診斷
根據Leinbach診斷標準主要為:①周圍血嗜酸粒細胞增多;②攝食後導致胃腸道症狀與體徵出現;③組織學證實胃腸道有嗜酸粒細胞增多或浸潤。鑒於本病胃腸道表現缺乏特異性,故診斷時應注意既往過敏史,周圍血(腹水或活組織檢查)嗜酸粒細胞增多,配合胃腸道X線鋇餐、纖維內鏡進行診斷。為了早期診斷,凡出現不能解釋的胃腸道症狀,尤其個人或家族中有過敏性疾患史者或進食某類食物、攝入某些藥物後出現或加重胃腸道症狀及體徵、周圍血嗜酸粒細胞增多者,應考慮本病的可能。血、腹水中發現嗜酸性粒細胞增多,纖維內鏡檢查病變明顯充血、水腫,活檢發現多塊標本有較多的嗜酸細胞浸潤或禁食可疑食物、用糖皮質激素治療可使症狀緩解時,可考慮嗜酸性腹水或嗜酸性胃腸炎的診斷。病因學
病因迄今未明,有認為是一種變態反應性疾病。由於病變組織中有大量嗜酸性粒細胞廣泛浸潤,約80%的患者周圍血中嗜酸性粒細胞增多,約50%的患者有個人或家庭變態反應史,故本病可能系對內、外源性過敏原發生全身或局部性變態反應而致,血清中IgG、IgA增高,亦說明有免疫反應參與。某種特殊過敏原與胃腸敏感組織接觸後,在胃腸壁內發生抗原、抗體反應,釋放出組織胺類血管活性物質,引起胃腸黏膜充血、水腫、嗜酸粒細胞浸潤以及胃腸平滑肌痙攣和粘液分泌增加從而引起一系列胃腸症狀。
Ureless分類法
Ⅰ型 廣泛型嗜酸性細胞浸潤性胃炎(簡稱嗜酸性胃腸炎)。其中包括多腸性(Polyenteric)、單腸法(Monoenteric)、局限性(Regional)。
Ⅱ型 局限性嗜酸性細胞浸潤性肉芽腫(簡稱嗜酸性肉芽腫)。其中包括局限性(Regional)、類息肉性(Polypoid)。
臨床表現
本病常以腹痛、噁心、嘔吐起病,症狀因病變部位不同而異。多呈慢性經過,往往有周期性發作和自發性緩解的特點。Ⅰ型:多見於30~50歲,80%有胃腸道症狀。半數患者可有其他過敏性疾患,如過敏性鼻炎、哮喘等。本型主要出現上腹部痙攣疼痛,伴噁心、嘔吐、腹瀉等症狀,發作無規律性,可與某些食物有關。黏膜受累嚴重者可致上消化道出血、腹瀉、吸收不良、腸道蛋白損失、缺鐵、體重減輕等。肌層受累明顯可致幽門梗阻或腸梗阻,並出現相應的症狀和體徵,有時被誤診為Crohn病或腫瘤漿膜受累者可有含大量嗜酸性粒細胞的腹水(稱嗜酸性腹水)或胸水發生。腹水一般為滲出性。
Ⅱ型 40~60歲多見。本型多有較長時間胃病史,起病多急,可有上腹部痙攣性疼痛伴噁心、嘔吐。合併消化性潰瘍者多見(多為巨大潰瘍)。類息肉型者,上消化道出血可為唯一症狀。病變近於幽門者可致幽門梗阻。當病變在腸道時,可因腫物形成、腸壁增厚、水腫導致功能紊亂而發生腸套疊或腸梗阻。發生在迴腸部位者,發病急驟,可因右下腹痛、壓痛、反跳痛或局部肌緊張而誤診為急性闌尾炎。
治療措施
本病的治療原則是去除過敏原,抑制變態反應。一、積極尋找並排除致敏的食物
應立即停止食入導致胃腸過敏的食物或藥物。沒有食物和藥物過敏史者,可採取序貫法逐個排除可能引起致敏的食物,諸如牛奶、蛋類、海蝦、肉類以及敏感的藥物。對以黏膜病變為主者排除有關致敏食物或藥物後,腹痛和腹瀉迅速改善。
二、腎上腺皮質激素
腎上腺皮質激素有良好的治療效果,可使病情緩解,多數患者用藥後1~2周內症狀改善,復發時用藥仍有效。適用於瀰漫型、手術後復發和腹水為主的患者。急性期可給強的松30~40mg,每日1次,套用2周,見效後逐漸減量,維持劑量為每日5~10mg,維持2~4周。嗜酸性肉芽腫用藥時間可適當延長。如果激素療效不顯著者,可加用其他免疫抑制劑,如硫唑嘌呤,每日50~150mg,服藥期間應注意血象變化。
三、色甘酸二鈉
