概念
基底動脈尖綜合徵(TOBS)首先由Caplan於1980年提出,約占腦梗死的7.6%.Caplan根據其臨床表現分為兩組,即中腦和 丘腦受損的腦幹首端梗死和顳葉內側面、枕葉受損的 大腦後動脈區梗死。隨著 影像學的發展,特別是MRI的臨床套用,確診的TOBS越來越多。本文就其有關的問題加以綜述。
相關的局部解剖
小腦上動脈起於基底動脈尖端,沿 小腦幕腹側向外,分布於小腦的上面、小腦髓質深部和齒狀核等 中央核團,以及腦橋首端被蓋部、腦橋中腳、中腦尾端被蓋外側部。 大腦後動脈在腳間池內行向外側,環繞大腦腳轉向背側面,越過海馬旁回溝,沿海馬溝向後,直到胼胝體壓部的後方進入距狀溝始段分為兩終末支:頂枕動脈和距狀溝動脈。 大腦後動脈皮質支分布於顳葉底面和枕葉內側面,包括海馬旁回及海馬旁回溝、枕顳內側面、舌回、扣帶回峽、楔葉、楔前葉後1/3和頂上小葉後部。 大腦後動脈中央支起自其環部和主幹,支配 丘腦的主要有丘腦穿動脈,供應丘腦內側核與中線核的下半部分,以及中央中核和腦後內側核,丘腦膝。TOBS是因以基底動脈頂端為中心直徑2cm範圍內的左、右 大腦後動脈,左、右小腦上動脈和基底動脈頂端交叉部位的 血液循環障礙造成的,膝狀體動脈一般有1~6支,供應 丘腦枕、丘腦外側核群;脈絡膜後動脈分內側和外側兩組,供應丘腦背外側核、丘腦枕和膝狀體。支配中腦的血管與腦幹的其他部位略有不同。旁正中動脈先由 大腦後動脈環部或 後交通動脈根部發出的小支在腳間窩形成一動脈叢,再從叢上發出分支進入後 穿支,供應中腦旁正中區。短鏇動脈起於 大腦後動脈環部、小腦上動脈近側段和脈絡膜後動脈,供應腳底外側 黑質和被蓋的外側部、 外側丘系和其周圍的網狀結構。長鏇動脈為小腦上動脈和 大腦後動脈的四疊體動脈發出的分支,供應上、 下丘。
病因及其危險因素TOBS的主要病因
為腦栓塞,約占61.5%,栓子主要為心源性,其次可能為動脈粥樣硬化斑塊脫落所致。有學者對10例由 小腦上動脈阻塞造成的單純小腦梗死病人進行病因學研究,7例有 心房纖顫病史,1例有 心肌梗死病史,此8例經血管造影未見動脈硬化的證據。Finocchi等報導一組TOBS病人均有心房纖顫病史,經Doppler對顱內外動脈檢查未見有意義改變。其次為 腦血栓形成。部分病人病因不明。危險因素與腦卒中相似,以 原發性高血壓最常見,其次為心臟病( 心房纖顫、 心肌梗死等)、糖尿病、動脈炎、吸菸、酗酒、高脂血症等。
臨床特點
TOBS是一種特殊類型的缺血性腦血管病,由於TOB區局部解剖的特點,此區血循環障礙常出現2個或2個以上梗死灶,且臨床表現多樣。大部分學者將其表現分為兩組:腦幹首端梗死和大腦後動脈區梗死。由於供應腦幹首端的血管多為深 穿支或終末支,並直接從大血管發出,易造成血管的損傷,故腦幹首端梗死多見。
3.1 腦幹首端梗死3.1.1 眼球運動障礙這是TOBS主要特徵之一,中腦被蓋內側匯聚了眼球水平運動和垂直運動的下行纖維以及 動眼神經核簇,損害部位不同,可出現不同的複合眼征:1垂直注視麻痹,病人隨意及反射性垂直注視均消失,此乃由於 頂蓋前區和後連合梗死引起上視麻痹,紅核的內側和背側梗死引起下視麻痹。2假性Parinaud綜合徵,是核性損害最具特徵的表現,病灶側完全性 動眼神經麻痹伴對側上視障礙。對側上視受限是由於病灶側上直肌核破壞所致。3兩上瞼下垂伴垂直注視障礙,為核性損害,病灶累及了 動眼神經核群的上直肌核、下直肌核及提上瞼肌核,內直肌核和下斜肌核相對不受影響,此由於上直肌核和下直肌核位於動眼神經核上端,首先受累,提上瞼肌核為單個,因此部分損傷也會造成兩上瞼下垂。