病因病理
皮質下動脈硬化性腦病又稱Binswager's病。是一種發生於腦動脈硬化基礎上形成的,在病理上可見腦白質呈斑塊狀或瀰漫性變性,以枕葉和額葉深部白質最嚴重,相應部位的小動脈管壁增厚,管腔變細,引起局灶性梗塞。
臨床表現
臨床上以進行性痴呆為特徵。多隱漸起病,呈進行性記憶障礙,嚴重者精神衰退、言語不清,反覆發生的神經系統局灶體徵,如偏癱、失語、偏盲等。病情可緩解和反覆加重。多起病於40歲以後,大多在50歲或更大一些年齡。
影像學表現
1.CT表現:
動脈硬化性腦病主要為腦白質的斑片狀低密度,以側腦室周圍,特別是在側腦室額角周圍最明顯,其次好發於中央半卵圓區腦白質。病灶常為兩側對稱性,其密度降低不如腦梗塞明顯,邊界不清。基底節一內囊區、丘腦、腦幹常伴發多少不等的腔隙性梗塞灶。腦室系統擴大,腦溝、腦池增寬,提示瀰漫性腦萎縮改變。
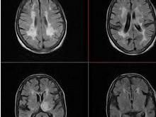
2.MR表現:
可更好地顯示皮質下動脈硬化性腦病,主要在T2加權圖像上表現為兩側側腦室旁、中央半卵圓區白質內較廣泛班片狀及點狀高信號,同時伴基底節-內囊區、腦幹的斑點狀高信號。在 T1加權圖像上以上病灶多不明顯,表現為等信號。
鑑別診斷
需與腦白質小梗塞灶鑑別,根據皮質下動脈硬化性腦病好發部位及兩側對稱性改變不難鑑別。
相關疾病
動脈硬化性腦梗塞,又稱動脈硬化血栓形成性腦梗塞。是腦部動脈粥樣硬化和血栓形成,使腦血管管腔狹窄或閉塞,導致急性腦供血不足,引起局部腦組織缺血性壞死。患者可出現偏癱、失語等腦局灶性損害症狀,屬缺血性腦血管病。以老年人多見。高脂飲食,糖尿病,吸菸等患者中發病率較高。
引起原因
引起腦血管阻塞的原因主要有兩種:一是腦血栓形成,它是由於腦血管本身的病變,常因腦動脈粥樣硬化使管腔內膜粗糙,管腔狹窄,在某些條件下,如血壓降低,血流緩慢,血液粘稠度增高,血小板等凝血因子,在血管內凝聚成塊,形成腦血栓。另一種是腦栓塞,這是身體其他部位的血栓脫落,隨血流到腦堵塞血管,引起腦栓塞。這種栓子可來自風濕性心臟病的贅生物,也可能是骨折時的脂肪栓子,或空氣進入血液引起氣栓,或腫瘤細胞脫落形成腫瘤栓塞等等。
腦血栓形成所致的腦梗塞,起病緩慢,常常在睡眠中或安靜休息時發生,這可能與休息時血壓較低,血流緩慢有關。從發病到病情發展至頂峰,常需數十分鐘甚至數天時間。而腦栓塞引起的腦梗塞,起病多較急驟,常在數秒鐘或數分鐘達高峰。

