藥理作用
亞胺培南對革蘭陽性、陰性的需氧和厭氧菌具有抗菌作用。肺炎鏈球菌、化膿性鏈球菌、金黃色葡萄球菌、大腸桿菌、克雷白桿菌、不動桿菌部分菌株、脆弱擬桿菌及其他擬桿菌、消化球菌和消化鏈球菌的部分菌株對本品甚敏感。糞鏈球菌、表皮鏈球菌、流感嗜血桿菌、奇異變形桿菌、沙雷桿菌、產氣桿菌、陰溝腸桿菌、綠膿桿菌、難辨梭菌等對本品也相當敏感。本品有較好的耐酶性能,與其他β-內醯胺類藥物間較少出現交叉耐藥性。
適應症
用於敏感菌引起的敗血症、感染性心內膜炎、骨髓炎、關節炎、
不良反應皮疹外傷繼發感染、呼吸道感染、膿胸、肝膽感染、腹膜炎、前列腺炎、女性生殖器官感染、角膜潰瘍、全眼球炎、皮膚和軟組織感染等。
用量用法
靜滴或肌註:據病情以亞胺硫黴素計每次0.25~1g,每日2~4次,對中度感染每次可用1g,每日2次。
注意事項
可有噁心、嘔吐、腹瀉、皮疹、發熱、瘙癢、低血壓、頭暈、嗜睡、肝腎功能異常、血象改變、靜脈炎和血栓性靜脈炎、注射部位疼痛等不良反應。罕見有頭痛、眩暈、肌痙攣、心悸、心動過速、胸部不適、通氣困難、耳鳴、聽覺暫時性喪失胃灼熱、面部水腫、潮紅及多數關節痛,無力、念珠菌病等。對本品過敏者禁用。12歲以前忌用。孕婦、哺乳婦女慎用。
不良反應
亞胺培南是一廣譜β-內醯胺抗生素,通過抑制細菌細胞壁的合成而殺
念珠菌滅革蘭氏陽性菌、陰性菌及厭氧菌,其中包括對其它抗生素不敏感或易耐藥的綠膿桿菌、金黃色葡萄球菌、糞鏈球菌和脆弱擬桿菌。由於亞胺培南可在腎內被腎肽酶破壞,臨床套用製劑中加入了西拉司丁鈉,它為一特異性酶抑制劑,可阻斷亞胺培南在腎內的代謝,以保證藥物的有效性。本品可引起注射部位疼痛、血栓性靜脈炎等,可對症處理,並注意改換注射部位以防止發生。超劑量使用本品可能出現神經系統毒性反應,如肌肉痙攣、精神錯亂或癲癇發作,尤其是腎功能損害嚴重又有癲癇病史的病人。本品還可引起噁心、嘔吐、腹瀉等胃腸道症狀,也偶引起偽膜性腸炎。血液系統方面的不良反應有嗜酸細胞增多,白細胞減少、中性細胞減少,粒細胞缺少、血小板減少或增多、血紅蛋白減少等,並可致抗人球蛋白(Coombs)試驗陽性。對肝臟的不良反應有氨基轉移酶、血膽紅素或鹼性磷酸酶的升高。腎功能方面則有血肌酐和血尿素氮的升高。但兒童用本藥時常可發現紅色尿,這是由藥物引起變色,並非血尿。本品也可致過敏反應,如皮膚瘙癢、皮疹、蕁麻疹、藥熱等。因本品與β-內醯胺類抗生素有局部交叉過敏反應,故對該類藥過敏者禁用。孕婦慎用,哺乳期婦女及3個月以內嬰兒慎用。
副反應案例
致二重感染
癲癇腦部特徵泰能是目前臨床套用的一種廣譜高效抗生素,為亞胺培南和西司他丁1:1的混合劑。其特點是殺菌譜較其他抗生素廣,可殺滅絕大部分革蘭陽性及陰性的需氧或厭氧病原菌。在許多嚴重感染、複數菌感染以及未確定病原菌的危重感染等救治中,具有良好的治療效果。隨著泰能在臨床上套用增多,發現其在治療過程中易發生“二重感染”。臨床報導套用泰能治療63名危重感染患者,所有患者的原發性感染均有所控制或治癒,但在用藥過程中18名患者出現腹瀉,實驗室檢查證實為“二重感染”所致念珠菌腸炎。“二重感染”亦稱菌群交替症,是指長期或大量套用廣譜抗生素,人體內敏感菌被抑制,而未被抑制的細菌及真菌乘機大量繁殖,引起菌群失調而致病。