝體被切斷的人)實驗表明,左半球是 語言區,而右半球只具有處理 非發生語言的功能。這一觀點是腦科學史上第一次用兩半球分別回答反應的方法。
神經學新發現
研究發現傳統觀念有誤。人類是右腦支配型或者左腦支配型的說法是一種誤解。
人們左腦或者右腦支配的說法源自20世紀60年代Roger Sperry的研究。Sperry對癲癇病人進行了研究,他們的大腦在治療時被切開了腦胼胝體,因此他們的左右大腦不再相互連通。隨後的研究,確定了這些病人的大腦哪一部分與語言、數學、繪畫或者其它功能有關。但是隨後心理學狂熱者藉助這個觀點,提出概念稱: 性格和其它人類特性是由 一側大腦控制另一側大腦 決定的。
Jeff Anderson博士說道,在某些功能使用一個大腦區域優先於另一半大腦的傾向是真實的,這種現象被科學家稱作偏側優勢。這並不意味著,偉大的作家或者演說家更經常使用他們的左側大腦,或者一側大腦的神經細胞更加豐富。Anderson告訴《生命科學》道:“並非左半腦與邏輯性或者推理性的關聯比右半腦更強,創造性也是如此。”事實上, 所有大腦區域的連線才使人類能夠從事創造性或者邏輯性活動。
就語言來說:
1,首先不同的人的語言優勢半腦不同。有的左腦有的右腦,大部分是左腦。
2, 語言還是左側偏側化的,但是右邊也用,右邊乾什麼用的不清楚,只知道也有用,可能和語言控制這些有關。
3,右腦有的時候在補償左腦,更多時候是在添亂,有的時候左腦損傷,抑制對側的腦區功能反而上升。
Anderson表示:神經系統科學領域從未採納“右腦決定性格”這個概念,而且現在我們有證據表明絕對沒有左半腦或者右半腦支配的跡象。
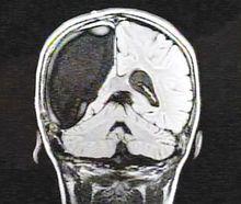
左右腦功能的互補
顯示右腦缺失的醫學掃描照片左右腦具有功能互補關係, 即使切除一側腦體也可以照常生活。
據報導,美國女孩卡梅倫·莫特切除了右腦依然照常生活。她患上拉斯穆森綜合徵,實施了大腦半球切除術。卡梅倫康復得相當順利,只留下輕微後遺症。
美國女孩傑西·霍爾由於罹患罕見的慢性局灶性腦炎,醫生冒險為她實施了大腦半球切除手術,徹底切除了其病變受損的右半腦。這個“半腦女孩”得以康復。據醫學專家分析,小傑西之所以得以康復,是因為她的左腦在術後“ 接管”了通常由右腦控制的工作,並正常發揮其功能。
中國東南大學學生王亦愷在遇車禍後右半邊腦袋幾乎全部損壞,接近於痴呆,嚴重的腦外傷讓他的右側大腦只殘存了四分之一的腦細胞,他最終完成30門課,還拿到英語四級證。
右腦的套用
右腦開發並不比左腦開發重要很多
右腦 潛能沒有傳說中的那么巨大,右腦 開發也並不比左腦開發重要很多。一個人在思考、判斷和語言套用的時候,都是協調了左右腦共同完成的,左右腦還是需要協調平衡發展才是關鍵。 嬰兒時期是大腦發育最迅速的時期,但右腦潛能與開發並不比左腦重要,家長在選擇“早教”方法的時候也應該仔細考察其基本的理念和科學基礎,切勿被華麗的外衣所迷惑。
常常逛博物館,或會讓人更聰明
專家建議,每個月逛兩三次博物館有利於孩子的右腦開發,會讓人變聰明。
來自美國阿肯色大學的研究者發現,參觀博物館會給人帶來一系列認知和情感上的好處,其中包括領會歷史事件、提升社會寬容度和更好地理解美學觀念。這項研究成果能倡導教育工作者和立法者鼓勵孩子多去博物館,可以多樣化的培養孩子。
