駝峰性腎小球腎炎疾病症狀
發病前1~3周常有上呼吸道炎症,如扁桃體炎 、咽峽炎,以及皮膚感染如丹毒 、膿皮病等鏈球菌感染史,後者潛伏期較長,可2~4周,然後突然起病,也有在感染 後數天即發病者。以水腫 、 血尿和蛋白尿最為多見,小兒有時在出現頭痛 、 噁心 、 嘔吐 、 抽搐 、 氣急 、 心悸 等症狀時始被發現。病情輕重不一,輕者可毫無症狀,僅尿常規略有異常,作腎活組織檢查時被發現有典型的 急性腎小球腎炎表現,有人稱之為“亞臨床型急性腎小球腎炎 ”。約有3%~5%的病例病情甚重,可表現為尿閉 ,甚至發展為急性腎功能衰竭 ,為重型急性腎小球腎炎 ,此型腎小球腎炎 如以急性血管炎症及細胞浸潤為主者,多數仍能康復。
常見症狀水腫
常在清晨起床時眼瞼水腫 ,此與平臥位置及該處組織鬆弛有關。下肢及陰囊部也較顯著,嚴重時尚可有漿膜腔滲液,以胸膜腔較多。引起水腫的原因主要由於腎小球毛細血管病變以及血管外的壓迫,使腎血流量減少,發生濾過障礙,加之腎小管功能相對正常,以致液體回吸收相對增多。此外,少尿時攝入過量鈉鹽及水分常使水腫加劇。鈉和水的瀦留使細胞外和血管內容量擴張。部分病例的水腫與心力衰竭有關。一般水腫持續約1~2周即開始消退,重者歷時較長,可達3~4周。
高血壓
程度不一,一般為輕度或中度,成人多在20.0~24.0/12.0~13.3k Pa (150~180/90~100m mH g)上下,經常有波動,可能與血管痙攣程度有關;少數較嚴重,可發展為 高血壓危象 。 高血壓與水腫持續時間不完全一致,多數在2周左右趨於正常,小兒較成人為速;有時高血壓可持續很久,是轉變為慢性的先兆。
尿異常
1.少尿或 無尿 尿量在 水腫 時減少,一日尿量常在400~700ml上下,持續1~2周后逐漸增加,少尿時尿比重稍增高。在恢復期每天尿量可達2000ml以上。少數病例尿量明顯減少,少於300ml,以至 無尿 ,為嚴重表現。
2. 血尿 幾乎每例都有,但輕重不等,嚴重時為全 血尿 ,大多呈渾濁咖啡色。很可能是由於紅細胞穿過受損的腎小球和/或腎小管周圍的毛細血管壁移行至腎單位。 肉眼血尿 持續時間不長,大多數天后轉為鏡下 血尿 ,此後可持續很久,但一般在6個月以 內消 失,也有持續2年才完全恢復。
3. 蛋白尿 陽性率達95%以上,常為輕、中等度 蛋白尿 ,大量者較少見。 蛋白尿 或為毛細血管壁陰離子層丟失的結果即電 荷 選擇性缺如,或為腎小球毛細血管的孔徑增大,而使血漿中大分子蛋白經腎小球濾過膜漏出。一般病後2~3周尿蛋白轉為少量或微量,2~3個月多消失,成人患者消失較慢。持續性 蛋白尿 是轉為慢性趨向的表現。
4.尿沉渣 早期除有多量紅細胞外,白細胞也常增加,上皮細胞及各種管型也常見。管型中以透明管型及顆粒管型最多見,紅細胞管型的出現表示病情的活動性。
5.尿中纖維蛋白降解產物(FDP)和C3含量常增高,尤其在利尿期。
疾病病理
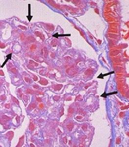
急性腎小球腎炎的病理變化隨病程及病變的輕重而有所不同,輕者腎臟活組織檢查僅見腎小球毛細血管充血,內皮細胞和系膜細胞輕度增殖,腎小球基底膜上免疫複合物沉積不顯著,在電鏡下無緻密物沉著。典型病例在光學顯微鏡下可見瀰漫性腎小球毛細血管內皮細胞增殖、腫脹,使毛細血管管腔發生程度不等的阻塞。系膜細胞也增殖腫脹,伴中性及嗜酸粒細胞、單核細胞浸潤,纖維蛋白沉積,腎小球毛細血管內血流受到障礙,引起缺血,使腎小球濾過率降低。上述變化一般在7~10日左右最明顯,少數嚴重病例腎小球囊上皮細胞也有增殖,形成新月體,囊腔內可有大量紅細胞。巨噬細胞的增殖也可形成新月體。腎小球基底膜一般正常,但在電鏡下則可見基底膜上皮側有呈“駝峰”樣的高密度沉積物,在基底膜內側也可有不規則沉積物,基底膜密度有時不勻,部分可變薄、斷裂,上皮細胞的足突有融合現象。免疫螢光檢查可見C3及IgG在“駝峰”中存在,並沿毛細血管呈顆粒樣沉積,腎小管細胞發生混濁腫脹,管腔中有紅細胞及白細胞管型,腎間質有水腫。大部分患者恢復較快,上述變化在短期內可完全消失,少數患者腎小球毛細血管蒂部間質細胞增殖及沉積物消失需歷時數月或更長,少數患者病變繼續發展,腎小球囊上皮細胞增殖較為明顯,並可與腎小球毛細血管叢粘連,局部形成新月體,巨噬細胞增殖也可形成新月體,逐漸轉入慢性。在嚴重的病例,進球小動脈及腎小球毛細血管可發生纖維素樣壞死及血栓形成,或上皮細胞和巨噬細胞顯著增殖,可轉變為新月體性腎炎,短期導致腎功能衰竭。
診斷鑑別
典型病例於咽峽部、皮膚等處鏈球菌感染後發生水腫、血尿、蛋白尿等症狀,診斷多無困難。一般鏈球菌感染後急性腎小球腎炎的診斷至少以下列三項特徵中的兩項為依據:
(1)在咽部或皮膚病變部位檢出可致腎炎的M蛋白型β溶血性鏈球菌A組;
(2)對鏈球菌胞外酶的免疫反應-抗鏈球菌溶血素“O”(ASO)、抗鏈球菌激酶(ASK)、抗脫氧核糖核酸酶B(ADNAaseB)、抗輔酶Ⅰ酶(ANADase)、抗透明質酸酶(AH),有一項或多項呈陽性,咽部感染後ASO增高,皮膚感染後AH、ADNAase和ANADase反應陽性;
(3)C3血清濃度短暫下降,腎炎症狀出現後8周內恢復正常。症狀不明顯者必須詳細檢查,特別應反覆檢查尿常規方能確診。
治療用藥
青黴素 ; 林可黴素 ; 紅黴素 ; 腎炎 康膠囊
