膠質細胞增生

膠質細胞增生

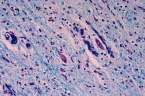
膠質細胞增生為在中樞神經系統受損處,星形膠質細胞的大量增生。星狀細胞為相對較大的一種膠質細胞,具有多種功能,並會在神經元受損處堆積。

基本內容

膠質細胞增生

為在中樞神經系統受損處,星形膠質細胞的大量增生。星狀細胞為相對較大的一種膠質細胞,

膠質細胞增生膠質細胞增生
具有多種功能,並會在神經元受損處堆積。腦中特定部位的膠質細胞增生及神經元的失去常被發現於各種神經退化性疾病 (neurodegenerative disorder),例如科爾薩科夫氏症候群(Korsakoff's syndrome), 多發性硬化症, 及愛滋病痴呆綜合症 (AIDS dementia complex)。

熱門詞條

聯絡我們