這項研究成果首次證實了文化藝術活動能提升人們的智力和情感認知。總共有近1.1萬名學生和近500名教師參與了這項研究,其中有大約一半的參與者被隨機抽獎選中參觀了博物館,沒有獲得即時獎勵的參與者作為控制對照組。在研究結束階段,兩組參與者都完成了一系列的調查問卷,用來評價他們所取得的各方面改進。研究結果顯示:參觀博物館與多種認知功能提高之間存在強有力的因果關係,而且這種效應在少數族裔學生中更為明顯。
研究者認為,參觀博物館能讓學生接觸到多樣化的觀念,鼓勵他們從不同的角度來觀察和評判人類歷史和文化活動,從而提高認知和情感功能。
頻繁用智慧型手機或易得數碼痴呆症
據韓國專家透露,過度依賴手機的結果就是會令右腦退化,出現痴呆等症狀,嚴重者可能連自己的電話號碼都記不住,稱為“數碼痴呆症”。
韓國首爾心理醫生金大真表示,由於低頭族過度使用數碼產品,損害大腦將信息轉為長期記憶的功能。使用智慧型手機偏於運用左腦(當然右腦也參與),倘若長期偏用左腦會令右腦退化,造成削弱集中力、記憶廣度,最終連認知能力也會退化,也就是說,過度依賴智慧型手機的結果令右腦退化,出現記憶力、專注力下降等早期痴呆症的跡象,稱為“數碼痴呆症”。
青少年行為過激或和腦發育有關
美國科學家得出結論,認為少年人一些不成熟行為與其大腦前部的某些葉瓣尚未發育完全有關。
大腦發育是一個 從後向前腦細胞連結逐漸消除的過程,這一過程很大程度上重複了人類數百萬年以來的大腦的進化程式。大腦進化最早的部分在人們大腦的發育過程中也是最早成熟的部分。
研究發現,人的大腦最後成熟的部分是 位於大腦前端的突出部,據稱這個部分是傾向於負責推理和解決問題的。腦細胞之間起聯繫作用的物質通常稱為“ 灰白質”,該研究就是觀測人們成長過程中灰白質密度所出現的變化。研究表明,隨著少年人的成長,灰白質的密度反而不斷降低,這說明腦細胞之間的聯繫在不斷減少。這個發現和原來的某些理論不謀而合。有理論稱大腦逐漸成熟的過程中會減少一些神經細胞之間的連結,以便讓剩下的連結得到加強。研究表明:腦灰質以每年0.7%的速度慢慢減少,一直持續到20歲出頭,這樣就像大樹在“修枝剪葉”,許多不需要的腦細胞在此階段快速消失。而另一方面,腦白質卻像樹木的年輪一圈一圈地逐年增厚。腦白質就類似於電線上的絕緣體,能使神經信號的傳輸更為快速和有效。
人腦按照進化可以分為三個部分,即 爬行腦、 哺乳腦和人類最發達的 大腦皮層。其中,爬行腦支配與本能有關的行為;哺乳腦主要是指腦中的邊緣系統,它與人類情緒活動關係密切,是從哺乳動物開始發展起來的;大腦皮層能夠對爬行腦和哺乳腦起到控制作用。在人腦的發育中,大腦皮層按照由後向前———枕葉、顳葉、頂葉和額葉的順序發育。處於大腦最前部的額葉是大腦中最晚發育成熟的部分,它直接關係著人的行為。
報導中提到“控制人們右手運動的 大腦左半球要比右半球 優先發育成熟。這也可解釋,在兒童開始上學的時候,大多數人都是用 右手寫字”。針對這一說法,尹文剛教授介紹,有觀點認為,人在 胚胎的時候,就有使用右手的傾向。也有觀點認為,這是由 基因所決定的, 右手有利於進化等等。至於因為“控制人們右手運動的大腦左半球要比右半球優先發育成熟”一說,只是一個新近的發現,它對豐富科學資料能夠起到一定的作用。“為何大多數人習慣使用右手”,這仍就是一個 謎。
中國科學院心理研究所黃宇霞對此提出了質疑。她表示,並不是“因為腦的這種發育規律,所以少年人會抑鬱,所以大多數人用右手寫字”。它們之間可能有很強的相關關係,但究竟是因果還是果因,或者是某個共同因素的結果的兩個方面,還不能馬上定論,甚至有可能它們有不同的成因, 碰巧這兩個結果同步出現了。她認為,引發心理、行為異常的原因可以有很多,許多來自 後天環境的因素也起著重要作用,而且這些來自環境和生活事件的因素也許會影響到大腦發育。
