概述
腹膜粘液瘤,卵巢粘液性囊腺瘤患者有2~5%並發腹膜粘液瘤,多繼發於囊腫破裂後,瘤細胞種植於腹膜,並形成腫瘤結節,產生大量粘液,一般不發生臟器實質浸潤。手術不易完全切除,術後甚易復發,5年存活率僅45%,腫瘤上皮高度分化,對放療或化療不敏感。
粘液性囊腺癌,占卵巢惡性腫瘤的10%左右。單側居多、瘤體較大,囊壁可見乳頭或產質區,切面半囊半實,囊液混濁或為血性。預後較漿液性癌明顯為佳。5年存活率為40~50%。
驗方偏方
驗方:地鱉蟾蜍湯:地鱉蟲、蟾蜍、大茯苓、豬苓、黨參各15g,白花蛇舌草、苡仁、半枝蓮各18g,三棱、白朮各10g,莪術12g,甘草3g。水煎3次,分3次服。如無明顯反應可連服2—3個月以上。
療效:潘明繼等人套用本方治療卵巢癌取得一定療效。
偏方:核桃樹枝30g,紫草根30g,水煎服。
疾病概述
此種腫瘤的內容物以往以其能溶於醋酸,有別於胃內粘液,故曾稱為假粘液囊性瘤(pseudomucinous cystadenoma)。近年用組織化學方法檢驗,證實為粘蛋白,象乙醯胺基葡萄糖(acetylglucosamine)及其他帶蛋白的碳水化合物的複合物。由於此種腫瘤囊腔內容物以含有豐富的白蛋白與糖蛋白(屬粘多糖類)為特徵,故目前已通稱為粘液性囊腺瘤。復蓋瘤壁的腺體和囊腔的上皮與 子宮 內膜或腸黏膜類似。
這類腫瘤相當常見,約占所有卵巢腫瘤的15~25%,粘液性癌占所有 卵巢癌 的6~10%。所有卵巢粘液性腫瘤中約85%為良性(粘液性囊腺瘤),交界惡性者(交界性粘液性囊腺癌)約占6%,浸潤性癌(粘液性囊腺癌)約為9%(Bemnigto等)。粘液性囊腺瘤最常見於30~50歲,交界性腫瘤和浸潤性癌最常見於40~70歲。其中粘液 性交 界性囊腺癌占卵巢粘液性癌的17~52%。
組織發生
目前多認為粘液性腫瘤起源於卵巢表面上皮或體腔上皮包涵囊腫的化生。許多證據顯示粘液性腫瘤可含有其他苗勒氏型上皮如輸卵管型、子宮內膜樣上皮。體腔上皮包涵囊腫和粘液上皮間的轉換區也可看到。然而,某些粘液性腫瘤中可見杯狀細胞(goblet cells,約見於1/4病例)、嗜銀細胞(argentaffine cells,約見於1/5病例)以及帕內特氏細胞(Paneth ′scells,見於少數病例);而且粘液性腺體和囊腫常是畸胎瘤的成份,約5%的粘液性腫瘤伴有良性囊性畸胎瘤,因此有認為粘液性腫瘤可能起源於生殖細胞,很似單胚瘤。然中胚層起源的器官如腎和宮頸也可表現腸型上皮化生而出現上述細胞(Anopardi等)。卵巢表面上皮的類似化生能解釋腸型粘液性腫瘤的起源(Fenegli等)。偶爾在同一腫瘤內,甚至在同一腺體內可見宮頸內膜和腸型上皮並存。
某些學者認為,本病發生似有遺傳傾向,如遺傳病中Peut-JeGHres綜合徵是以皮膚黏膜色素沉著、胃腸道息肉為特徵,約14%患者伴卵巢瘤,或為粒層細胞瘤,或為囊腺瘤。
實驗室檢查
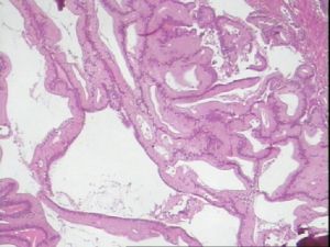
