脊髓癆
脊髓癆Abadie氏綜合徵指脊髓癆(一種實質性梅毒)患側跟腱之壓痛覺減退或消失。為診斷脊髓癆的一種重要體徵。此征在脊髓癆病程的各個階段中陽性率均較高,故有助於早期診斷。往往兩側均為陽性,跟腱壓痛覺障礙的程度可不一致。此征與脊髓癆其他症狀的關係如下:
(一)此征與跟腱之閃電樣疼痛不一定同時出現,與下肢淺感覺障礙無關;
(二)多伴有踝反射消失;
(三)擠壓腓腸肌引起的壓痛覺仍保存。
此綜合徵偶見於癔病和脊髓壓迫征,但這兩種疾病尚有其他部位之痛覺缺失。
脊髓癆的發生
在 梅毒感染後20~25年。病變主要是脊髓後根及脊髓後索發生變性所致。此外,腦神經亦易受侵犯,主要為視神經及支配眼球運動諸肌的神經,其他腦神經較少受侵犯。
i 脊髓後根及後根節引起者,臨床可出現:
1.疼痛:可為陣發性電擊樣痛,錐刺樣痛,風濕樣痛,箍痛。疼痛部位為受累的神經根支配區域,每次發作約數秒鐘至數小時不等,與整個病程相始終。
2.內臟危象:(即內臟疼痛)常見者為胃危象,可出現劇烈絞痛,噁心、嘔吐。
3.感覺減退:小腿、外陰部、臀部、面頰、鼻部及尺神經分布區觸覺及痛覺減退。
4.膝反射及跟腱反射消失。
ii 因脊髓後索變性可發生以下情況
1.深感覺減退或消失,病人常有如行走在棉花或地毯上感覺。
2.感受性共濟失調,肌緊張力減退,可發生膝過屈及平足。
3.括約肌紊亂,可發生尿瀦留,尿失禁,便秘及 陽萎。
iii 因 腦神經受損害而發生的症狀有
1.阿一羅 瞳孔,主要表現為瞳孔縮小,兩側瞳孔不等大,對光反應消失但調節機能仍存在。發生較早,為重要的診斷依據之一。
2.視神經萎縮
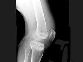
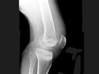
除上述者外,其他尚可出現下肢關節(主要為膝關節明顯腫脹,但無紅、熱、痛,壓之無凹陷,運動不受影響。約60%~75%梅毒血清試驗陽性,腦脊液 白細胞(以淋巴細胞為主)計數及蛋白量均增高,VDRL陽性。

