其中"染色體性別"是先天性性別,指:
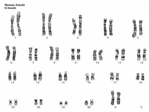
人類具有23對46條染色體,其中22對44條染色體被稱為常染色體,主要調控身體的發育,而與性別發育相關的被稱為性染色體,通常用 “X”和“Y”來表達。正常男性的性染色體的核型表現為:46,XY;正常女性的性染色體的核型表現為:46,XX。一般認為,在人類胚胎的染色體中如果存在Y染色體,就發育成男孩;如果缺乏Y染色體,則發育成女孩。但有些人由於性染色體數目或結構的變化,表現為性發育異常,如性染色體的核型為45,XO ,就表現出女性發育不良;再如染色體的核型為48,XXXY ,就表現為男性發育不良等。當然,常染色體對性別發育也有一定的影響,只是它們對全身發育的影響較大,鑑定性別一般不太考慮。
因為是先天決定的,在可以預見的未來這種性別是無法改變的.
在特殊情況下,決定人性別的性染色體會出現變異,導致出現異常的染色體性別.
如:XO,只有一條X染色體
XXX,有三條X染色體
XXY或者XYY
這種變異只有在胎兒形成的初期才會發生,一般是環境因素導致的,一旦發生這種變異,將嚴重影響患者的生長和發育,無論是上述哪一種情況.
染色體是遺傳物質的載體,是脫氧核糖核酸(DNA)以及核蛋白在細胞分裂時的呈現形式。正常人的體細胞染色體數目為46條,並有一定的形態和結構。染色體在形態結構或數量上的異常被成為染色體異常,由染色體異常引起的疾病為染色體病。現已發現的染色體病有100餘種,染色體病在臨床上常可造成流產、先天愚型、先天性多發性畸形、以及癌腫等。染色體異常的發生率並不少見,在一般新生兒群體中就可達5‰-7‰。
人體內每個細胞內有23對染色體.包括22對常染色體和一對性染色體. 性染色體包括:X染色體和Y染色體。含有一對X染色體的受精卵發育成女性,而具有一條X染色體和一條Y染色體者則發育成男性。這樣,對於女性來說,正常的性染色體組成是XX,男性是XY。這就意味著,女性細胞減數分裂產生的配子都含有一個X染色體;男性產生的精子中有一半含有X染色體,而另一半含有Y染色體。

