概述
經典種植學要求4~6個月無負重癒合期,以便使種植體和骨之間形成骨性結合,這個過程中種植體需要在零負荷狀態下進行骨整合,由於缺牙時間較長,很難滿足患者對於美學和功能的要求,因此Ledermann等1979年提出了即刻負重的理論。
理論基礎
Jones DB等學者在測試成骨細胞對不同程度機械應力反應的實驗中發現,當應變超過3000微應變時細胞膜上的磷酸激酶被激活。從而可以刺激成骨細胞的分裂和膠原的分泌,促進新骨的形成;而當應變值超過10000微應變時,則會導致成骨細胞轉變為成纖維細胞,影響骨的形成。這說明外界載荷並非完全有害於骨組織的生長,適當的負載可促進成骨過程。
種植體即刻負重獲得成功的最重要的條件是種植體在承受負荷時保持穩定,過度的未動會造成纖維性癒合而導致種植失敗。一次合力控制微動,增加種植體的初期穩定性是即刻負重種植體獲得骨結合的關鍵。研究認為合理的微動應在100um左右,微動達到150um時,就會導致種植體周圍產生纖維性包膜。
種植體植入後如果採用可摘義齒臨時修復,其活動性往往對種植體產生不利的影響,不易控制咬合力,而即可臨時固定修復更容易控制咬合力。
綜上所述,應當合理控制咬合,即刻負重的種植體就能獲得骨結合,達到與延期負重同樣的成功率。
必要條件
1.骨的質量屬於Ⅰ、Ⅱ、Ⅲ類骨質者,
2.種植體周圍必須有一定厚度的皮質骨。
3.種植體周圍有足夠的健康附著齦。
4.種植區有足夠的骨量,種植體植入後不會出現骨缺損,無需套用骨移植技術。種植體植入後具備理想的初期穩定性,植入扭矩需大於25Ncm。
5.採用經過表面處理的(噴砂、酸蝕、等離子、噴塗等)粗糙的螺旋體或階梯狀種植體。
6.種植體長度大於10mm,直徑大於3.5mm。
適應症
1.無牙頜患者植入4顆以上種植體,連線桿呈跨狐狀連線種植體,製作復蓋義齒或不帶有懸臂樑結構的固定種植義齒。
2.可前牙或前磨牙缺失、鄰牙健康狀況良好的患者,直接製作樹脂材料的臨時冠。
3.多顆牙連續缺失,缺隙的兩端都有天然牙尋在的患者,可以用樹脂材料製作種植體支持的固定義齒。
禁忌症
1.亞種多和急性、上下頜骨位置關係不協調。
2.夜磨牙及嚴重的咬合過緊。
3.扁平苔蘚等口腔黏膜疾病。
4.接受化療或肉頸部放療的患者。
5.嚴重的肝病及腎病。
6.糖尿病、甲亢等代謝性疾病患者。
7.接受腎上腺皮質激素治療的患者。
8.AIDS等免疫系統疾病的患者。
9.血友病等血液系統疾病。
10.骨的代謝性疾病。
11.妊娠期的婦女。
12.因身體或精神障礙不能有效的完成口腔清潔的患者。
優點
1.明顯縮短治療周期,減少手術和診療次數。
2.迅速恢復美觀和部分咬合功能,減輕患者缺牙的痛苦。
3.有利於牙齦組織的成形,能獲得理想的美學效果。
4.適當的機械性刺激有利於種植體周圍骨組織的心聲==新生與改建,促進種植體周圍骨組織的礦化過程。
缺點
1.易導致種植體與骨組織之間的纖維性癒合。
2.容易發生種植體周圍邊緣性骨吸收。
臨床過程
1.病例選擇
2.術前準備
取印模灌制模型
排牙製取人工牙形態記錄
製取診斷模版和手術模版
3.種植體植入
4.製作臨時義齒
關閉創口前製取
儘量採用螺絲固位
儘可能使用專用於製作臨時義齒的臨時基台
儘可能直視下戴入臨時義齒
臨時義齒戴入後注意咬合關係檢查
5.關閉創口
6.術後醫囑
臨時義齒安裝4-6個月後可以進行永久修復,再次之前不要拆卸臨時義齒。
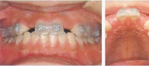
病例展示
種植手術前口腔狀況
種植體植入
永久修復後正面觀