發病機制
睪丸微石症的結石在發育不全的曲細精管內的沉積.曲細精管上皮細胞脫落入管腔內形成結石,阻塞30%-60%的曲細精管,結石的核心部位為鈣化團,圍繞中心的板層樣結構由膠原纖維組成.每個微石直徑約50um-350um.
臨床表現
包括隱睪、先天性睪丸發育不全綜合症、男性假兩性畸不育症和肺泡微石症、中樞神經系統微石症等。曾有報導認為睪丸微石症與睪丸腫瘤、精索靜脈曲張、附睪炎、睪丸創傷、睪丸扭轉和原發性睪丸腫瘤等有關。
檢查診斷
檢查
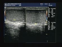
1、超聲檢查
2、隱睪側則進一步對患側腹股溝、下腹部掃查,確定隱睪的位置及發育大小。
3、最後進行彩色都卜勒檢查,了解睪丸及精索血流情況。
標準
經典睪丸微石症TM診斷標準為:
(1)每個切面均能發現5個以上1~2mm大小的點狀強回聲,後方無聲影。
(2)瀰漫分布於睪丸實質內。睪丸微石症聲像圖具有特徵性表現,超聲即可診 斷,因此不必進行侵害性的檢查。
治療
睪丸微石症一般不需要治療. 因為睪丸微石症者發生原發性睪丸腫瘤的風險高,所以要定期超聲複查.一般睪丸微石症每6-12個月進行一次超聲檢查為宜,國外文獻報導TM具有發生睪丸腫瘤的傾向,因此應引起重視,以便及時發現睪丸腫瘤,兒童期確診的患兒應隨訪至成人。