多在用藥20天后發生,以白色念珠菌、耐藥金黃色葡萄球菌引起的口腔(鵝口瘡)、呼吸道(肺炎、支氣管炎)感染和敗血症最為多見。治療較為困難,死亡率高。由於個體差異,並不是每個患者使用泰能都會引起腸道菌群失調。但臨床用藥過程中泰能易致“二重感染”現象應引起重視,如治療感染性疾病而需使用泰能這類超廣譜、強效抗菌藥物時,應該定期給病人作大便化驗,如大腸桿菌計數等,了解腸道菌群變化情況。如已出現菌群失調則應及時採取相應措施,以確保臨床用藥安全有效。
致精神障礙
病例資料
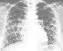
男,59歲。因慢性喘息性支氣管炎病史20餘年,發作半月而入院。患者半月前因受涼後咳嗽、咳痰及喘息症狀加重,在單位衛生所給予抗感染及對症治療,先後套用頭孢唑啉鈉、舒巴坦鈉/頭孢哌酮鈉等藥物治療,療效不佳,轉入我院。查體:體溫36.8℃,脈搏120/min,血壓150/90mmHg,呼吸26/min。口唇顏面明顯發紺,四肢、顏面水腫。桶狀胸,雙肺叩診呈過清音,聽診可聞及廣泛乾
藥物檢測性濕囉音,心率120/min,可聞及早搏;肝肋下2cm。X線胸片示雙肺透光度增強,肋膈角增寬,肺紋理增重,右下肺高密度片狀陰影,右肋膈角不清;右下肺動脈17mm,肺動脈段突出。血常規:紅細胞4.24×1012/L,白細胞12.7×109/L,中性粒細胞0.88;血氣分析:pH7.364,PO233mmHg,PCO262mmHg,HCO3-34.1mmol/L。入院診斷:慢性喘息型支氣管炎急性發作期;右下肺炎;Ⅱ型呼吸衰竭;慢性肺原性心臟病,心功能Ⅳ級。 入院後痰培養有綠膿桿菌生長,藥敏試驗顯示其對β內醯胺類藥物、氨基甙類藥物及喹諾酮類藥物均耐藥,但對亞胺培南-西拉司丁鈉(泰能)敏感。故給予泰能0.5g,每8小時一次靜脈滴注,連續使用4次,2天內共用泰能2.0g。用藥第2天,距第4次用藥5小時後,患者開始出現意識模糊、呼之不應或答不切題、幻聽幻視、狂躁不安、譫語、手足亂動等嚴重精神症狀,為防止患者的自我傷害行為,不得已使用繃帶將其四肢固定。經分析後認為上述臨床表現可能是泰能引起的嚴重精神障礙,立即停用泰能,經對症治療後患者進入睡眠,醒後症狀逐漸減輕,約24小時後基本恢復正常。
專家討論
泰能(Tienam)是亞胺培南-西拉司丁鈉(imipenem/cilastatinsodium)的等比例混合製劑。亞胺培南又稱亞胺硫黴素,是β-內醯胺酶抑制劑,在目前已上市的抗菌藥物中,其殺菌譜最為廣泛,能夠穿過細菌細胞外膜;西拉司丁是腎去氫肽酶抑制劑,可以阻斷亞胺培南在腎臟的代謝,增加泌尿道中原形藥物濃度,並消除亞胺培南單獨使用時可能對腎臟產生的毒害。兩者等比例合用能為人體很好的耐受,因此泰能成為臨床常用的高效抗菌藥物之一,具有非常廣譜的抗菌作用。該藥既往在臨床套用中偶可見皮疹、瘙癢、蕁麻疹、噁心、嘔吐、嗜酸細胞增多症等不良反應,大多輕微而短暫。本例發生嚴重精神障礙,實屬少見,可能屬於蓄積潛伏性中毒。因此提醒廣大醫務工作者在用泰能3天內應密切觀察用藥反應,一旦出現嚴重不良反應須立即停藥,並針對病情積極治療。
致癲癇發作1例