3.1.2 瞳孔異常當導水管腹側中腦被蓋內側缺血,瞳孔反射弧傳入纖維在視束至E-W核段受損,常出現瞳孔異常,如瞳孔不圓。Selhorst等認為E-W核包含上下兩組細胞,每組細胞支配同側瞳孔虹膜,當兩組細胞病損不等時,即表現瞳孔異常。整組E-W核受累表現為瞳孔散大,對光反應消失,若同時伴 意識障礙,易誤診為腦疝,需注意鑑別。鑑別要點:1 意識障礙持續時間長但程度相對輕;2 脫水治療後,意識及瞳孔改變無改善;3腦CT檢查 大腦半球無病灶,中線無錯位;4其他生命體徵平穩;5輕度的肢體障礙。3.1.3 意識障礙和幻覺TOBS多引起不同程度、不同性質的意識障礙,文獻記載其發生率為77%~100%,一般多持續6h~3d.隨病情不同可表現為深昏迷、 無動性緘默、嗜睡或 睡眠過度。意識恢復後,肢體運動感覺大多恢復正常或基本正常。Facon等認為基底動脈尖梗死的病人,最突出症狀為睡眠過長與 動眼神經麻痹。 意識障礙為中腦的網狀結構和(或) 丘腦的非特異性核團——板核心、網狀核受損所引起,三者均為非特異性投射系統的一部分,板核心是丘腦的起搏器,控制 大腦皮質的電活動;網狀核修改和調整丘腦皮質間的衝動。Bassetti等認為 丘腦在睡眠調節中起重要作用,丘腦旁正中區梗死可導致 睡眠過度。TOBS病人可有視幻覺,Caplan稱其為“大腦腳幻覺”,病人對幻覺描述生動形象但知其為非真實內容。如果幻覺僅發生於傍晚,則稱“黃昏幻覺”。這些幻覺的病理解剖和病理生理尚不清楚,有人認為可能與中腦網狀結構異常、 丘腦皮質下核及枕核的傳導受阻有關。3.1.4內臟行為異常 腦幹首端梗死病人可出現 內臟感覺和運動異常。 腦幹網狀結構是 內臟感覺上行束與調節內臟活動的下行束的轉換站, 下丘腦外側區的傳出纖維,主要終止於中腦網狀結構。 丘腦背內側核與前額皮質、下丘腦、 杏仁體、 黑質、中央前回以及其他丘腦核群有豐富的聯繫,認為是內臟與軀體衝動進行複雜整合的中樞,Potter等曾報導單側丘腦背內側核損害導致的同側嗅覺功能下降。Rousseaux等報導1例由於雙側 丘腦背內側核和板核心損害造成的持久的嗅覺和味覺功能缺陷,並伴體質量下降。
3.2 大腦後動脈區梗死該區梗死主要表現為視覺障礙及行為異常。Martin等報導,該區梗死占TOBS35%.視覺障礙可表現為視力減退、偏盲或皮質盲,少數為閃光幻覺、視物變形、視覺失認等。行為異常包括Balint綜合徵、 記憶減退、 人格改變、激越性譫妄等,常由於雙側梗死所致。4 影像學檢查腦CT掃描最大特徵是雙側 丘腦對稱性成蝶形低密度灶,多位於丘腦中心部位,主要局限在中央中核、板核心之間。除 丘腦梗死外,小腦、 枕葉、中腦和顳葉內側也常見到梗死灶,但發現率較低,這主要由於CT對後頸窩掃描存在偽影干擾,解析度差。MRI對軟組織解析度高,並能多方位成像,尤其對後顱窩病變更為敏感,故MRI對TOBS定位更為準確,且能檢出極早期病灶,有時發病後30min即能檢出梗死灶,大大提高了本病的早期確診率,因此對懷疑TOBS的病人應首選MRI檢查。DSA的臨床套用不僅可明確病變的血管部位,同時還為尋找病因提供證據。Sato等經血管造影證實,在基底動脈尖2cm直徑範圍記憶體在血管狹窄或閉塞的病人占84.6%,閉塞血管的再通率為61.5%.5治療及預後既往多認為本病較其他缺血性腦血管病預後差,完全治癒者甚少。但Gomez等報導,本病經早期正確地抗自由基治療,可提高半暗帶內腦細胞的存活率,改善微循環,改善病灶局部的低氧環境,從而改善TOBS預後.