中國人或比西方人更頻繁使用右腦
中國科學技術大學生命科學學院陳林教授領導的研究小組,研究證明漢語聲調主要靠大腦右半球來分析處理,說漢語的中國人比說英語的西方人更頻繁使用右腦。這一研究結果發表在《美國科學院院刊》上。這項研究成果有助於為右腦損傷或耳聾的中國患者尋求更加有效的診斷和康復手段。
左腦、右腦都參與記憶
專家稱強迫記憶,有可能傷害大腦功能,背誦圓周率並不能提高記憶力。記憶專家解釋記背圓周率,稱這是一種語義記憶。
北京大學心理學教授沈政說,記憶有多種類型,至少有五種:最高級的是情境記憶,就是我們的經歷,譬如某天會朋友的整個情景、事情的經過經歷、個人的經歷;第二種記憶叫做語義記憶,譬如學生在課堂上學到的定理、定律、知識、概念,各種知識的記憶;第三種是工作記憶,這種記憶通常時間比較短;另外,還有兩種無意識記憶,叫做內隱記憶,指人在無意識狀態下,你不覺得你記住了什麼,但有些東西在你腦子裡留下印象的過程,比如一種是指經過反覆訓練之後技巧上的熟練,這種記憶通常和運動技巧、習慣、動作等相關,譬如說織毛衣、騎腳踏車等;還有一種是指知覺的重複出現,譬如說,你在和別人說話,旁邊路過一個人,你並未在意,可你就是會模模糊糊感覺到有人走過,過了一會兒,又有人走過,你同樣也會感覺到。
不同的記憶,腦的部位、功能、網路就不同,所以 不管左腦、右腦都參與記憶,也不管腦的表層、還是深層,也都參與記憶。只不過是 不同的記憶有不同的腦結構,按照那個時間順序,形成一個迴路,完成這種記憶。
說話晚的孩子在說話時或受右腦控制
據土耳其《自由報》網站報導,近日邁爾密爾兒童醫院的腦專家對52個2至8歲的兒童針對他們在成長期間開始說話早晚的問題進行了一系列的研究。
腦專家努朗·阿里特曼和白利·百爾納利通過讓孩子們聽其母親的錄音對他們腦部活動進行檢查發現,52個兒童中35個兒童開始說話的時間是正常的,另外17個兒童開始說話的時間比較晚,並且確定了說話期正常的兒童再說話時是受左腦控制,相反,說話期晚的兒童在說話時是受右腦控制多一點。
慣用左手
更有上進的動力
心理學家認為:慣用左手在右手族占主導地位的世界裡承受更大的壓力, 壓力往往成為上進的動力,這也是慣用左手的人更上進的原因之一。
智商與左右手無關
研究表明 習慣使用左手和右手的人的智商沒有區別。所謂慣用左手的人胼胝體更發達,被證明 沒有任何科學證據。常用的工具都是為右手設計的,慣用左手用起來頗不方便,自然顯得笨拙一些。一個人聰明與否,是否會取得成功,絕不取決於是不是慣用左手或右手。這不僅與先天的素質有關,更多的決定於後天的努力。
並非所有左撇子都是右腦占主導
左腦控制右半邊的身體,右腦控制左半邊的身體。世界上大部分人都是習慣使用右手的,也就是右撇子。左撇子約占總人口數的10%,但並不是所有的左撇子都是右腦占主導的。一項美國的統計研究表明,對於語言功能來說,95%的右撇子都是左腦型的,而只有不到20%的左撇子是右腦型的。千萬別相信那些簡單的看圖或者各種題目的小測試,它們並不能測出一個人是左腦型的還是右腦型的,只有通過複雜的腦掃描實驗才能確定哪個腦占主導。