色甘酸二鈉(Dinatrii Cromoglycas)系肥大細胞膜穩定期,可穩定肥大細胞膜,抑制其脫顆粒反應,防止組織胺、慢反應物質和緩激肽等介質的釋放從而發揮其抗過敏作用。臨床上對腎上腺皮質激素治療無效或產生了較嚴重的副作用者可改用該品治療。用法:40~60mg,每日3次,療程6周至5個月不等。
四、手術治療
手術治療並不能切除受浸潤的部位,況且黏膜水腫給胃腸吻合造成困難,術後易於復發。因之,自從糖皮質激素使用後,嗜酸性胃腸炎已不需要手術治療。
嗜酸性肉芽腫出現胃腸梗阻、內科治療無效時可考慮手術治療。根據情況,術後可套用小劑量強的松,每日2.5或5mg口服,維持一段時間。
病理改變
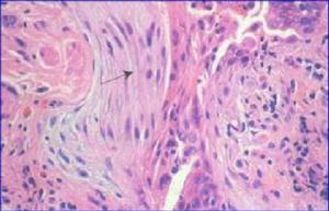
本病可廣泛累及胃腸道,可從咽至直腸,其中以胃和小腸受累最為常見,肝臟、大網膜等處亦可受到侵犯。鏡下可見大量嗜酸性粒細胞浸潤,可以聚積成堆,可累及為黏膜和黏膜下層,也可以某一層受累為主,最常見為黏膜和黏膜下層,其次為肌層,漿膜層最少見。Ⅰ型(嗜酸性胃腸炎) 為胃腸炎的特性類型。纖維胃鏡檢查,瀰漫型為黏膜充血、水腫、增厚,偶見表淺潰瘍糜爛,胃部病變酷似一般淺表性胃炎,活檢證實有大量嗜酸細胞浸潤。腸道病變多為瀰漫型,受累腸壁水腫、增厚、漿膜面失去光澤,有纖維素滲出物覆蓋。單腸性表一同多為胃或小腸的某一臟器病變。局限性者病變局限,發生於胃部者,病變往往在胃幽門或胃竇部。多腸性者,胃、十二指腸、小腸等處均有病變,往往為廣泛性、非延續性病變。
Kleim根據嗜酸性細胞浸潤程度,將病變分為3種:
⒈黏膜病變突出型 以黏膜浸潤為主。有黏膜水腫、潰瘍。並因之導致失血、缺鐵、吸收不良及低蛋白等。
⒉肌層病變突出型 以肌層浸潤為主。胃腸壁呈結節狀增厚,並向胃腸內凸出,導致幽門或腸道的狹窄與梗阻。臨床上需與Ⅱ型(嗜酸性肉芽腫)鑑別。
⒊漿膜病變突出型 以漿膜浸潤為主。漿膜增厚、水腫,往往有腸系膜淋巴結受累。多有嗜酸性(或嗜酸粒細胞)腹水。
Ⅱ型(嗜酸性肉芽腫)本型少見。可在黏膜下形成單發或多發性腫物,往往出現幽門梗阻。以胃部(胃竇部)最為多見。且向周圍擴展生長,侵及迴腸、結腸處。為堅實或橡皮樣息肉狀腫塊、無蒂或有蒂凸入腔內,表面光滑,有黏膜覆蓋。
鑑別診斷
⒈繼發性周圍血嗜酸性粒細胞增多症引起周圍血嗜酸性粒細胞增多的原因很多,如過敏、寄生蟲感染、化學藥物因素、何杰金氏病、包囊蟲病囊破裂等,但各有其特殊表現,參考一定實驗室檢查常可資確診。
⒉Crohn病
本病可有噁心、嘔吐、腹痛、腹瀉、尤其當X線顯示黏膜有水腫、腸壁增厚表現為迴腸結腸炎者,應與Crohn病進行鑑別。周圍血嗜酸細胞增多則提示嗜酸性胃腸炎;腸道有瘺管、狹窄的存在或腸炎性疾病的繼發表現(口炎、關節炎等)則提示為Crohn1病。
⒊高嗜酸性粒細胞綜合徵
高嗜酸性粒細胞綜合徵除外周血嗜酸性粒細胞增高外,還伴有多系統多器官受累,如心、腦、腎、肺及皮膚,也可累及胃腸道,出現廣泛的胃腸道嗜酸性粒細胞浸潤,本病病程短,預後差。因此,如有明顯的胃腸道以外器官受累的臨床表現,應考慮本綜合徵。
⒋胃腸道惡性腫瘤、惡性淋巴瘤
嗜酸性肉芽腫發生於胃時,須與胃癌、胃惡性淋巴瘤進行鑑別。
此外,嗜酸性肉芽腫,還須與嗜酸細胞增生性淋巴肉芽腫進行鑑別。後者血中嗜酸性細胞有增多,甚至受累的皮膚和皮下組織有輕度嗜酸細胞浸潤。不同者:嗜酸性細胞增生性淋巴肉芽腫,多伴有局部或全身淺表淋巴結橡皮樣腫大;常有皮膚乾燥、色素沉著、脫皮、萎縮等病變;血象除嗜酸性細胞增多外,有相對性淋巴細胞增高;病變特點是有大量嗜酸性細胞增高,同時淋巴細胞增生並有單核細胞浸潤;對深部X線放射治療較為敏感。
由於本病可致消化道梗阻,因此,任何胃腸道疾病致之梗阻均應考慮到本病的可能性。

