概述
白假絲酵母菌白假絲酵母菌(canidia Albicans)又稱白色念珠菌,廣泛存在於自然界,也存在於正常人口腔,上呼吸道,腸道及陰道,一般在正常機體中數量少,不引起疾病。為條件致病性真菌。
假絲酵母菌俗稱念珠菌,有81個種,其中有11種對人有致病性:白假絲酵母菌、為最常見的致病菌。此外,熱帶假絲酵母菌、克柔假絲酵母菌和光滑假絲酵母菌也較多引起疾病。
生存年代 類似的菌類化石在世界各地的前寒武紀岩石中都有發現。 生存環境念珠菌對熱的抵抗力不強,加熱至60℃1小時後即可死亡。但對乾燥、日光、紫外線及化學製劑等抵抗力較強。
在假絲酵母菌中80%~90%病原體為白假絲酵母菌10%~20%為光滑假絲酵母菌、近平滑假絲酵母菌熱帶假絲酵母菌等。 白假絲酵母菌為條件致病性真菌,10%~20%非孕婦女及30%孕婦陰道中有此菌寄生但菌量極少鵻,呈酵母相,並不引起症狀。念珠菌生長最適宜的pH值為5.5,陰道的弱酸性環境能保持陰道的自潔功能,正常人為3.7-4.5,但陰道的弱酸性改變為pH5.5後,假絲酵母菌大量繁殖,並轉變為菌絲相鵻,才引發陰道炎症狀。因此用Ph4弱酸配方的女性護理液除了適合日常的清潔保養外,治病期間使用弱酸配方的女性護理液對黴菌的生長繁殖會有抑制作用。
白假絲酵母菌在DYMD系統的位置 臨床真菌按其所致疾病的症狀和體徵進行分類,DYMD系統(皮膚真菌、酵母菌、真菌)這一分類模式已得到公認,是以組織發生學、生理學及形態學特徵為基礎,將真菌分類為類酵母菌和絲狀真菌,又進一步按其組織親和性分別將它們分為皮膚真菌和真菌。對婦產科醫生來說,不同種類的真菌醫學相關性大不相同,迄今未發現由真菌引起的婦科疾患,由皮膚真菌引起的外陰及其周圍的皮膚感染也極少見。 婦產科臨床所見的真菌感染大多為白假絲酵母菌屬的酵母菌所致。 陰道內定居的酵母菌有白假絲酵母菌、光滑假絲酵母菌、近平滑假絲酵母菌、熱帶假絲酵母菌、薔薇色假絲酵母菌、釀酒假絲酵母菌、克柔假絲酵母菌、季以蒙假絲酵母菌等。 引起人類假絲酵母菌病主要是白假絲酵母菌,占80%~90%,已鑑別有200多種白色假絲酵母菌,所有菌株似乎均具有寄居或引起陰道炎的同等能力。隨著時代的變遷,假絲酵母菌耐藥的增加,其菌種發生改變,白假絲酵母菌在外陰陰道炎中的比例有所下降,而其他假絲酵母菌所致的外陰陰道炎增加。 所以,婦產科學中原稱的白假絲酵母菌外陰陰道炎似太絕對和肯定,目前稱為假絲酵母菌外陰陰道炎為宜,但菌種仍以白假絲酵母菌為主。
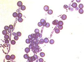
白假絲酵母菌特徵 本菌細胞呈圓形或卵圓形,很象酵母菌,直徑3~6μm,比葡萄球菌大5~6倍,革蘭陽性,但著色不均勻。出芽方式繁殖。在病灶材料中常見真菌細胞出芽生成假菌絲,假菌絲長短不一,並不分枝,假菌絲收縮斷裂又成為芽生的菌細。
