概述
先天缺牙分類
先天缺牙可分為個別牙缺失(hypodontia),多數牙缺失(oligogontia)和先天無牙症(anodontia)。
個別牙缺失植先天性個別牙齒缺失,通常不伴有全身其他組織器官的發育異常。
部分牙缺失致多個牙先天缺失。
先天性無牙症指先天性多數牙缺失的一種嚴重表現,多數全口無牙。
個別牙或部分牙先天缺失
病因
個別牙缺失的病因尚未明確,可能與牙板生成不足,或與牙胚增殖受到抑制有關。有學者認為與遺傳有關,也有的認為是胚胎早期受有害物質影響的結果。例如,在牙胚發育早期受到X線照射影響可引起局部牙齒缺失。大多數先天缺牙與遺傳因素有關。Grahnen(1956)對171名先天缺牙的患兒父母進行調查,發現如果父母中有一方先天缺牙,其子女的先天缺牙率很高,認為先天缺牙是一種常染色體顯性遺傳病。經調查發現,先天缺牙與其他因素無明顯關係,如雙親年齡、妊娠時母親的健康狀況、出生至l歲時的健康狀況、胎次和家庭社會經濟情況等。
1、遺傳因素:一般有很明顯的家族史,家族中父母雙親或祖輩有缺牙現象;
2、代謝障礙:母體妊娠的疾病或代謝障礙引起乳/恆牙發育缺陷;
3、營養障礙:牙胚發育初期母體內營養障礙如鈣、鐵、蛋白質缺乏。
4、內分泌失調:牙胚發育初期母體內分泌失調也會導致先天性牙齒缺失。
5、射線影響:如牙胚發育早期受到X線照射,則受照側牙齒可能缺失。
6、感染因素:一些致病微生物比如風疹病毒、梅毒螺鏇體感染等。
7、遺傳性疾病:多數牙缺失和全口牙缺失常與遺傳疾病有關如遺傳性外胚葉發育不全,是一種全身性的先天畸形,皮脂腺和汗腺缺乏、皮膚乾燥、少汗或無汗以及毛髮稀疏、鼻樑塌陷、牙齒部分缺失或全部缺失。
8、全身性疾病:結核病、佝僂病等全身系統性疾病使牙齒的胚胎破壞或發育受阻,也可能引起先天性缺失牙。
臨床表現
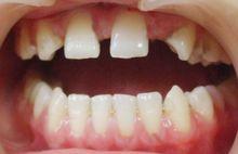
1.口腔內缺牙,牙齒缺失的數目和位置不一。
2.先天缺牙可發生在乳牙列,也可發生在恆牙列,恆牙較乳牙多見。
3.明顯存在種族差異,愛斯基摩人、印第安人、東方人發生率較高,黑種人發生率較低。
4.男女比例為2:3。
5.恆牙列中任何一顆牙都有先天缺失的可能,最常見為第三磨牙,其次為下頜第二前磨牙、6.上頜側切牙和上頜第二前磨牙。最少缺失的是第一磨牙,其次是第二磨牙。
7.缺磨牙的患者多伴有其他牙齒的缺失,單純缺磨牙者少。
8.牙齒缺失可發生在單側也可發生在雙側。
9.缺失牙位多呈對稱性分布。
10.缺牙數目以兩顆最常見,其次是一顆,缺牙5顆以上最少見。
先天缺牙治療
先天缺牙的治療原則是恢復咀嚼功能,保持良好的頜關係。
1.缺牙數目較少時對咀嚼功能、牙列形態和美觀影響不大,可以不做處理。
2.多數牙先天缺失不僅影響咀嚼功能,而且影響患者的容貌,給患者生理和心理造成損害。因而缺牙數目較多時,可做活動義齒修復,恢復咀嚼功能,促進頜面骨骼和肌肉的發育。但修復體必須隨兒童牙合的生長發育兒不斷更新。一般每年更換一次,以免妨礙患兒頜骨的發育。