沒有任何資料顯示愛因斯坦是左撇子。恰恰相反,很多資料照片證明,他是使用右手握筆並寫字的,這表明他其實更有可能是個右撇子。還有傳聞宣稱愛因斯坦的右腦超級發達,這導致他天才的成就。1999年,三位美國科學家在著名醫學雜誌《柳葉刀》上發表了對愛因斯坦大腦切片進行研究的論文。他們的一個重要發現是,愛因斯坦的大腦頂葉部分比一般人對稱,這主要是由於他的左頂葉比常人要大,大小和形態類似於右頂葉。而頂葉這片腦區主管著視覺空間認知、數學能力和運動想像能力,這很有可能就是導致愛因斯坦超凡的邏輯思維和空間認知能力的主要原因。這說明, 愛因斯坦異於常人的主要是左腦, 而不是傳聞中的右腦。
趣聞
說漢語比英語多用右腦
2006年,中國科學技術大學生命科學學院陳林教授領導的研究小組,通過對中國人如何感知漢語聲調的深入研究,證明了在聲音進入耳朵後約200毫秒的早期認知階段,漢語聲調主要靠大腦的右半球來分析處理,就像處理音樂一樣。研究提示,說漢語的中國人比說英語的西方人更頻繁地使用右腦,更應重視開發右腦的潛能。這一研究結果發表在12月19日出版的《美國科學院院刊》上。
據說,人類大腦的左右兩半球在處理外界聲音信號時是有分工的。偶爾左腦在理解語義時稍微占優勢,而右腦在理解音樂時稍微占優勢。但究竟是什麼因素決定了左右腦的分工,卻是一個令學術界長期困惑的難題,並形成了兩個完全不同的假說。聲學假說認為,決定大腦半球優勢的因素是聽覺信號所具有的聲學屬性,與信號的功能無關;功能假說則認為,決定大腦半球優勢的因素是聽覺信號的功能,與信號所具有的聲學屬性無關。
為解決兩個假說之爭,陳林教授等巧妙地利用漢語聲調既類似音樂又同時攜帶語義的特點來研究大腦的早期聽覺認知過程。他們發現,聲學假說在早期的注意前認知階段是成立的,而功能假說則在後期的注意認知階段是成立的。根據實驗結果,他們提出了一個兩級聽覺認知模型,將聲學假說和功能假說統一起來。根據這個模型,在注意前階段,右腦依據聽覺輸入的聲學特性而成為處理漢語聲調的優勢半球;只有到了注意階段,左腦才依據聽覺輸入的語義功能而成為處理漢語聲調的優勢半球。
這項研究成果揭示了左右腦在語言感知中如何分工的機制。
人類進化始於左右腦功能出現差別
據俄羅斯媒體報導,150年前專家學者開始研究人的兩個大腦半球功能的差別,這也就揭開了研究大腦半球不對稱現象的序幕。如今俄羅斯科學院化學物理研究院生物物理學實驗室正在對人的大腦進行深入的研究。
專家認為,人類進化始於大腦半球之間出現功能差別。從進化的先後來講,首先,這一現象發生在魚類身上,而且越是高級的動物,大腦半球之間的功能差異就越大。
大腦半球之間差異的發展在男性與女性之間的體現也是不同的,女性兩個大腦半球的差別相對較小,男性與女性大腦的差別也是進化的結果。生物學家認為,雄性生物的作用在於保衛自己的家庭,應對外來威脅。因此對於雄性生物,特別是男性來說,在應對外來刺激或威脅時,行為選擇的過程是很迫切的,他們必須在很短的時間內做出自己的決定。研究人員認為,大腦半球功能差別與採取決定的過程最佳化有著密切的關係。也就是說,在遇到危險或刺激時,出於保護家庭和子女的考慮,男性的反應就比較快,往往要在瞬間做出決定,這就在很大程度上加快了男性大腦半球功能差別的進化速度。
當然,我們不能僅僅從表面上理解左右腦的區別。人的左右腦之間有幾百萬個信息交流渠道,人做的每一個決定都是 左右腦共同努力的結果。
![右腦[人體器官] 右腦[人體器官]](/img/e/578/nBnauM3X4czM3YTNwEjN2IDN0UTMyITNykTO0EDMwAjMwUzLxYzL3YzLt92YucmbvRWdo5Cd0FmL0E2LvoDc0RHa.jpg)