此菌正常情況下呈卵圓形,白假絲酵母菌與機體處於共生狀態,不引起疾病。當某些因素破壞這種平衡狀態,白假絲酵母菌由酵母相轉為菌絲相,在局部大量生長繁殖,引起皮膚、黏膜甚至全身性的假絲酵母菌病。當機體的正常防禦功能受損導致內源性感染,如創傷、抗生素套用及細胞毒藥物使用致菌群失調或黏膜屏障功能改變、皮質激素套用、營養失調、免疫功能缺陷等。白假絲酵母菌為雙相菌,正常情況下一般為酵母相,致病時轉化為菌絲相。因此在細胞塗片或組織切片中發現假菌絲是假絲酵母菌感染的重要證據。 致病機制的毒力因素 感染及致病機理 包括:附著、發芽、蛋白酶、菌落轉換,以白假絲酵母菌外陰陰道炎的發病機制研究如下:
白假絲酵母菌1.附著假絲酵母菌為了寄居至陰道黏膜,首先要附著在陰道上皮細胞上,白假絲酵母菌比熱帶假絲酵母菌、克魯假絲酵母菌和假熱帶假絲酵母菌更易黏著在陰道上皮細胞。但是陰道細胞在接受假絲酵母菌的程度上卻存在著相當大的人與人之間的個體差異。同樣頑固的假絲酵母菌外陰陰道炎婦女的陰道細胞也並沒有顯示出對假絲酵母菌的親和力有所增加。所有的白假絲酵母菌似乎都有寄居黏膜表面的能力,所以陰道黏膜當然就是假絲酵母菌易寄居的地方。酵母菌的附著性是由於酵母菌表面的甘霜糖蛋白所致,它是通過與宿主細胞的糖蛋白的受體結合來完成。此外,疏水力和靜電引力也促進附著。附著(或稱黏附)作用是假絲酵母菌黏膜定植和入侵機體的重要環節。沒有附著能力的假絲酵母菌不致病。
2.芽管和菌絲的形成假絲酵母菌黏附陰道黏膜上皮細胞後,菌體出芽形成或假菌絲形成。菌絲的形成是假絲酵母菌有效獲取營養的方式。同樣芽管的形成增加了白假絲酵母菌附著於陰道或口腔上皮脫落細胞的能力,芽管及菌絲體的形成,助長了對陰道黏膜上皮的侵害。假絲酵母菌附著後發芽的關鍵作用是許多研究和調查急性尤其是復發性假絲酵母菌陰道炎的發病基礎。若增加或助長發芽的內源性或外源性因素,可以趨向於引起有症狀的陰道炎的發生。相反,若抑制假絲酵母菌附著後發芽,則可預防無症狀的帶菌婦女發生急性假絲酵母菌陰道炎。菌絲能沿皮膚黏膜的溝隙生長,藉助機械力穿過表皮或上皮細胞面再行繁殖。菌絲在皮膚黏膜感染中和在播散性感染中都是假絲酵母菌毒力的重要組成部分。 3.分泌蛋白酶白假絲酵母菌能分泌多種蛋白水解酶,如鹼性磷酸酶、磷脂酶和分泌性門冬醯蛋白酶等。上述各種水解酶有助長芽管穿透到完整的黏膜上皮細胞。急性假絲酵母菌陰道炎患者比無症狀的帶菌者蛋白溶解作用為強。 4.菌落的轉換同一株白假絲酵母菌可在某些條件下出現幾種菌落形態,為高頻率可遺傳的表型變異。白色菌落轉換為不透明菌落,不透明菌落中的細胞與原來的白色菌落中的細胞不但在表型上不同,而且對真菌藥物的抗藥性升高,具有新的毒力,這包括附著能力、發芽能力、產生蛋白酶和形成菌絲體的能力都增加。不透明細胞似乎是一種特別的、侵犯組織的暫時狀態。菌落轉換通過供給侵犯身體不同部位的能力和改變了抗原性,增加假絲酵母菌的致病力。