泰能(TIENAM)是由亞胺培南(imipenem)和西司他丁鈉鹽(cilastatinsodium)按1∶1製成的一種複方製劑,是一種高效、廣譜抗生素。亞胺培南是一新型廣譜β-內醯胺碳青黴烯類抗生素,為硫黴素的脒基衍生物,抗菌譜極廣,抗菌活性甚強,通過特異性地抑制細菌細胞壁的合成而顯示高效廣譜的抗菌活性,對革蘭氏陽性菌和革蘭氏陰性菌、需氧菌和厭氧菌,以及多重耐藥或產生β-內醯胺酶的
亞胺培南-西拉司丁鈉細菌均有良好作用。西司他丁鈉鹽為一種特性酶抑制劑,它阻斷亞胺培南在腎臟內的代謝,繼而增加泌尿道中未經改變的亞胺培的濃度。文獻報導臨床上亞胺培南與等量西司他丁合用,能為人體很好耐受,通過大量病人的套用,證明本品為治療各種感染的有效藥物。報導稱泰能的耐受性與頭孢唑啉、噻孢黴素和頭孢氨噻一樣,引起的毒副作用大多輕微而短暫。常見的副作用有:藥疹、過敏、胃腸道反應、肝腎功能異常及精神/神經系統等不良反應。我們遇到1例使用泰能後引起癲癇發作,現報告如下。患者女,63歲。因左腎周膿腫,伴輸尿管結石於1999年7月20日入院。體格檢查:神志清楚,T38.7℃,P89次/min,BP13.3/10.3Kpa,R25次/min,既往無藥物不良反應和癲癇病史。連續3d靜滴10%葡萄糖250ml,美洛西林鈉4g,效果不明顯,後改用泰能(默沙東公司,批號:980730)2g,0.9%氯化鈉200ml,靜脈滴注後,患者出現陣發性全身抽搐、意識喪失等癲癇發作症狀。經停藥,並在發作時給予安定10mg靜注,苯巴比妥鈉0.1mg每日3次肌注等治療。3d後癲癇發作得以控制,症狀消失。
專家討論
亞胺培南是一種新型廣譜β-內醯胺碳青黴烯類抗生素,能耐受幾乎所有主要類型的β-內醯胺酶,與細菌的大多數青黴素結合蛋白(PBPs)有較強結合力,對細菌細胞壁外膜有較好的穿透力,且體內分布廣,不良反應少,但亞胺培南單獨使用能被腎臟脫氫肽酶Ⅰ(DHP-Ⅰ)代謝滅活,代謝產物對
亞胺培南-西拉司丁鈉某些動物產生腎毒性。西司他丁是DHP-Ⅰ抑制劑,其本身不具有抗菌活性,它與DHP-Ⅰ的結合力比亞胺培南與DHP-Ⅰ的結合力強約三萬倍。其通過阻礙腎臟脫氫肽酶Ⅰ的作用,而阻斷亞胺培南在腎臟的代謝,增加了亞胺培南在體內的濃度。泰能(亞胺培南-西司他丁鈉鹽)靜脈滴注製劑的推薦劑量,以亞胺培南的使用量表示,資料顯示當劑量較大(大於4g)時可產生中樞神經系統的副作用,如肌肉陣攣,神經錯亂或癲癇發作等。發生率為0.3%~32%不等。雖然該患者用藥劑量未超過正常劑量範圍,但因病人患有左腎周膿腫伴輸尿管結石也會影響藥物從腎臟排泄,加之該病人為60歲以上的女性患者,我們分析:此抗生素在病人體內過程中的改變,尤其是藥物在體內清除的減少,血藥濃度的增加,是造成其在體內蓄積而誘發癲癇的原因。同時,也反應出腎功能不全的病人對亞胺培南毒副作用耐受力明顯下降。
因此,我們認為對腎功能不全和老年患者的用藥劑量應相應減低並適當延長給藥間隔時間,但首次負荷量不應減低過多。真正有效的方法是根據血藥濃度監測結果制訂個體化給藥方案,尤其在腎功能減退並伴發嚴重感染需大劑量套用抗生素時尤為重要。
聯合用藥分析
藥效學及藥物經濟學對比分析