【目檢】 粘液性囊腺瘤多為單側,約5~10%為雙側。交界性腫瘤和侵蝕癌約10~20%為雙側。瘤體通常較大,大多數直徑為15~30cm。平均重量2000~4000g,文獻上有報導重達149kg(328磅)者(Spohn,1922)。腫瘤表面光滑,囊壁薄,透明或半透明。切面多為多房,囊內液體或粘稠如膠凍,或稀薄似水。交界性腫瘤和侵蝕癌可有乳頭和實性增厚區,常見出血壞死灶,囊內液體即變為棕褐色或血性。
【光鏡檢查】 粘液性囊腺瘤被復高分化單層高柱狀上皮,胞漿豐富,含有粘蛋白,核位於基底。在粘液型上皮細胞間,可見杯狀細胞。約20%腫瘤含有嗜銀細胞,偶有帕內特氏細胞。若出現明顯上皮增生呈復層化(交界性腫瘤細胞不超過三層)、出芽和搭橋、核異型性及分裂相,則提示交界性腫瘤或侵蝕癌。高分化型粘液性囊腺癌被復高柱狀粘液型上皮,輕度異型,癌細胞侵入間質,腺管較規則;中度分化型,瘤細胞明顯異型,侵入間質,腺管不規則,有上皮突起結構;低分化型,癌細胞分泌粘液,呈多形性,細胞明顯異形,可見腺管樣結構。
【電鏡檢查】 粘液性囊腺瘤被復上皮大多似宮頸內膜上皮,細胞頂端可見小而粗短的微絨毛,以不規則的方式突向腔面。微絨毛之間的頂端胞膜光滑,缺乏胞飲現象。細胞側壁上部光滑,與鄰近細胞緊密相連,偶見橋粒;胞膜基底部有複雜的絨毛狀突起,與相鄰細胞呈指狀交叉,此處常不含橋粒。基底部胞膜則多呈平滑狀或有輕度折曲。核位於基底部,常含一個核仁。核內充滿圓或橢圓形的粘液滴。線粒體小,位於細胞體部。高爾基器發育良好,無光面內質網,有數量不等的粗面內質網和游離核糖體,缺乏糖原,未見溶酶體樣結構。
粘液性腺癌或囊腺癌的超微結構,基本似粘液性囊腺瘤。電鏡顯示,癌細胞分化愈低,則分泌粘液功能愈差。低分化者,癌細胞核明顯變形,可呈深溝、假小葉、不規則摺疊或畸形、捲曲以至呈穴洞狀,並以具有分泌粘液滴和腸型絨毛為特徵。
【腹膜粘液瘤】 國外一直沿用腹膜假粘液瘤(pseudomucinous peritonei),但此 種情況既來源於卵巢粘液性囊瘤或闌尾粘液囊腫,而二者內容已證實為粘液故宜改稱為腹膜粘液瘤(myxoma peritonei);實則Long等(1969)早就建議稱之為粘液瘤性 腹膜炎 (myxoma tous peritonitis)或粘液性腹水(mucinous ascites)。為卵巢粘液瘤的一種嚴重併發症(約占2~5%)。Silverberg(1971)報導,粘液性囊腺瘤中腹膜粘液瘤的發生率高達16%。其特點為膠凍狀物質充盈整個腹腔,粘液狀團塊可沉積於腹膜的壁層和髒層。並可引起臟器粘連,阻塞淋巴管,引起異物性腹膜炎等。
對於良性粘液上皮發生腹膜種植過程的機制無滿意的解釋。此病最常見的兩個起源部位是粘液性卵巢瘤和闌尾粘液囊腫。可以因這些腫瘤的破裂,粘液溢入腹腔而造成種植。然而許多腹膜粘液瘤病例,腫瘤既無破裂又無穿透的證據。有認為由於粘液物質緩慢滲漏進腹腔,可引起腹膜增生並化生成產粘液的上皮而形成腹膜假粘液瘤。雖然反覆手術,但因不能除盡種植的上皮殘餘,預後往往不佳。