假絲酵母菌外陰陰道炎的發病機制除上述的附著、發芽、蛋白酶和菌落轉換外,還存在炎性反應。假絲酵母菌菌體成分可激活補體旁路途徑,產生補體趨化因子和過敏毒素,致局部血管擴張,通透性增高,局部水腫和炎性細胞浸潤。吞噬細胞在局部聚集,併吞噬細菌,同時釋放溶酶體酶類,致局部組織損傷。假絲酵母菌陰道炎發病機制的關鍵問題是無症狀的陰道寄居是如何轉變為有症狀的假絲酵母菌外陰陰道炎。在無症狀的帶菌狀態下,假絲酵母菌主要呈非菌絲狀態,細菌數量相對較少,在此情況下,假絲酵母菌與寄居處有保護作用的菌絲存在,以及其局部防禦機制之間保持巧妙的平衡。當存在使假絲酵母菌毒性增強的因素或局部防禦機制減弱時,就會出現有症狀的陰道炎。 侵犯人體部位
白假絲酵母菌可侵犯人體許多部位,可引起:
1.皮膚念珠菌病,好發於皮膚皺褶處(腑窩、腹股溝,乳房下,肛門周圍及甲溝,指間),皮膚潮紅、潮濕、發亮,有時蓋上一層白色或呈破裂狀物,病變周圍有小水泡。
2.黏膜念珠菌病,以鵝口瘡、口角炎、陰道炎最多見,在黏膜表面蓋有凝乳大小不等的白色薄膜,剝除後,留下潮紅基底,並產生裂隙及淺表潰瘍。
3.內臟及中樞神經念珠菌病,可由黏膜皮膚等處病菌播散引起,有肺炎、腸胃炎、心內膜炎、腦膜炎、腦炎等,偶爾也可發生敗血症。
檢查
1.直接檢查法是臨床最常用檢驗方法,陽性檢出率為60%。其優點是簡便,快捷。 (1)鹽水法 (2)氫氧化鉀法 2.革蘭染色法此方法陽性檢出率為80%。取分泌物塗片、固定後,革蘭染色,置顯微鏡下觀察,可見成群革蘭染色陽性的卵圓形孢子和假菌絲。 3.培養法如疑為假絲酵母菌性陰道炎,多次檢查均為陰性,可作真菌培養。 4.菌種鑑別實驗如需確定分辨假絲酵母菌的種類,必須進行發酵試驗、同化試驗,並就其菌落形態特徵進行鑑別。 5.測定pH 值具有重要鑑別意義,若pH 值<4.5,可能為單純假絲酵母菌感染,若pH 值>4.5,並且塗片中有多量白細胞,可能存在混合感染。 6.對於年老肥胖或久治不愈患者,應查尿糖、血糖以尋找病因。 其他輔助檢查:無特殊表現。
培養
本菌在血瓊脂或沙保氏瓊脂上,37℃或室溫孵育2~3日後,生成灰白乳酪樣菌落,塗片鏡檢,可看到表層為卵圓形芽生細胞,底層有較多假菌絲。若接種於4%玉蜀黍瓊脂上,室溫孵育3~5日可見假菌絲,芽生孢子,厚膜孢子。
白假絲酵母菌病
綜述
念珠菌病主要是白假絲酵母菌引起的急性、亞急性或慢性感染,是最常見的真菌病。常侵犯皮膚、黏膜,也可引起內臟或全身感染。臨床症狀錯綜複雜,急緩不一。兒童多為急性繼發性感染。近年來隨著大劑量抗生素、激素、免疫抑制劑的套用,以及器官移植術的開展,其發病率漸趨增高,並可危及生命造成嚴重後果。 生殖器念珠菌病分為念珠菌性陰道炎和念珠菌性龜頭炎。兩者與性行為關係密切,可以通過性行為互相傳播。 念珠菌性陰道炎(candidal vaginitis),又稱外陰陰道念珠菌病(vulvovaginal candidiasis, VVC),是由陰道內的念珠菌,主要為白色念珠菌引起的陰道及外陰的炎症性疾病。 臨床以典型的豆腐渣樣白帶及劇烈的外陰瘙癢為特徵。急性發作的病人如果治療不徹底則容易轉為慢性復發性念珠菌性陰道炎(RVVC )。 念珠菌性龜頭炎是念珠菌引起的男性包皮龜頭的炎症。
