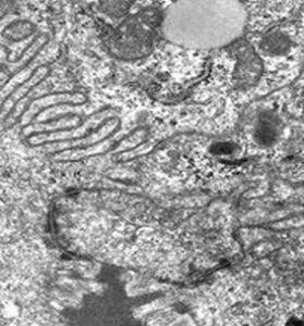
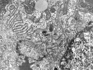
上皮細胞基部細胞膜折向胞質,內褶與細胞基底面垂直,內褶主要見於腎小管,擴大了細胞基底面部的表面積,有利於水和電解質的迅速運轉。
內褶(infolding,圖)是質膜由細胞表面內陷形成的結構,同樣具有擴大了細胞表面積的作用。這種結構常見於液體和離子交換活動比較旺盛的細胞。