美洛培南和亞胺培南均為碳青黴烯類抗生素,抗菌譜廣,對革蘭氏陽性菌和陰性菌及厭氧菌均有作用美洛培南對B2內醯胺酶,人腎臟脫氫肽酶21高度穩定,故可單獨套用;亞胺培南則易被腎臟脫氫肽酶21水解失活,故需與脫氫肽酶抑制劑西司他丁組成複方製劑(泰能)套用.美洛培南的單價高於泰能,使其臨床套用受到一定限制.為尋找臨床科學合理選用抗生素的理論依據,本文對美洛培南和泰能治療下呼吸道細菌感染性疾病的藥效學和藥物經濟學進行了綜合評價.報告如下。
資料與方法
臨床資料急性下呼吸道感染性疾病患者共70例,試驗前48小時內未接受其它抗生素治療.對美洛培南及其他B2內醯胺類抗生素過敏,嚴重腎功能損害,孕婦及授乳婦女,癲癇或有驚厥發作史及中樞神經系統功能障礙患者除外.入選病例隨機分為兩組各35例.美洛培南組男15例,女20例,平均年齡48124±1
亞胺培南-西拉司丁鈉5166歲,平均體重64135±12128kg.病情分級為輕5例,中18例,重12例.泰能組男16例,女19例,平均年齡47176±14164風,平均體重63187±11186kg.病情分級為輕6例,中18例,重11例;兩組比較無差異。
研究方法
1、治療方案:美洛培南組用美洛培南500mg次或1g次,溶於019%鹽水100ml,靜滴30分鐘,每日2次.泰能組給泰能500mg次,或1g次,溶於019%鹽水100ml,靜滴30分鐘,每日2次.療程均為7~14天。
2、療效評價:觀察記錄患者症狀和體徵,試驗前後分別進行血生化,血尿常規,胸部X線檢查,以及痰細菌培養和體外藥敏試驗(用紙片擴散法).根據衛生部抗感染藥物療效判定指標將臨床療效分為四級,1級痊癒(症狀,體徵,實驗室檢查及病原菌檢查四項均恢復正常),2級顯效(治療後病情明顯好轉,但其中一項未完全恢復正常),3級好轉(病情有好轉,但達不到顯效標準),4級無效(用藥72小時以上,病情無改善或加重).根據痊癒和顯效數計算有效率.細菌學按病原菌清除,部分清除,未清除,替換和再感染五級評定.1級為清除(治療結束後第一天所取標本中沒有致病菌),2級為部分清除(在原有多種致病菌中有一種已被清除),3級為未清除(原有致病菌仍存在),4級為替換(在治療期或治療結束後第一天,分離到一種新的致病菌,但沒有任何臨床症狀,也不需要進行治療),5級為再感染(治療結束後第一天,分離到一種新的致病菌,並出現感染症狀和體徵,需給予治療).根據症狀體徵及試驗開始和結束時的實驗室檢查結果,綜合評估,確定不良反應的發生是否與所用藥物有關。
3、成本測算:藥物治療總成本=直接成本+間接成本,直接成本=治療成本+治療不良反應成本,治療成本=病房成本+各項檢查治療成本+注射成本+藥品成本,病房成本=床日成本×床日數,治療不良反應成本為治療不良反應發生所需要的所有成本,包括因治療不良反應所需要額外住院的成本和所需使用藥物和檢查的成本,藥品成本=用藥數量×藥品批發價×藥品加成指數,藥品加成指數=(藥房全年藥品支出數+藥房直接成本+藥房間接成本)藥房全年藥品支出數×100%.間接成本主要指患者損失的工資,按人均月工資1000元計算。
4、統計分析方法:所有臨床資料包括年齡,性別,體重,病情程度,用藥量,療程等參數統計分析證實有可比性後,對兩組臨床療效,細菌學療效,不良反應以及藥物經濟學進行統計比較.藥效學評價經V2分析比較效果間,細菌清除率以及不良反應發生率是否存在顯著性差異;藥物經濟學評價採用成本效果分析法,經非參數檢驗分析比較兩者間是否存在顯著性差異。