臨床症狀
(一)皮膚念珠菌病
1.指(趾)間糜爛多見於長期從事潮濕作業的人。皮疹以第三、第四指(趾)間最為常見。指(趾)間皮膚浸漬發白,去除浸漬的表皮,呈界限清楚的濕潤面,基底潮紅,可有少量滲液。自覺微癢或疼痛感。
2.念珠菌性間擦疹多見於小兒和肥胖多汗者。皮疹好發於腹股溝、臀溝、腋窩及乳房下等皺褶部位。局部有界限清楚的濕潤的糜爛面,基底潮紅,邊緣附領口狀鱗屑。外周常有散在紅色丘疹、皰疹或膿皰。
3.丘疹形念珠菌病多見於肥胖兒童,可與紅痱並發。皮疹為綠豆大小扁平暗紅色丘疹,邊緣清楚,上復灰白色領圈狀鱗屑,散在或密集分布於胸背、臀或會陰部。同時伴發念珠菌性口角炎、口腔炎。
4.念珠菌性甲溝炎、甲床炎多見於指甲。甲溝紅腫,或有少量溢液,但不化膿,稍有疼痛和壓痛,病程慢性。甲板混濁,有白斑,變硬,表面有橫嵴和溝紋,高低不平但仍有光澤,且不破碎。
5.慢性皮膚黏膜念珠菌病少見。是一種慢性進行性的念珠菌感染,常伴有某些免疫缺陷或內分泌疾患,如甲狀旁腺、腎上腺功能低下等,特別是先天性胸腺瘤。本病常是從嬰兒期開始發病,但也可發生於新生兒期。皮損好發生於頭面部、手背及四肢遠端,偶見於軀幹。初起為紅斑、丘疹鱗屑性損害,漸呈疣狀或結節狀,上復黃褐色或黑褐色蠣殼樣痂皮,周圍有暗紅色暈。有的損害高度增生,呈圓錐形或楔形,形似皮角,去掉角質塊,其下是肉芽腫組織。愈後結痂,累及頭皮的可致脫髮。
(二)黏膜念珠菌病
1.鵝口瘡多見於嬰幼兒患者,口腔黏膜、咽、舌、牙齦等處出現邊界清楚的白色假膜,外圍紅暈。去除假膜可見紅色濕潤基底。若累及口角則有口角糜爛、皸裂等,有疼痛感。
2.生殖器念珠菌病包括女陰陰道炎及龜頭包皮炎。陰道分泌物粘稠、色黃或乳酪樣斑片,在陰道壁上可見灰白色假膜樣斑片,有瘙癢或灼熱感。假膜和白帶塗片可見假菌絲和成群芽孢。男性患者較少見,多通過配偶感染,可見包皮及龜頭潮紅、乾燥光滑,包皮內側及冠狀溝可見復有假膜的斑片。
(三)內臟念珠菌病
念珠菌感染可累及全身所有內臟器官,其中以腸念珠菌病及肺念珠菌病較常見。此外,尚可引起泌尿道炎、腎孟腎炎、心內膜炎及腦膜炎等,偶可引起念珠菌性敗血症。所有內臟感染常繼發於多種慢性消耗性疾病,且有長期套用廣譜抗生素、皮質激素及化療、放療等誘發因素,症狀多無特異性,應提高警惕。
(四)念珠菌疹
為念珠菌及其代謝產物引起的皮膚變態反應,主要損害為成群的無菌性水皰,多見於手指間;也可見到銀屑病樣、玫瑰糠疹樣、脂溢性皮炎樣、蕁麻疹樣、離心性環狀紅斑樣損害。
生殖器白假絲酵母菌病的治療