3.上頜側切牙缺失時,在對頜關係進行分析後,可用間隙保持器,或者通過咬合誘導方法將恆尖牙近中移動到側切牙位置,然後對尖牙牙冠進行調磨改形替代側切牙。
4.恆牙先天缺失時,乳牙的保存或拔除常常是臨床值得考慮的一個問題。當恆牙列較擁擠時,缺繼承恆牙的乳牙可以拔除,為擁擠的恆牙提供間隙。當恆牙排列較疏鬆有間隙時,則可保留滯留的乳牙,以維持完整的牙列和咀嚼功能。乳牙保留時間長短,個體間差異較大,待滯留乳牙脫落後再進行修復治療。
先天性無牙症
病因
外胚葉發育不全綜合徵(ectodermal dysplamasyndrome)是口腔科較多見的一類遺傳性疾病,它表現為牙齒先天缺失,毛髮稀疏和皮膚異常等多種綜合徵。
Clouston(1939)把本病分成兩類,一類為無汗型外胚葉發育不全,另一類為有汗型外胚葉發育不全。無汗型(anhidrotm type)患者皮膚無汗腺或少汁腺,故體溫調節障礙。有汗型(hidrotlc type)患者汗腺正常,但牙齒、毛髮和皮膚等結構異常。
本病為遺傳性疾病,遺傳方式尚未完全明了,多數病例是伴X隱性遺傳,也可為常染色體顯性或隱性遺傳。男多於女。不同的外胚葉發育不全綜合徵的遺傳方式不同。
外胚葉發育不全在家族內,或家族之間存在著臨床異質性。Erelve等指出:外胚葉發育不全有117種變型,臨床表現型不一定是基因型的表征,幾種基因可能都表現為一種表現型,也就是說,在已知的綜合徵中,症狀相似,甚至相同的疾病中可能分出不同的病因,或不同的遺傳機制,這種現象稱為遺傳的異質性(heterogencity)。
先天缺牙由於外胚葉及其附屬器的先天發育異常,部分汗腺或全部汗腺缺失,以及由於外胚葉的牙板未發育或發育不足,缺乏牙齒的始基,不能誘導間葉成牙本質細胞的發,而導致部分或全口無牙畸形。
臨床表現
無汗型外胚葉發育不全的主要表現是患兒全身汗腺缺失或缺少,不出汗或很少出汗,不能耐受高溫,故在氣溫稍有增高時,或在運動、輕度感染時,即出現明顯的不適或高熱,小少患兒常常因為不明原因的發熱而就診;患兒缺少毛囊和皮脂腺,皮膚乾燥而多皺紋,尤其眼周圍皮膚;毛髮、眉毛、汗毛乾枯稀少;指(趾)甲發育不良;患兒軀體發育遲緩,矮小,前額部和眶上部隆凸而鼻樑下陷,口唇突出,耳廓明顯。性發育正常,30%~50%患兒智慧型較差。
口腔中最突出的表現是先天缺牙,乳牙和恆牙常常全部缺失,或僅有寥寥無幾的牙齒,餘留牙間隙增寬,距離稀疏,牙形小,呈圓錐狀。無牙的部位無牙槽嵴,但頜骨發育不受影響。有的涎腺發育不良,唾液少,口乾。家長常因患兒不長牙而就診諮詢。
有汗型外胚葉發育不全又稱毛髮-指甲-牙齒綜合徵(trichoarycho-dental-syndrome),主要表現是患兒汗腺發育正常,其他表現與無汗型外胚發育不全相似,例如毛髮和眉毛纖細、色淺、稀疏,指甲發育遲緩,菲薄脆弱,有條紋而尤光澤,常可出現甲溝感染而使指(趾)甲基質崩解,或指甲缺失或變厚。口腔表現亦為牙齒先天缺失,缺失牙數不等,或形態發育異常,前牙多呈錐形牙,或釉質發育不良,釉質薄,橫紋明顯或出現小陷窩。
治療
為了恢復咀嚼功能,促進頜骨和肌肉的發育,可做活動性義齒修復體,修復體必須隨患兒牙合的生長發育和年齡的增長而不斷更換。

