原因
牙齒黑斑的原因
引起牙齒顏色不正常的原因很多,可以是先天原因,也可以是後天造成。先天原因引起的牙齒著色表現為牙齒萌出時即有多數牙齒對稱性顏色改變,常見的有氟斑牙、四環素牙、釉質發育不全等。後天原因造成的牙齒著色表現為牙齒萌出時顏色正常,不良刺激作用後,個別牙齒顏色逐漸改變,如牙齒髮生齲齒或受外傷後.
檢查
牙齒黑斑的檢查診斷
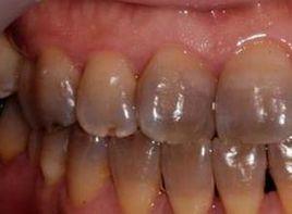
牙齒出現黑綠色沉著,牙齒呈現黃、褐、黑色。
牙齒表面覆蓋著一層牙釉質,呈透明或半透明狀態,其深部為牙本質,呈淡黃色。牙齒的顏色與釉質的鈣化程度有關,鈣化程度越高,釉質越透明,而其深部的牙本質的本色透過其使牙齒呈淡黃色
鑑別診斷
牙齒黑斑易混淆的症狀
牙齒上白堊色到褐色的斑塊:氟牙症臨床表現的特點是在同一時期萌出的釉質上有白堊色到褐色的斑塊,嚴重者還並發有釉質的實質缺損。臨床上常按其輕、中、重度而分為白堊型(輕度)、著色型(中度)和缺損型(重度)三種類型。
牙齒呈棕黑色:牙齒顏色發生異常改變,呈現棕黑色。牙齒內著色,是牙的組織結構或營養改變引起的牙變色,常見的有牙髓壞死,斑釉牙及藥物沉積引起牙變色等。牙齒外著色是指牙的表面有色素沉著。
牙齒髮黃:由於各種不同原因引起,牙齒呈現黃色
牙齒顏色異常:因為牙齒表面覆蓋著一層牙釉質,呈透明或半透明狀態,其深部為牙本質,呈淡黃色。牙齒的顏色與釉質的鈣化程度有關,鈣化程度越高,釉質越透明,而其深部的牙本質的本色透過其使牙齒呈淡黃色,牙齒顏色異常見於各種牙病。牙齒出現黑綠色沉著,牙齒呈現黃、褐、黑色。
牙齒表面覆蓋著一層牙釉質,呈透明或半透明狀態,其深部為牙本質,呈淡黃色。牙齒的顏色與釉質的鈣化程度有關,鈣化程度越高,釉質越透明,而其深部的牙本質的本色透過其使牙齒呈淡黃色。
緩解方法
牙齒黑斑的預防方法
堅持用正確的方法刷牙,去除粘附在牙他齒表面的色斑,就會減輕牙齒顏色原改變或者是恢復牙齒本來的顏色。而對於因創傷、服藥或有害環境引起的色牙變化,應當去醫院口腔科檢查治療,必要時可用漂白,貼面法,以改善牙齒的外觀。
如果是牙結石,可通過潔牙祛除牙菌斑、牙結石,以保護牙齒;如果是齲齒,應儘早補牙,以免齲齒嚴重,傷及牙髓腔引起牙髓炎。