(1)一般治療 治療白假絲酵母菌感染首先應消除誘因:若有糖尿病應給予積極治療。及時停用廣譜抗生素、雌激素及皮質類固醇激素。 積極治療可以消除易感因素。每天用醫用洗液清洗外陰,養成良好的衛生習慣,Ph4弱酸配方的女性護理液適合日常的清潔保養,並保持外陰乾燥,避免搔抓。不宜食用辛辣刺激性食品,效果很好。勤換內褲,並用溫水進行洗滌,切不可與其他衣物混合洗,避免交叉感染。
(2)改變陰道酸鹼度 白假絲酵母菌生長最適宜的pH值為5.5,陰道的弱酸性環境能保持陰道的自潔功能,正常人為3.7-4.5,因此用Ph4弱酸配方的女性護理液除了適合日常的清潔保養外,治病期間使用弱酸配方的女性護理液對黴菌的生長繁殖會有抑制作用。外出如廁時要用女性衛生濕巾拭乾外陰,保持外陰乾燥,以抑制念珠菌的生長。
(3)外陰洗液 使用一些外陰外陰洗液。
(4)藥物療法 假絲酵母菌外陰陰道炎的治療有局部用藥、全身用藥及聯合用藥(口服加局部)等。選擇局部或全身套用抗真菌藥物;根據患者的臨床分類,決定療程的長短。 單純性VVC 的治療:局部用藥可選擇下列藥物放於陰道內:①咪康唑栓劑,每晚1 粒(200mg),連用7 天;或每晚1 粒(400mg),連用3 天;②克霉唑栓劑,每晚1 粒(150mg),塞入陰道深部,連用7 天,或每天早、晚各1 粒(150mg),連用3 天;或1 粒(500mg),單次用藥;
最早用於治療酵母菌感染的特異性活性藥物是多黴菌素,它是20世紀50年代早期分離獲得的一種聚烯類抗生素,此後又有許多種抗真菌藥物被研製出來。陰道假絲酵母菌病的臨床用藥,多數為局部用藥,近年高效短療程的口服製劑問世,更使患者易於接受,且適用於經期及未婚女性。陰道假絲酵母菌病藥物治療中要求性伴侶作生殖器真菌培養及適當抗真菌治療,應同時用藥。治療中症狀消失後,須每次月經後複查並鞏固治療1個療程。
白假絲酵母菌陰道炎的危害
1、造成不孕 如果患了念珠菌性陰道炎,陰道的酸鹼度的改變會使精子的活動力受到抑制,且炎性細胞可吞噬精子,並使精子活動力減弱,白色念珠菌有凝集精子的作用,以及炎症發生時的性交痛和性慾減退等,均可影響懷孕。此種不孕經積極治療後可很快恢復正常。但念珠菌性陰道炎導致的不孕是暫時性的,疾病治癒後仍可受孕。
2、影響胎兒發育 孕婦患病後,極少數人陰道中的念珠菌能經宮頸上行,穿透胎膜感染胎兒,引起早產。另外,當胎兒經母親陰道分娩時,也可能被念珠菌感染,多引起口腔念珠菌病,如通常所說的鵝口瘡就是口腔念珠菌感染引起的。有些嬰兒還可能出現肛門周圍念珠菌性皮炎。由此可見,為了避免感染胎兒,孕婦患念珠菌性陰道炎後應積極治療。
3、影響生活質量 得了念珠菌性陰道炎,會伴有外陰瘙癢等症狀,對女性的生活和工作會造成諸多的不便和影響,也會影響到夫妻生活。
4、引起其他疾病 若念珠菌性陰道炎長期不治療的話,易造成炎症上行,引起宮頸炎和宮頸糜爛,如果病原體進入宮腔,則會引起輸卵管卵巢炎症、盆腔炎等,最後影響懷孕。
