症狀
一些急慢性病及長期消化不良等都可造成臉面生長不正常,如佝僂病致方顱現象外,頜臉部的畸形也很顯然。腦垂體性龐大症表如今臉面畸形——前額、顴骨、下頜均顯前突。睡覺打鼾,嘴唇很厚,面部的中間變長,鼻根下陷,上頜牙弓變小,牙弓前突等
門牙前突也有人稱為齙牙,門牙前突閉不上嘴,給人的感覺就是開唇露齒,有扒牙,上前牙前突,下頜後縮的症狀,臨床稱為前突畸形。
原因
口呼吸習慣。由於口呼吸可以使鼻腔,口腔,唇,頰及升降頜肌肉等多種功能失常,最終造成上頜門牙前突,下頜後縮。以此類兒童,可檢查鼻腔是否有疾病,只有治癒了有關疾病,改變了口呼吸習慣,才能及時糾正剛開始形成的畸形,對錯已形成無法自行調整者,需進行正畸治療。
唇習慣。吮吸下唇或咬下唇可增加上頜前牙向前的作用力,同時抑制了下牙弓的向前生長而形成下頜後縮,久之可能出現上下門牙前後向關係的失調。另一方面,上牙弓的向前生長和上門牙的過度唇向移位,破壞了正常的唇齒關係,使唇功能失調,上唇過短而閉不上嘴。對此類兒童,早期可以說服或下唇塗些苦味劑來糾正,對已形成習慣不能見效的兒童,需通過正畸治療來糾正唇習慣或矯正錯畸形。
咬拇指或咬物習慣。由於拇指、物品經常被咬於上下門牙之間,又有前後向用力的習慣,久之下門牙會向前、下門牙會向後移動,最終形成門牙前突,妨礙口辱閉合。對於這些兒童,早期可以說服或在拇指上塗些苦味劑來糾正不良習慣,對畸形形成不能自行調整者,可進行正畸治療。
遺傳因素。有些兒童雖無不良習慣,但由於遺傳因素,出現門牙前突,這就需要通過正畸治療來改變門牙的前突
門牙前突的危害
1、影響面容美觀。牙齒不整齊會嚴重影響一個人的容貌、氣質,而且對唇型、臉型也會產生影響,並且牙齒不整齊也會對一個人的自信產生一定的影響,說話遮遮掩掩。
2、在牙齒不整齊的情況下,牙面凹凸不平、牙與牙之間會產生不良接觸關係,形成了不易清潔區,同時也會導致牙菌斑、食物殘渣,從而導致牙齦炎、牙結石、牙面色素沉著、口臭等口腔問題也會 隨之而來。牙齒不整齊,如果不及時矯正,還會影響到其他牙齒。
3、影響口腔的健康。門牙前突由於不易自潔而好發齲病及牙齦牙周炎症,同時常因牙齒錯位而造成牙周損害,有時候還會影響發音。
4、影響口腔功能:嚴重的門牙前突可以影響口腔正常功能,如前牙開頜造成發音的異常;嚴重下頜後縮則影響正常呼吸
5、影響心理健康:正如我們希望得到周圍的人喜歡、尊重和有修養一樣,注視一個人的身體外觀是人普遍的特性。如果對牙齒外觀形態不滿意,個別患者可能通過對社會消極反應,或通過損害自己的自尊心來安慰自己。
治療
(1)傳統矯正治療:傳統牙頜畸形矯正器是在牙齒上粘結稱為托槽的小鐵片,將矯正弓絲結紮上去,使牙齒髮生移動,達到矯正的目的。但由於牙齒上面有很多矯正裝置,給人“鐵嘴鋼牙”的感覺。同時,如果口腔衛生維護不好,可能造成牙齦炎症、牙齒脫礦變色等口腔損害,從而使不少患者,特別是成人患者望“矯正”而生畏。
(2)美容冠矯正治療:通過美容冠美齒技術可以達到牙齒修復完美!美容冠突破傳統正畸手術治療,不拔牙無需再戴2-3年牙套。採用3D數碼定位技術,結合臉型、膚色設計美牙方案,矯正後牙齒堅固、美觀大方。前沿美牙技術,無痛微創,即做即走,美牙過程不影響正常飲食,快速恢復,不耽誤工作學習
(3)種植修復,牙齒完整、牙周情況不是太差的門牙前突病例,一般不會考慮種植,但如果是牙周病非常嚴重,已經出現了明顯鬆動的,種植牙則是最佳的解決辦法。通過拔除鬆動且唇傾的前牙,植入種植體,上部修復以美觀逼真的全瓷牙,可以達到脫胎換骨的效果,整個人的面貌將煥然一新。如果牙齒情況很嚴重,在不能保留原牙的情況下,有條件的朋友可以考慮進行種植牙修復。
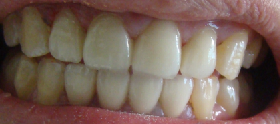
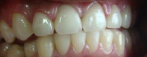
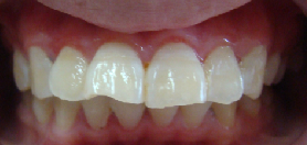
對比照片
美容冠矯正前照片 美容冠矯正後照片

美容冠矯正前

