結構
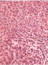
無明顯腺管樣結構,癌組織實體狀,部分呈梁索狀,形成不完整的腺腔。HE×200
低分化腺癌相關名詞解釋
分化:一種組織的細胞從胚胎到發育成熟, 要經過各種分化階段。一般而言,細胞愈原始,分化的潛力愈大,所形成的腫瘤成分越複雜,如原始生殖細胞具有向各種組織分化的能力,其所形成的腫瘤的畸胎瘤,成分就很複雜。單一成分的腫瘤,因為組成細胞分化水平的不同,而有不同的形態特點,病理學家根據細胞分化水平不同,常將一些組織的惡性腫瘤分為高分化、中分化、和未分化。高分化腫瘤:瘤細胞分化程度較高,接近其來源組織的成形態,這種高分化的腫瘤細胞,生長緩慢,惡性程度較低,轉移較晚;
中分化腫瘤:瘤細胞分化程度較低,但明確保留起源組織的特點,如腺癌的腺管形成等,較高分化腺癌,它的癌細胞分化較差;
低分化腫瘤:癌細胞分化程度更低,近似來源組織的不成熟形態,如低分化腺癌,腺管,腺泡結構基本消失。
未分化腫瘤:瘤細胞分化程度極差,往往呈瀰漫性排列,無聚集傾向,如能斷定為來源上皮細胞,則不能肯定是來自鱗狀上皮或腺上皮者,則稱為未分化癌。同樣,由未分化間葉組織來源的腫瘤,根據形態難予肯定是何種間葉組織者,稱為未分化肉瘤。腫瘤細胞分化程度愈低,其惡性程度越高,發展越快,轉移越早,對放化療越敏感。
低分化腺癌的治療方案示例
外科治療在胃癌的治療中有重要地位,是目前能達到治癒目的的主要治療方法。對不能做根治性切除的也應根據病人具體情況爭取做原發灶的姑息切除術。此外,根據胃癌的病期、腫瘤的生物學特性及患者的機體情況全面考慮,選擇化療、放療、中醫中藥治療、免疫治療。(一)外科治療
凡臨床檢查無明顯轉移徵象,各重要臟器無嚴重器質性病變,估計全身營養狀態、免疫功能能忍受手術者均應予剖腹探查的機會。有時即使有遠處轉移或伴有幽門梗阻、穿個等嚴重併發症而一般情況尚能耐受手術者,亦應予以姑息性手術的機會,以緩解症狀,減輕痛苦,
胃癌手術治療的效果與胃癌的早期診斷、病理形態和手術方案的選擇有很大關係。根據對胃癌生物學行為的研究,上部胃癌比中下部胃癌手術預後差,因中下部胃癌以團生者多,而上部胃癌以彌生者多。腫瘤大小對預後無明顯關係,浸潤瀰漫型胃癌因其邊緣不清,手術切除範圍不易確定,且此種類型的胃癌有轉移者多而廣泛,手術不易徹底清除.故:年生存率較低。而團生型胃癌胃周淋巴結多屬輕度轉移且位於癌灶附近,手術容易徹底清除,故預後較好。綜合30年來國內外胃癌術後的5年生存率在20%一30%。
(二)化學治療
胃癌的化療有效率較低,只能作為輔助療法,即一般作為手術的術前、術中和術後的符助治療,可以達到以下目的:(1)使病灶局限,以提高手術切除率。(2)減少術中腫瘤細胞播散、種植的機會。(3)根治術後輔助化療,以消滅可能存在的殘留病灶以防止轉移和復發。(4)姑息性手術治療後,可控制病情發展,延長生存期。
(三)放射治療
凡未分化癌,低分化癌,管狀腺癌、乳頭狀腺癌對放療有一定的敏感性,癌灶小而淺者、無潰瘍者效果最好,可使腫瘤全部消失。粘液腺癌及印戒細胞癌對放療無效,故為禁忌。
胃癌的術前放療能使60%以上病員的原發腫瘤有不同程度的退縮,切除率比單純手術組提高5.3%-20%,5年生存率可提高11.9%。對原發灶已切除、淋巴結轉移在兩組以內或原發灶侵及漿膜面並累及胰腺、無腹膜及肝轉移者可行術中放療。對手術中無法切除者,應在癌殘留處以銀莢標記之,術後經病理證實其組織學類型非粘液癌或印戒細胞癌可行術後補充放療。 字串4
(四)免疫治療 2011年諾貝爾醫學獎得主之一斯坦曼,上世紀70年代第一個發現DC,根據斯坦曼的發現,如今DC細胞治療癌症已經套用在了醫學上。除了DC細胞,CIK細胞增殖速度快,能在短期內產生大數量的抗腫瘤細胞,直接殺滅腫瘤細胞,降低腫瘤負荷,提高患者生活質量,延長生存期。DC-CIK細胞免疫治療已作為治療腫瘤的第四種手段套用於臨床治療。
生物細胞免疫治療能夠精確殺死癌細胞,不會損傷人體正常組織,有效增強患者免疫力:對於不能夠耐受常規治療的肺癌晚期患者來說,能夠控制患者病情,延長患者生存期。
生物細胞免疫療法聯合傳統療法治療癌症效果更好:
手術+生物技術
手術時腫瘤治療首選但無法清除殘留病灶,聯合生物治療可從細胞層面殺滅癌細胞。
化療+生物技術
化療在滅殺癌細胞的同時損傷了正常細胞,聯合生物治療能鞏固療效並減輕副作用。
放療+生物技術
放療通過放射線精確消除病灶,但毒副作用大,聯合商務治療則起到了,增效減毒的作用。
中醫+生物技術
中醫通過藥物中的某些抗癌活性成份進入腫瘤內殺滅細胞,其方法具有反覆復發現象,聯合生物治療,能從根本清除病灶。
免疫治療的適應證包括: ①早期胃癌根治術後適合全身套用免疫刺激劑; ②不能切除的或姑息切除的病例可在殘留癌內直接注射免疫刺激劑; ③晚期病人伴有腹水者適於腹腔內注射免疫增強藥物。
(五)內鏡治療
早期胃癌患者如有全身性疾病不宜手術切除者可採用內鏡治療術,此外通過內鏡套用雷射、微波及注射無水酒精等亦可取得根治效果。
驗方偏方
驗方:①海藻30g,海帶30g,決明子30g,女貞子25g。水煎日服2次。上海腫瘤醫院方。
②三根湯:藤梨根60g,野葡萄根30g,枸骨樹根30g,雲實30g,八角金盤3g,生南星3g。口服,每日1劑,煎2次分服。先將生南星煮1—2小時,再加其它藥煎煮。本方報告服用2個月治癒乳腺癌1例。方源浙江諸暨縣馬劍公社寺塢大隊醫療站。
偏方:
①麝香0.5克,生半夏3克,丁香3克,木香3克。共研細末,薄棉紗裹,塞對側鼻孔里。
②鹿角尖100克。薛荔果100克,共研細末。每日10克,黃沙糖和陳醋送下。
③龜板數塊炙黃研末,黑棗肉搗爛為丸,每日10克,白開水送下。