白假絲酵母菌陰道炎的預防
當人體抵抗力下,降或患嚴重疾病以及有複合維生素B缺,乏或長期使用免疫抑制劑時,黴菌性外陰炎就容易乘虛而入。特別是春天風景好,對女性來,說也是"個多事之春"。為啥這樣說呢?因為,春季氣候潮濕,女性由於生理結構特殊,很容易被這些復甦過來的細菌侵擾,最近就有一些女性受到了黴菌的困擾。 要預防這個疾病主要是養成良好的衛生習慣,勤換洗內褲並放於通風處晾;乾盆具、毛巾自己專用;內褲與襪子不同盆清洗。 而對於已婚女性來,說平時做好陰道保健也很重要,除了日常清洗外,還應該讓陰道保持一定的酸鹼度,通過功能鍛鍊等恢復肌肉組織彈性,避免細菌的侵擾。
1、放棄濫用抗生素 咳嗽、發燒、頭痛,就吃抗生素?殊不知,抗生素可能抑制部分有益菌群,黴菌就會乘機大量繁殖。因此,使用抗生素要慎之又慎。
2、單獨清洗內褲 黴菌可以在皮膚表面、胃腸道、指甲內等地方大量繁殖。如果家人或自己患有足癬、灰指甲等,就容易造成黴菌交叉感染。因此,內衣褲一定要單獨洗喔,最好用專用的ecu內衣褲除菌液浸泡幾分鐘。 3、切忌過度清潔 頻繁使用藥字號洗液、消毒護墊等,容易破壞陰道弱酸性環境,陰道的弱酸性環境能保持陰道的自潔功能。
4、重視懷孕時的護養 妊娠時性激素水平、陰道內糖原和酸度都會增高,容易受黴菌侵襲。對孕婦而言,不宜使用口服藥物,而應選擇針對局部的預防和輔助治療方案。
5、警惕洗衣機 幾乎每個洗衣桶內都暗藏黴菌!而且洗衣機用得越勤,黴菌越多!不過不用擔心,對付洗衣機里的黴菌有一個百試不爽的殺手鐧:用60℃左右的熱水清洗洗衣桶就OK啦!定時用衣物除菌液清洗一下! 6、注意公共場所衛生 公共場合可能隱藏著大量的黴菌。出門在外,不要使用賓館的浴盆、要穿著長的睡衣、使用馬桶前墊上衛生紙等等。
7、正確避孕 避孕藥中的雌激素有促進黴菌侵襲的作用。如果反覆發生黴菌性陰道炎,就儘量不要使用藥物避孕。
8、伴侶同治 如果你感染了黴菌性陰道炎,需要治療的不僅是你,還有你的他,這樣才會有預期的療效。你平時日常使用女性護理液的同時也莫忙記準備一支男土護理液給他使用。
9、穿著全棉內褲 緊身化纖內褲會使陰道局部的溫度及濕度增高,這可是黴菌拍手稱快的"居住"環境!還是選用棉質的內褲吧!
10、控制血糖,正確清洗外陰 女性糖尿病人陰道糖原含量高,糖原作用下發酵產生鹼性物質,令正常的陰道酸值從3.5-4.5偏離之5.5,破壞了陰道的的自潔功能,易於被黴菌侵害。所以,在控制血糖的同時,還要注意在每天清洗外陰時,選用Ph4弱酸配方的女性護理液更適合。
11、性生活正常單純 許多陰道疾病的感染途徑都是從性行為所傳遞的,如果性伴侶過多,就較難掌控是否感染的情況,所以只要性生活單純,感染特定的陰道(疾病)疾病幾率就會大大減少。
12、心情保持愉快 保持心情愉快也是一種增進免疫力的好方法,另外平常的生活作息也要正常,這樣才能讓免疫系統正常運作。

