嗅神經母細胞瘤
嗅神經母細胞瘤起源於嗅神經的神經外胚層,占鼻腔腫瘤的3%,過去被認為是良性或低度惡性腫瘤,因其確切的組織來源不明確,曾被命名為嗅神經上皮瘤、嗅神經母細胞瘤,成感覺神經母細胞瘤。
基本信息
- 中文名:嗅神經母細胞瘤
- 別名:嗅神經上皮瘤,嗅神經母細胞瘤
- 傳染病:否
- 就診科室:腫瘤科
疾病簡介
嗅神經母細胞瘤又稱為嗅神經細胞瘤、神經上皮瘤或者嗅基板腫瘤,是來源於鼻腔鼻竇嗅上皮的惡性神經外胚層腫瘤。嗅神經母細胞瘤約占鼻腔腫瘤的3%,起源於嗅神經上皮細胞。30歲左右為發病高峰年齡,以男性較多見。
病發症狀
絕大多數原發病灶位於鼻腔頂部,臨床上大多數有鼻衄、鼻阻塞症狀,少數有嗅覺減退或喪失。當病灶侵犯鄰近結構時,可出現相應的突眼、視力減退、頭痛及顱神經受損表現。主要症狀包括單側鼻塞(70%)和鼻出血(46%),較少見的表現包括嗅覺缺失、頭痛、過度流淚、視物不清。腫瘤生長緩慢導致長期持續的症狀是其特徵。平均從第一個症狀出現到最後診斷的時間為6個月。
影像症狀
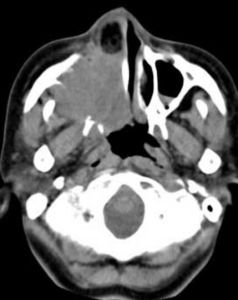
嗅神經母細胞瘤X線特點包括"亞鈴形"腫塊,腫物延伸穿過篩板。病變範圍在MRI的T1加權像和在T1加權像基礎上注射釓標記增強後的T2加權像的前後對比中可非常好的顯示出來。骨侵蝕的細微改變(紙樣板,篩板和篩凹)在CT掃描中能很好顯示,在X線片中可見鈣化引起的斑點狀形態。血管造影可發現病變為血管增生性腫瘤。
嗅神經母細胞瘤的X線特點包括“啞鈴型”腫塊,腫物延伸穿過篩板,病變範圍在MRI的T1加權像和T2加權像的前後對比中科非常好的顯示出來。骨侵蝕的細微改變(紙樣板、篩板和篩凹)在CT掃描中能很好顯示,在X線片中可見鈣化引起的斑點狀形態。血管造影可發現為血管增生性腫瘤。
治療措施
cls細胞免疫治療,是國內第一家腫瘤免疫治療產業化高新技術企業CLS與美國科研機構合作開發的細胞免疫(T細胞、NK細胞)療法,又一提取患者自身的免疫細胞進行體外培養,是用自己的細胞治療自己的病,骨不會發生排異等副作用,已有千餘例腫瘤患者接受了CLS自體免疫細胞臨床治療,是目前最為成熟的,治療效果最好,套用最為廣泛的腫瘤生物治療技術!