基底動脈
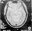
例1男性,54歲。雙眼視物不清,復視伴頭暈50d入院。高血壓病史1年。神經系統檢查:神志清楚,語言流利,記憶、定向、計算力正常,雙側瞳孔等大等圓約3mm,光反應靈敏,雙眼視物模糊,有復視,雙眼向上有垂直性眼震,面紋對稱,伸舌居中,四肢肌力、肌張力正常,雙側病理征(-),左側呈小腦性共濟失調,左手指鼻、掄替試驗差;走路向左側偏斜。頭顱磁共振檢查示:中腦左側和左側小腦半球見長T1和長T2信號,兩側大腦半球內未見異常信號(見圖1、2)。
基底尖動脈綜合徵3例
圖1小腦半球內見長T2異常信號
| |
| 1 |
基底動脈尖綜合徵圖2中腦內見長T2異常信號
基底動脈尖綜合徵| |
| 2 |
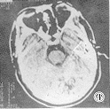
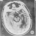
例2男性,65歲。因言語不利、答非所問3月收住。有高血壓病史20年,4年前曾患腔隙性梗塞(死)治癒。神經系統檢查:神志清楚,呈感覺性失語,雙側瞳孔等大等圓約3mm,光反應靈敏,雙眼球運動充分,無眼球震顫,四肢肌力和肌張力正常,病理征(-),共濟正常,視野因失語不配合。頭顱CT示:左側顳葉內側面和左枕葉低密度改變(見圖3、4)。
圖3右側顳葉內側面見片狀低密度影
基底動脈尖綜合徵| |
| 3 |
圖4左側枕葉內見小片狀低密度影
基底動脈尖綜合徵| |
| 4 |
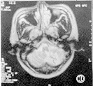
例3男性,64歲。頭暈,四肢無力,眼球運動受限20餘天收住。神經系統檢查:神志清楚,言語流利,雙側瞳孔等大等圓約3mm,光反應靈敏,雙眼隨意運動不能,但反射運動存在,雙側面紋稍淺,伸舌居中,四肢肌力正常,肌張力稍高,四肢反射活躍,雙側病理征(+),右側肢體呈小腦性共濟失調,右手指鼻,跟膝脛試驗不穩。頭顱磁共振檢查示:中腦和右側小腦可見長T1和長T2信號。
討論該3例診斷為基底動脈尖綜合徵,是因基底動脈尖部位血循環障礙引起的一組臨床綜合徵。基底動脈尖端分出兩對血管即小腦上動脈和大腦後動脈,通過其分支供應中腦、丘腦、小腦上部、顳葉內側和枕葉;故該綜合徵是以中腦損害為主要表現,伴有丘腦、枕葉、顳葉內側、小腦上部等處的缺血性損害;大多是因動脈粥樣硬化血栓形成、心源性、動脈源性等原因引起。該病可有枕葉和顳葉症狀,而小腦症狀少見;即表現為視物模糊、神經眼征、眩暈,意識行為、感覺和運動障礙的體徵:(1)眼球運動和瞳孔異常:包括一側或雙側動眼神經部分或完全麻痹(主要是由於動眼神經核或根絲受累),表現為眼球垂直運動障礙,上視或上、下視均不能,是由於上丘腦水平垂直眼球運動中樞受累所致;(2)意識障礙:可一時性或持續數天,也可反覆發作,由於中腦或丘腦的網狀激活系統受損所致;(3)對側偏盲或皮質盲,由於枕葉視皮質受損所致;(4)可有嚴重的記憶障礙,顳葉內側面受累所致;(5)少數患者可有腦幹幻覺,這種情況常常發生在黃昏時。
診斷〔1〕有幕上和幕下、腦幹-間腦和大腦後動脈支配半球區的兩個或兩個以上部位的缺血性梗塞的體徵和(或)影像學徵象(包括中腦、丘腦、丘腦下部、橋腦上部、小腦、枕葉及顳葉內側面的梗塞)。
治療主要是針對缺血性腦血管病的病因機制治療,另外要加強對危險因素的控制和預防,目前仍是以儘早溶栓、抗凝、擴容、改善腦血液循環和腦細胞功能等綜合方法為主。