結果
臨床療效美洛培南組痊癒21例,顯效10例,進步4例,有效率為8816%.平均住院天數818±116天.泰能組痊癒17例,顯效11例,進步7例,有效率80%.平均住院天數912±119天.兩組臨床有效率無顯著性差異(V2=11507,P>0105).212細菌清除率美洛培南組治療前細菌培養陽性32例(陽性率為9114%),治療後27例清除,5例未清除,細菌清除率為8414%.泰能組治療前細菌培養陽性30例(陽性率為8517%),治療後25例清除,1例替換,1例部分清除,3例未清除,細菌清除率為8313%.兩組細菌清除率無明顯差異(V2=01012,P>0105)。
不良反應試驗結束後對臨床不良反應與化驗異常按與藥物有關,很可能有關,可能與藥物有關,可能與藥物無關,與藥物無關五級評定臨床反應及化驗異常與試驗藥物之間的關係,前三者計為不良反應,統計不良反應發生率.美洛培南組皮疹1例,ALT升高1例,不良反應發生率為517%.泰能組噁心1例,ALT+AST升高1例,頭痛1例,不良反應發生率為8157%.兩組比較無差異(V2=0118,P>0105)。
藥物經濟學由於美洛培南與泰能在臨床療效和不良反應方面均無顯著性差異,因而可以用最小成本分析法進行經濟學分析.美洛培南組總治療成本為570318±985160元,泰能組為5660158±1277144元.非參數檢驗顯示美洛培南組和泰能組的治療成本基本相同(P>0105)。
討論
美洛培南與泰能抗菌譜相似,但穩定性優於泰能,對大腸桿菌K212,流感桿菌的細胞外膜有較強的穿透力[5,6]。由於它可與B2內醯胺酶形成穩定的B2內醯胺酶2美洛培南醯基複合物,因此對絕大多數B2內醯胺酶穩定。美洛培南對人類腎臟脫氫肽酶21穩定,為泰能的4倍,故可單獨用於治療嚴重感染。本研究結果顯示,美洛培南與泰能治療下呼吸道感染的臨床療效,細菌清除率不良反就發生率及均無顯著性差異。儘管美洛培南單價比泰能高,但藥物經濟學評價結果證明兩者無顯著性差異,表明兩種藥物具有相同的使用價值。
藥物經濟學評價有助於全面了解藥物治療效果與成本之間的關係,有助於臨床合理選擇藥物。藥物的價格,患者住院治療時間,藥物不良反應的發生和嚴重程度,治療藥物監測,實驗室檢查等多種因素決定治療成本,涉及藥效學,安全性和藥物經濟學等內容.藥物經濟學評價彌補了以往藥物治療方案僅評價藥效學和安全性的不足和局限性,以及醫生和患者僅依據藥品單價來評價藥品價值的缺陷,使醫生在關注藥物的有效性和安全性的同時,也關注治療成本這一全社會都關注的熱點問題.藥物經濟學評價可使藥物治療更合理,更科學。
藥物規格
粉針劑:分別含等量的亞胺硫黴素、西拉司丁,0.25g、0.5g、1g。
![亞胺培南-西拉司丁鈉[亞胺培南-西拉司丁鈉] 亞胺培南-西拉司丁鈉[亞胺培南-西拉司丁鈉]](/img/d/fcd/nBnauM3XxcjN5gTOwUTOxUTN1UTM1QDN5MjM5ADMwAjMwUzL1kzLxEzLt92YucmbvRWdo5Cd0FmLxE2LvoDc0RHa.jpg)
